Suppr超能文献

EML4-ALK 融合通过 JAK-STAT 激活驱动肺腺鳞转化。

EML4-ALK fusions drive lung adeno-to-squamous transition through JAK-STAT activation.

机构信息

State Key Laboratory of Cell Biology, Shanghai Institute of Biochemistry and Cell Biology, Center for Excellence in Molecular Cell Science, Chinese Academy of Sciences , Shanghai, China.

University of Chinese Academy of Sciences , Beijing, China.

出版信息

J Exp Med. 2024 Mar 4;221(3). doi: 10.1084/jem.20232028. Epub 2024 Jan 29.

Abstract

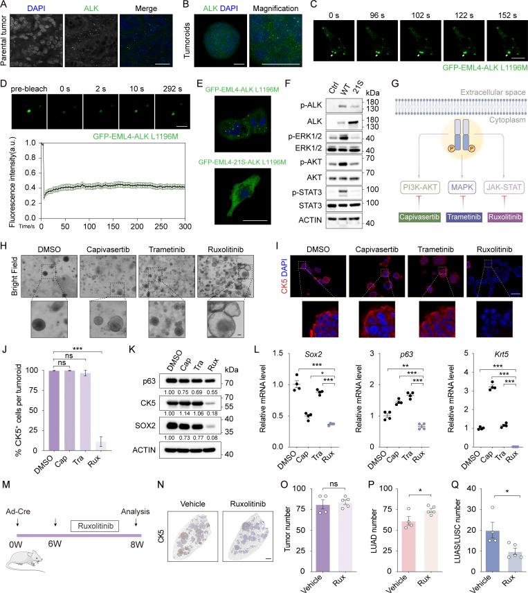
Human lung adenosquamous cell carcinoma (LUAS), containing both adenomatous and squamous pathologies, exhibits strong cancer plasticity. We find that ALK rearrangement is detectable in 5.1-7.5% of human LUAS, and transgenic expression of EML4-ALK drives lung adenocarcinoma (LUAD) formation initially and squamous transition at late stage. We identify club cells as the main cell-of-origin for squamous transition. Through recapitulating lineage transition in organoid system, we identify JAK-STAT signaling, activated by EML4-ALK phase separation, significantly promotes squamous transition. Integrative study with scRNA-seq and immunostaining identify a plastic cell subpopulation in ALK-rearranged human LUAD showing squamous biomarker expression. Moreover, those relapsed ALK-rearranged LUAD show notable upregulation of squamous biomarkers. Consistently, mouse squamous tumors or LUAD with squamous signature display certain resistance to ALK inhibitor, which can be overcome by combined JAK1/2 inhibitor treatment. This study uncovers strong plasticity of ALK-rearranged tumors in orchestrating phenotypic transition and drug resistance and proposes a potentially effective therapeutic strategy.

摘要

人类肺腺鳞癌(LUAS),包含腺性和鳞状两种病变,表现出很强的癌症可塑性。我们发现 ALK 重排可在 5.1-7.5%的人类 LUAS 中检测到,并且 EML4-ALK 的转基因表达最初驱动肺腺癌(LUAD)的形成,后期则驱动鳞状转化。我们确定 club 细胞是鳞状转化的主要起始细胞。通过在类器官系统中重现谱系转换,我们发现 EML4-ALK 相分离激活的 JAK-STAT 信号显著促进了鳞状转化。与 scRNA-seq 和免疫染色的综合研究确定了在具有 ALK 重排的人类 LUAD 中具有鳞状生物标志物表达的可塑性细胞亚群。此外,那些复发的具有 ALK 重排的 LUAD 显示出明显的鳞状生物标志物上调。一致地,具有鳞状特征的小鼠鳞状肿瘤或 LUAD 对 ALK 抑制剂表现出一定的耐药性,联合 JAK1/2 抑制剂治疗可以克服这种耐药性。这项研究揭示了 ALK 重排肿瘤在协调表型转化和耐药性方面的强大可塑性,并提出了一种潜在有效的治疗策略。

https://cdn.ncbi.nlm.nih.gov/pmc/blobs/64e5/10824105/a218803df113/JEM_20232028_Fig1.jpg

文献AI研究员

20分钟写一篇综述,助力文献阅读效率提升50倍。

立即体验

用中文搜PubMed

大模型驱动的PubMed中文搜索引擎

马上搜索

文档翻译

学术文献翻译模型,支持多种主流文档格式。

立即体验