Suppr超能文献

靶向G9a/DNMT1甲基转移酶活性可阻碍胰岛素样生长因子2(IGF2)介导的肝母细胞瘤细胞存活。

Targeting G9a/DNMT1 methyltransferase activity impedes IGF2-mediated survival in hepatoblastoma.

作者信息

Demir Salih, Razizadeh Negin, Indersie Emilie, Branchereau Sophie, Cairo Stefano, Kappler Roland

机构信息

Department of Pediatric Surgery, Dr. von Hauner Children's Hospital, LMU University Hospital, LMU Munich, Germany.

XenTech, Evry, France.

出版信息

Hepatol Commun. 2024 Jan 29;8(2). doi: 10.1097/HC9.0000000000000378. eCollection 2024 Feb 1.

Abstract

BACKGROUND

As the variable clinical outcome of patients with hepatoblastoma (HB) cannot be explained by genetics alone, the identification of drugs with the potential to effectively reverse epigenetic alterations is a promising approach to overcome poor therapy response. The gene ubiquitin like with PHD and ring finger domains 1 (UHRF1) represents an encouraging epigenetic target due to its regulatory function in both DNA methylation and histone modifications and its clinical relevance in HB.

METHODS

Patient-derived xenograft in vitro and in vivo models were used to study drug response. The mechanistic basis of CM-272 treatment was elucidated using RNA sequencing and western blot experiments.

RESULTS

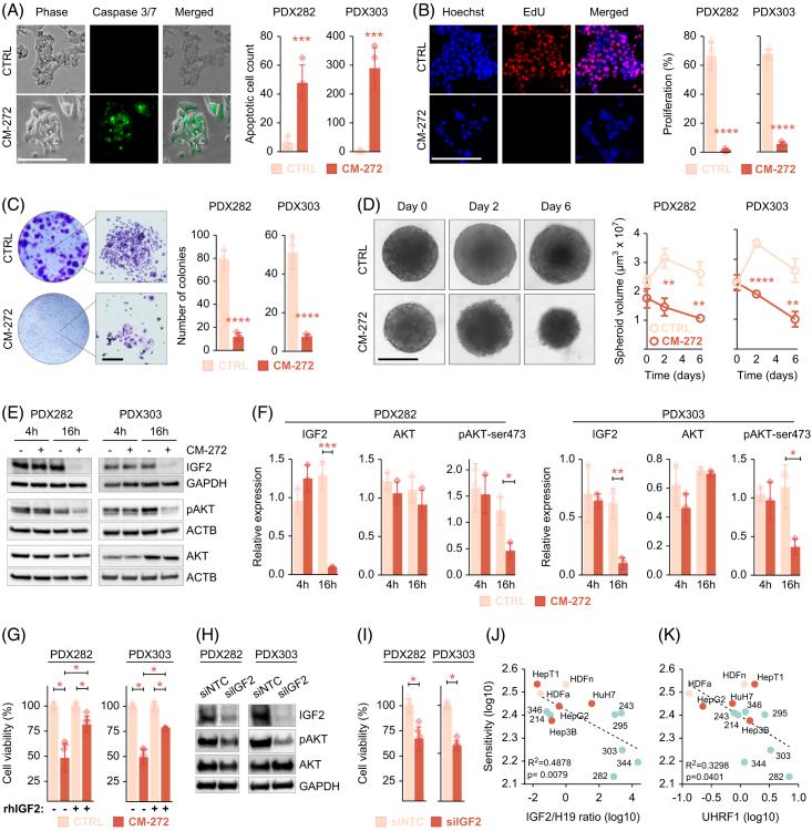
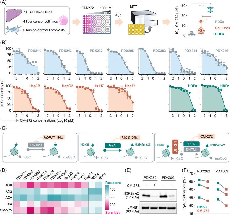
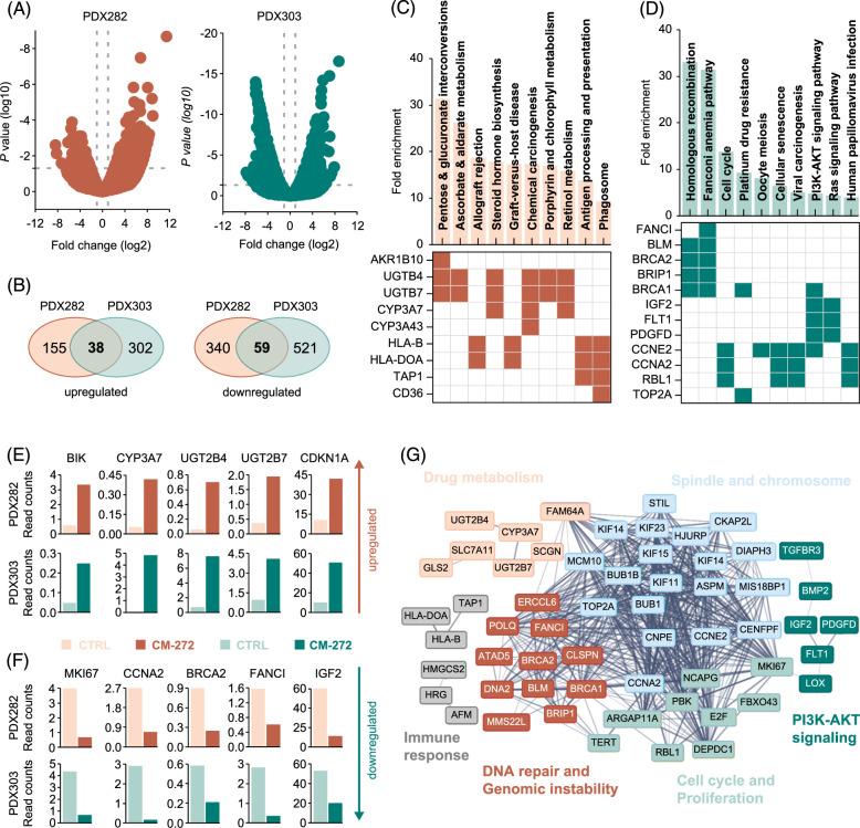
We validated in comprehensive data sets that UHRF1 is highly expressed in HB and associated with poor outcomes. The simultaneous pharmacological targeting of UHRF1-dependent DNA methylation and histone H3 methylation by the dual inhibitor CM-272 identified a selective impact on HB patient-derived xenograft cell viability while leaving healthy fibroblasts unaffected. RNA sequencing revealed downregulation of the IGF2-activated survival pathway as the main mode of action of CM-272 treatment, subsequently leading to loss of proliferation, hindered colony formation capability, reduced spheroid growth, decreased migration potential, and ultimately, induction of apoptosis in HB cells. Importantly, drug response depended on the level of IGF2 expression, and combination assays showed a strong synergistic effect of CM-272 with cisplatin. Preclinical testing of CM-272 in a transplanted patient-derived xenograft model proved its efficacy but also uncovered side effects presumably caused by its strong antitumor effect in IGF2-driven tumors.

CONCLUSIONS

The inhibition of UHRF1-associated epigenetic traces, such as IGF2-mediated survival, is an attractive approach to treat high-risk HB, especially when combined with the standard-of-care therapeutic cisplatin.

摘要

背景

由于肝母细胞瘤(HB)患者的临床结局具有多样性,无法仅用遗传学来解释,因此鉴定具有有效逆转表观遗传改变潜力的药物是克服治疗反应不佳的一种有前景的方法。具有PHD和指环结构域1的类泛素基因(UHRF1)因其在DNA甲基化和组蛋白修饰中的调节功能以及在HB中的临床相关性,成为一个令人鼓舞的表观遗传靶点。

方法

采用患者来源的异种移植体外和体内模型研究药物反应。通过RNA测序和蛋白质免疫印迹实验阐明CM - 272治疗的作用机制。

结果

我们在综合数据集中验证了UHRF1在HB中高表达,并与不良预后相关。双抑制剂CM - 272同时对UHRF1依赖性DNA甲基化和组蛋白H3甲基化进行药理学靶向,发现其对HB患者来源的异种移植细胞活力有选择性影响,而对健康成纤维细胞无影响。RNA测序显示IGF2激活的生存途径下调是CM - 272治疗的主要作用模式,随后导致HB细胞增殖丧失、集落形成能力受阻、球体生长减少、迁移潜力降低,最终诱导细胞凋亡。重要的是,药物反应取决于IGF2的表达水平,联合试验表明CM - 272与顺铂有很强的协同作用。CM - 272在移植的患者来源异种移植模型中的临床前测试证明了其疗效,但也发现了可能由其对IGF2驱动肿瘤的强大抗肿瘤作用引起的副作用。

结论

抑制与UHRF1相关的表观遗传特征,如IGF2介导的生存,是治疗高危HB的一种有吸引力的方法,特别是与标准治疗药物顺铂联合使用时。

https://cdn.ncbi.nlm.nih.gov/pmc/blobs/eda5/10830081/44691266aebc/hc9-8-e0378-g001.jpg

文献AI研究员

20分钟写一篇综述,助力文献阅读效率提升50倍。

立即体验

用中文搜PubMed

大模型驱动的PubMed中文搜索引擎

马上搜索

文档翻译

学术文献翻译模型,支持多种主流文档格式。

立即体验