Suppr超能文献

整合多组学分析揭示NaCl胁迫下海洋菌株GXDK6中多巴胺代谢的调控机制

Regulatory mechanisms of dopamine metabolism in a marine GXDK6 under NaCl stress as revealed by integrative multi-omics analysis.

作者信息

Sun Huijie, Bai Huashan, Hu Yonghong, He Sheng, Wei Ruihang, Meng Duotao, Jiang Qiong, Pan Hongping, Shen Peihong, Ou Qian, Jiang Chengjian

机构信息

State Key Laboratory for Conservation and Utilization of Subtropical Agro-bioresources, Guangxi Research Center for Microbial and Enzyme Engineering Technology, College of Life Science and Technology, Guangxi University, Nanning, 530004, China.

Guangxi Key Laboratory for Green Processing of Sugar Resources, College of Biological and Chemical Engineering, Guangxi University of Science and Technology, Liuzhou, 545006, China.

出版信息

Synth Syst Biotechnol. 2024 Jan 6;9(1):115-126. doi: 10.1016/j.synbio.2024.01.002. eCollection 2024 Mar.

Abstract

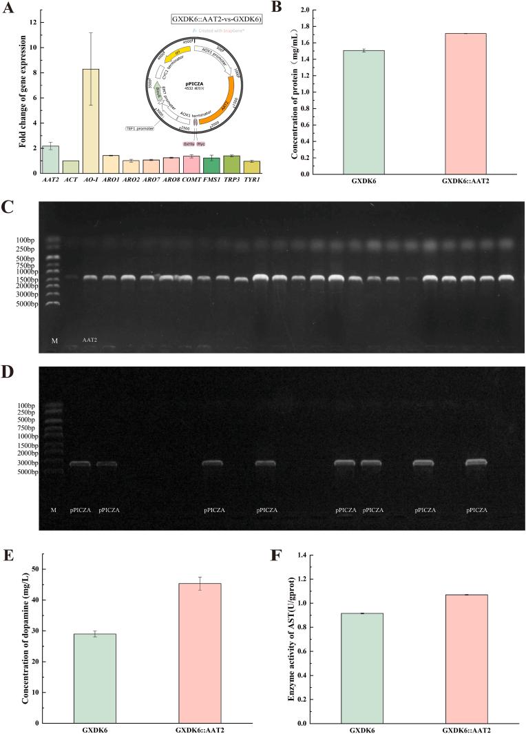
Dopamine can be used to treat depression, myocardial infarction, and other diseases. However, few reports are available on the de novo microbial synthesis of dopamine from low-cost substrate. In this study, integrated omics technology was used to explore the dopamine metabolism of a novel marine multi-stress-tolerant aromatic yeast GXDK6. GXDK6 was found to have the ability to biosynthesize dopamine when using glucose as the substrate. 14 key genes for the biosynthesis of dopamine were identified by whole genome-wide analysis. Transcriptomic and proteomic data showed that the expression levels of gene encoding aspartate aminotransferase (regulating dopamine anabolism) were upregulated, while gene encoding copper amine oxidase (involved in dopamine catabolism) were downregulated under 10 % NaCl stress compared with non-NaCl stress, thereby contributing to biosynthesis of dopamine. Further, the amount of dopamine under 10 % NaCl stress was 2.51-fold higher than that of zero NaCl, which was consistent with the multi-omics results. Real-time fluorescence quantitative PCR (RT-qPCR) and high-performance liquid chromatography (HPLC) results confirmed the metabolic model of dopamine. Furthermore, by overexpressing , AST enzyme activity was increased by 24.89 %, the expression of genes related to dopamine metabolism was enhanced, and dopamine production was increased by 56.36 % in recombinant GXDK6AAT2. In conclusion, GXDK6 could utilize low-cost carbon source to synthesize dopamine, and NaCl stress promoted the biosynthesis of dopamine.

摘要

多巴胺可用于治疗抑郁症、心肌梗死等疾病。然而,关于从低成本底物从头进行微生物合成多巴胺的报道却很少。在本研究中,采用整合组学技术探索了一种新型耐多种胁迫的海洋芳香酵母GXDK6的多巴胺代谢。研究发现,GXDK6在以葡萄糖为底物时具有生物合成多巴胺的能力。通过全基因组分析鉴定出了14个多巴胺生物合成的关键基因。转录组学和蛋白质组学数据表明,与非NaCl胁迫相比,在10% NaCl胁迫下,编码天冬氨酸转氨酶(调节多巴胺合成代谢)的基因表达水平上调,而编码铜胺氧化酶(参与多巴胺分解代谢)的基因表达水平下调,从而促进了多巴胺的生物合成。此外,10% NaCl胁迫下的多巴胺含量比零NaCl时高2.51倍,这与多组学结果一致。实时荧光定量PCR(RT-qPCR)和高效液相色谱(HPLC)结果证实了多巴胺的代谢模型。此外,通过过表达,重组GXDK6AAT2中的AST酶活性提高了24.89%,与多巴胺代谢相关的基因表达增强,多巴胺产量提高了56.36%。总之,GXDK6能够利用低成本碳源合成多巴胺,NaCl胁迫促进了多巴胺的生物合成。

https://cdn.ncbi.nlm.nih.gov/pmc/blobs/8538/10825490/6b70ba1d2f26/gr1.jpg

文献AI研究员

20分钟写一篇综述,助力文献阅读效率提升50倍。

立即体验

用中文搜PubMed

大模型驱动的PubMed中文搜索引擎

马上搜索

文档翻译

学术文献翻译模型,支持多种主流文档格式。

立即体验