Suppr超能文献

自然杀伤细胞受体与肿瘤膜 HSP70 衍生肽的串扰:一项计算与实验联合研究。

Crosstalk Between NK Cell Receptors and Tumor Membrane Hsp70-Derived Peptide: A Combined Computational and Experimental Study.

机构信息

Pharmaceutical Biotechnology, Department of Pharmacy, Ludwig-Maximilians-Universität (LMU), 81377, Munich, Germany.

Heinz-Nixdorf-Chair of Biomedical Electronics, Campus Klinikum München rechts der Isar, TranslaTUM, Technische Universität München, 81675, Munich, Germany.

出版信息

Adv Sci (Weinh). 2024 Apr;11(14):e2305998. doi: 10.1002/advs.202305998. Epub 2024 Jan 31.

Abstract

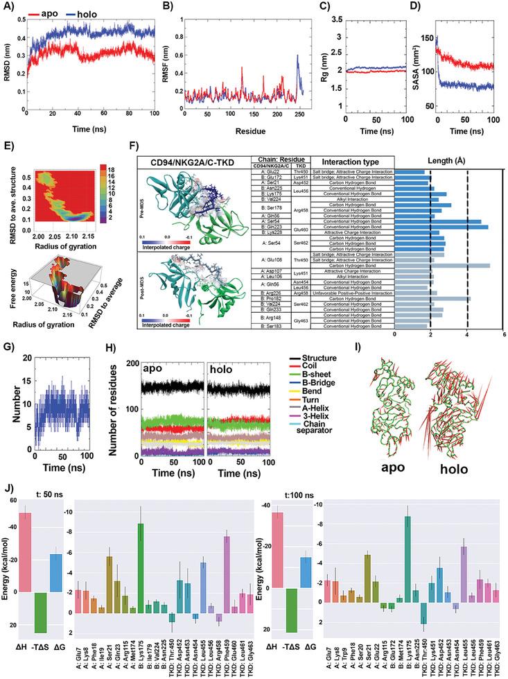
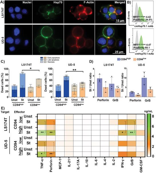
Natural killer (NK) cells are central components of the innate immunity system against cancers. Since tumor cells have evolved a series of mechanisms to escape from NK cells, developing methods for increasing the NK cell antitumor activity is of utmost importance. It is previously shown that an ex vivo stimulation of patient-derived NK cells with interleukin (IL)-2 and Hsp70-derived peptide TKD (TKDNNLLGRFELSG, aa450-461) results in a significant upregulation of activating receptors including CD94 and CD69 which triggers exhausted NK cells to target and kill malignant solid tumors expressing membrane Hsp70 (mHsp70). Considering that TKD binding to an activating receptor is the initial step in the cytolytic signaling cascade of NK cells, herein this interaction is studied by molecular docking and molecular dynamics simulation computational modeling. The in silico results showed a crucial role of the heterodimeric receptor CD94/NKG2A and CD94/NKG2C in the TKD interaction with NK cells. Antibody blocking and CRISPR/Cas9-mediated knockout studies verified the key function of CD94 in the TKD stimulation and activation of NK cells which is characterized by an increased cytotoxic capacity against mHsp70 positive tumor cells via enhanced production and release of lytic granules and pro-inflammatory cytokines.

摘要

自然杀伤 (NK) 细胞是固有免疫系统抵抗癌症的核心组成部分。由于肿瘤细胞已经进化出一系列逃避 NK 细胞的机制,因此开发增加 NK 细胞抗肿瘤活性的方法至关重要。先前的研究表明,用白细胞介素 (IL)-2 和热休克蛋白 70 衍生肽 TKD(TKDNNLLGRFELSG,aa450-461)对患者来源的 NK 细胞进行体外刺激,可显著上调包括 CD94 和 CD69 在内的激活受体,从而使耗尽的 NK 细胞靶向并杀死表达膜热休克蛋白 70 (mHsp70) 的恶性实体肿瘤。鉴于 TKD 与激活受体的结合是 NK 细胞细胞溶解信号级联反应的初始步骤,本文通过分子对接和分子动力学模拟计算模型研究了这种相互作用。计算机模拟结果表明,异二聚体受体 CD94/NKG2A 和 CD94/NKG2C 在 TKD 与 NK 细胞的相互作用中起着至关重要的作用。抗体阻断和 CRISPR/Cas9 介导的敲除研究验证了 CD94 在 TKD 刺激和激活 NK 细胞中的关键功能,其特征是通过增强溶酶体和促炎细胞因子的产生和释放,对 mHsp70 阳性肿瘤细胞的细胞毒性能力增强。

https://cdn.ncbi.nlm.nih.gov/pmc/blobs/d5c5/11005703/113ec9075848/ADVS-11-2305998-g002.jpg

文献AI研究员

20分钟写一篇综述,助力文献阅读效率提升50倍。

立即体验

用中文搜PubMed

大模型驱动的PubMed中文搜索引擎

马上搜索

文档翻译

学术文献翻译模型,支持多种主流文档格式。

立即体验