Suppr超能文献

带帽的可变形囊泡具有显著的抗炎活性:开发、优化以及离体和在体评估。

Capped flexosomes for prominent anti-inflammatory activity: development, optimization, and ex vivo and in vivo assessments.

机构信息

Department of Pharmaceutics and Industrial Pharmacy, Faculty of Pharmacy, Cairo University, Kasr El-Aini, Cairo, 11562, Egypt.

Department of Pharmacology and Toxicology, Faculty of Pharmacy, Cairo University, Cairo, Egypt.

出版信息

Drug Deliv Transl Res. 2024 Sep;14(9):2474-2487. doi: 10.1007/s13346-024-01522-z. Epub 2024 Feb 5.

Abstract

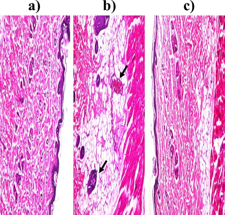
This study aimed to formulate diacerein (DCN)-loaded flexosomes for enhanced efficacy against osteoarthritis. A 2 D-optimal design was employed, investigating the impact of surfactant type (A), surfactant concentration (%w/v) (B), and oleylamine amount (mg) (C). Flexosomes were formulated using a rotary evaporator, and Design-Expert software was utilized to statistically analyze entrapment efficiency (EE%), zeta potential (ZP), poly-dispersity index (PDI), and particle size (PS) to determine the optimum formula. The selection criteria prioritized increased ZP (as absolute value) and EE%, coupled with decreased PDI and PS. Rigorous physicochemical, in vivo, and ex vivo tests were conducted to validate the safety, stability, and activity of the optimal formula. Physicochemical assessments encompassed pH measurement, transmission electron microscopy, differential scanning calorimetry, release profiles, storage effects, and Fourier transform infrared spectroscopy. In vivo tests included permeation studies, histopathology, anti-inflammatory activity, and skin irritancy, while ex vivo tests focused on permeation parameters and skin deposition. The optimum formula demonstrated high desirability (0.931), along with favorable EE% (90.93%), ZP (- 40.4 mV), particle size (188.55 nm), and sustained behavior. Notably, improved in vivo permeation (132 µm), skin deposition (193.43 µg/cm), and antinociceptive activity (66%) compared to DCN suspension (48 µm, 66.31 µg/cm, and 26%, respectively) were observed. The optimal formula also exhibited excellent safety and storage characteristics. In conclusion, DCN-loaded flexosomes exhibit significant potential for effectively managing osteoarthritis.

摘要

本研究旨在制备双醋瑞因(DCN)载入的变形囊泡,以增强其治疗骨关节炎的疗效。采用 2 D 最优设计,考察了表面活性剂类型(A)、表面活性剂浓度(%w/v)(B)和油胺用量(mg)(C)的影响。采用旋转蒸发器制备变形囊泡,运用 Design-Expert 软件对包封率(EE%)、Zeta 电位(ZP)、多分散指数(PDI)和粒径(PS)进行统计分析,以确定最佳配方。选择标准优先考虑增加 ZP(绝对值)和 EE%,同时降低 PDI 和 PS。对最佳配方进行了严格的理化、体内和体外测试,以验证其安全性、稳定性和活性。理化评估包括 pH 值测定、透射电子显微镜、差示扫描量热法、释放曲线、储存效应和傅里叶变换红外光谱。体内测试包括渗透研究、组织病理学、抗炎活性和皮肤刺激性,而体外测试则侧重于渗透参数和皮肤沉积。最佳配方具有高的理想性(0.931),同时具有良好的 EE%(90.93%)、ZP(-40.4 mV)、粒径(188.55 nm)和持续行为。值得注意的是,与 DCN 混悬剂(48 µm、66.31 µm 和 26%)相比,改善了体内渗透(132 µm)、皮肤沉积(193.43 µm/cm)和镇痛活性(66%)。最佳配方还表现出良好的安全性和储存特性。总之,DCN 载入的变形囊泡具有有效治疗骨关节炎的巨大潜力。

https://cdn.ncbi.nlm.nih.gov/pmc/blobs/cffb/11525274/c7b378333dfb/13346_2024_1522_Fig1_HTML.jpg

文献AI研究员

20分钟写一篇综述,助力文献阅读效率提升50倍。

立即体验

用中文搜PubMed

大模型驱动的PubMed中文搜索引擎

马上搜索

文档翻译

学术文献翻译模型,支持多种主流文档格式。

立即体验