Suppr超能文献

一名年轻女性因巨大毛粪石导致的机械性高位肠梗阻:一例非常罕见的病例报告。

Mechanical upper bowel obstruction caused by a large trichobezoar in a young woman: A very unusual case report.

作者信息

Scherrer Magdalena, Kornprat Peter, Sucher Robert, Muehlsteiner Johanna, Wagner Doris

机构信息

Department of Surgery, Division for General, Visceral and Transplantation Surgery, Medical University of Graz, Graz 8036, Austria.

Department of Surgery, Clinic Rohrbach, Rohrbach 4150, Austria.

出版信息

World J Clin Cases. 2024 Feb 6;12(4):777-781. doi: 10.12998/wjcc.v12.i4.777.

Abstract

BACKGROUND

Bezoars usually compile human fibers and debris. A special form of bezoar in case of psychologically altered individuals is the trichobezoar. It consists of voluntarily swallowed hair bulks and is normally removed gastroscopy. Trichobezoars leading to ileus have rarely been reported.

CASE SUMMARY

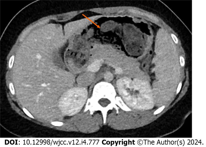
A 24-year-old female patient presented to the emergency room with abdominal pain, nausea, and vomiting for 3 d. Her previous medical and psychiatric history was unremarkable. Laboratory analysis showed iron deficiency anemia, leukocytosis, and elevated liver enzymes. An abdominal CT scan revealed a dense structure in the patients' stomach which turned out to be a huge trichobezoar completely obstructing the pylorus. The trichobezoar had to be removed surgically. During her postoperative course, a subcutaneous seroma formed. After a single puncture, the rest of the recovery process was unremarkable, and the patient recovered fully.

CONCLUSION

A mechanical bowel obstruction is a potentially life-threatening event for every patient. In our case a young female was suffering from severe symptoms of an obstruction which might have resulted in serious harm without successful surgical management.

摘要

背景

胃石通常由人体纤维和残渣组成。在心理状态改变的个体中,一种特殊形式的胃石是毛石。它由自愿吞食的大量毛发组成,通常通过胃镜检查取出。导致肠梗阻的毛石很少见报道。

病例摘要

一名24岁女性患者因腹痛、恶心和呕吐3天就诊于急诊室。她既往的内科和精神病史均无异常。实验室分析显示缺铁性贫血、白细胞增多和肝酶升高。腹部CT扫描显示患者胃内有一个致密结构,结果是一个巨大的毛石完全阻塞了幽门。必须通过手术切除毛石。在术后过程中,形成了皮下血清肿。经过一次穿刺后,其余的恢复过程无异常,患者完全康复。

结论

机械性肠梗阻对每个患者来说都是一个潜在的危及生命的事件。在我们的病例中,一名年轻女性患有严重的梗阻症状,如果没有成功的手术治疗,可能会导致严重伤害。

https://cdn.ncbi.nlm.nih.gov/pmc/blobs/cfab/10841140/1dbf34f35883/WJCC-12-777-g001.jpg

文献AI研究员

20分钟写一篇综述,助力文献阅读效率提升50倍。

立即体验

用中文搜PubMed

大模型驱动的PubMed中文搜索引擎

马上搜索

文档翻译

学术文献翻译模型,支持多种主流文档格式。

立即体验