Suppr超能文献

局部小分子程序性死亡配体1(PD-L1)阻断对SKH-1小鼠皮肤紫外线诱导的应激信号和炎症反应的抑制作用

Inhibition of UV-Induced Stress Signaling and Inflammatory Responses in SKH-1 Mouse Skin by Topical Small-Molecule PD-L1 Blockade.

作者信息

Dickinson Sally E, Vaishampayan Prajakta, Jandova Jana, Ai Yuchen Ella, Kirschnerova Viktoria, Zhang Tianshun, Calvert Valerie, Petricoin Emanuel, Chow H-H Sherry, Hu Chengcheng, Roe Denise, Bode Ann, Curiel-Lewandrowski Clara, Wondrak Georg T

机构信息

The University of Arizona Cancer Center, The University of Arizona, Tucson, Arizona, USA.

Department of Pharmacology, College of Medicine Tucson, The University of Arizona, Tucson, Arizona, USA.

出版信息

JID Innov. 2024 Jan 5;4(2):100255. doi: 10.1016/j.xjidi.2023.100255. eCollection 2024 Mar.

Abstract

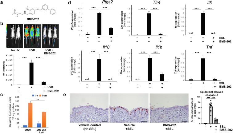
The immune checkpoint ligand PD-L1 has emerged as a molecular target for skin cancer therapy and might also hold promise for preventive intervention targeting solar UV light-induced skin damage. In this study, we have explored the role of PD-L1 in acute keratinocytic photodamage testing the effects of small-molecule pharmacological inhibition. Epidermal PD-L1 upregulation in response to chronic photodamage was established using immunohistochemical and proteomic analyses of a human skin cohort, consistent with earlier observations that PD-L1 is upregulated in cutaneous squamous cell carcinoma. Topical application of the small-molecule PD-L1 inhibitor BMS-202 significantly attenuated UV-induced activator protein-1 transcriptional activity in SKH-1 bioluminescent reporter mouse skin, also confirmed in human HaCaT reporter keratinocytes. RT-qPCR analysis revealed that BMS-202 antagonized UV induction of inflammatory gene expression. Likewise, UV-induced cleavage of procaspase-3, a hallmark of acute skin photodamage, was attenuated by topical BMS-202. NanoString nCounter transcriptomic analysis confirmed downregulation of cutaneous innate immunity- and inflammation-related responses, together with upregulation of immune response pathway gene expression. Further mechanistic analysis confirmed that BMS-202 antagonizes UV-induced PD-L1 expression both at the mRNA and protein levels in SKH-1 epidermis. These data suggest that topical pharmacological PD-L1 antagonism using BMS-202 shows promise for skin protection against photodamage.

摘要

免疫检查点配体PD-L1已成为皮肤癌治疗的分子靶点,对于针对太阳紫外线诱导的皮肤损伤的预防性干预也可能具有前景。在本研究中,我们探讨了PD-L1在急性角质形成细胞光损伤中的作用,测试了小分子药物抑制的效果。通过对一组人类皮肤进行免疫组织化学和蛋白质组学分析,确定了表皮PD-L1在慢性光损伤反应中的上调,这与之前在皮肤鳞状细胞癌中PD-L1上调的观察结果一致。小分子PD-L1抑制剂BMS-202的局部应用显著减弱了SKH-1生物发光报告小鼠皮肤中紫外线诱导的激活蛋白-1转录活性,在人HaCaT报告角质形成细胞中也得到了证实。RT-qPCR分析显示,BMS-202拮抗紫外线诱导的炎症基因表达。同样,紫外线诱导的前半胱天冬酶-3裂解(急性皮肤光损伤的一个标志)也被局部应用的BMS-202减弱。NanoString nCounter转录组分析证实了皮肤固有免疫和炎症相关反应的下调,以及免疫反应途径基因表达的上调。进一步的机制分析证实,BMS-202在mRNA和蛋白质水平上均拮抗SKH-1表皮中紫外线诱导的PD-L1表达。这些数据表明,使用BMS-202进行局部药理学PD-L1拮抗对皮肤光损伤防护具有前景。

https://cdn.ncbi.nlm.nih.gov/pmc/blobs/3604/10847774/2ed097a25885/gr1.jpg

文献AI研究员

20分钟写一篇综述,助力文献阅读效率提升50倍。

立即体验

用中文搜PubMed

大模型驱动的PubMed中文搜索引擎

马上搜索

文档翻译

学术文献翻译模型,支持多种主流文档格式。

立即体验