Suppr超能文献

LY487379 或 CDPPB 对小鼠大脑中 eNOS 表达的影响,以及联合使用 NO 释放剂对 MK-801 或东莨菪碱致小鼠认知功能障碍的影响。

The Impact of LY487379 or CDPPB on eNOS Expression in the Mouse Brain and the Effect of Joint Administration of Compounds with NO Releasers on MK-801- or Scopolamine-Driven Cognitive Dysfunction in Mice.

机构信息

Department of Medical Laboratory Diagnostics-Fahrenheit Biobank BBMRI.pl, Medical University of Gdansk, 7 Debinki Street, 80-211 Gdansk, Poland.

Maj Institute of Pharmacology Polish Academy of Sciences, 12 Smetna Street, 31-343 Krakow, Poland.

出版信息

Molecules. 2024 Jan 29;29(3):627. doi: 10.3390/molecules29030627.

Abstract

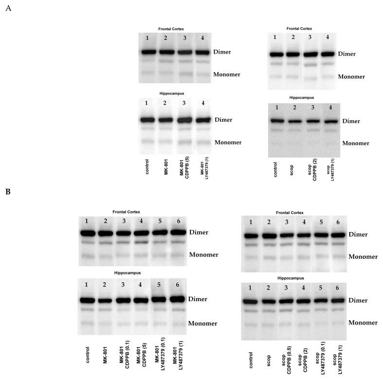
The role of endothelial nitric oxide synthase (eNOS) in the regulation of a variety of biological processes is well established, and its dysfunction contributes to brain pathologies, including schizophrenia or Alzheimer's disease (AD). Positive allosteric modulators (PAMs) of metabotropic glutamate (mGlu) receptors were shown to be effective procognitive compounds, but little is known about their impact on eNOS expression and stability. Here, we investigated the influence of the acute and chronic administration of LY487379 or CDPPB (mGlu2 and mGlu5 PAMs), on eNOS expression in the mouse brain and the effect of the joint administration of the ligands with nitric oxide (NO) releasers, spermineNONOate or DETANONOate, in different combinations of doses, on MK-801- or scopolamine-induced amnesia in the novel object recognition (NOR) test. Our results indicate that both compounds provoked eNOS monomer formation, and CDPPB at a dose of 5 mg/kg exaggerated the effect of MK-801 or scopolamine. The coadministration of spermineNONOate or DETANONOate enhanced the antiamnesic effect of CDPPB or LY487379. The best activity was observed for ineffective or moderate dose combinations. The results indicate that treatment with mGluR2 and mGluR5 PAMs may be burdened with the risk of promoting eNOS uncoupling through the induction of dimer dissociation. Administration of the lowest possible doses of the compounds with NO donors, which themselves have procognitive efficacy, may be proposed for the treatment of schizophrenia or AD.

摘要

内皮型一氧化氮合酶(eNOS)在调节多种生物过程中的作用已得到充分证实,其功能障碍导致包括精神分裂症或阿尔茨海默病(AD)在内的脑部病变。代谢型谷氨酸(mGlu)受体的正变构调节剂(PAMs)已被证明是有效的认知增强化合物,但它们对 eNOS 表达和稳定性的影响知之甚少。在这里,我们研究了急性和慢性给予 LY487379 或 CDPPB(mGlu2 和 mGlu5 PAMs)对小鼠大脑中 eNOS 表达的影响,以及联合给予配体与一氧化氮(NO)释放剂 spermineNONOate 或 DETANONOate,以不同剂量组合,对 MK-801 或东莨菪碱诱导的新奇物体识别(NOR)测试中的健忘症的影响。我们的结果表明,这两种化合物都引起了 eNOS 单体的形成,而 CDPPB 在 5mg/kg 的剂量下夸大了 MK-801 或东莨菪碱的作用。spermineNONOate 或 DETANONOate 的共同给药增强了 CDPPB 或 LY487379 的抗健忘作用。无效或中等剂量组合观察到最佳活性。结果表明,mGluR2 和 mGluR5 PAMs 的治疗可能伴随着通过诱导二聚体解离促进 eNOS 解偶联的风险。用具有认知增强功效的最低可能剂量的化合物与 NO 供体联合给药,可能被提议用于治疗精神分裂症或 AD。

https://cdn.ncbi.nlm.nih.gov/pmc/blobs/faf3/10856750/7d92b8ea253e/molecules-29-00627-g002.jpg

文献AI研究员

20分钟写一篇综述,助力文献阅读效率提升50倍。

立即体验

用中文搜PubMed

大模型驱动的PubMed中文搜索引擎

马上搜索

文档翻译

学术文献翻译模型,支持多种主流文档格式。

立即体验