Suppr超能文献

当归多糖纳米载药系统靶向递送冬凌草甲素的研究

Angelica Sinensis Polysaccharide-Based Nanoparticles for Liver-Targeted Delivery of Oridonin.

机构信息

College of Pharmacy, Shandong University of Traditional Chinese Medicine, Jinan 250355, China.

Key Laboratory of Traditional Chinese Medicine Classical Theory, Ministry of Education, Shandong University of Traditional Chinese Medicine, Jinan 250355, China.

出版信息

Molecules. 2024 Feb 5;29(3):731. doi: 10.3390/molecules29030731.

Abstract

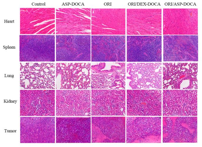
The present work aimed to study the feasibility of Angelica sinensis polysaccharide (ASP) as an instinctive liver targeting drug delivery carrier for oridonin (ORI) in the treatment of hepatocellular carcinoma (HCC). ASP was reacted with deoxycholic acid (DOCA) via an esterification reaction to form an ASP-DOCA conjugate. ORI-loaded ASP-DOCA nanoparticles (ORI/ASP-DOCA NPs) were prepared by the thin-film water method, and their size was about 195 nm in aqueous solution. ORI/ASP-DOCA NPs had a drug loading capacity of up to 9.2%. The release of ORI in ORI/ASP-DOCA NPs was pH-dependent, resulting in rapid decomposition and accelerated drug release at acidic pH. ORI/ASP-DOCA NPs significantly enhanced the accumulation of ORI in liver tumors through ASGPR-mediated endocytosis. In vitro results showed that ORI/ASP-DOCA NPs increased cell uptake and apoptosis in HepG2 cells, and in vivo results showed that ORI/ASP-DOCA NPs caused effective tumor suppression in H22 tumor-bearing mice compared with free ORI. In short, ORI/ASP-DOCA NPs might be a simple, feasible, safe and effective ORI nano-drug delivery system that could be used for the targeted delivery and treatment of liver tumors.

摘要

本工作旨在研究当归多糖(ASP)作为莪术油(ORI)治疗肝细胞癌(HCC)的天然肝靶向药物传递载体的可行性。ASP 通过酯化反应与去氧胆酸(DOCA)反应形成 ASP-DOCA 缀合物。通过薄膜水法制备了载有 ORI 的 ASP-DOCA 纳米粒(ORI/ASP-DOCA NPs),其在水溶液中的粒径约为 195nm。ORI/ASP-DOCA NPs 的载药量高达 9.2%。ORI 在 ORI/ASP-DOCA NPs 中的释放具有 pH 依赖性,导致在酸性 pH 下迅速分解并加速药物释放。ORI/ASP-DOCA NPs 通过 ASGPR 介导的内吞作用显著增强了 ORI 在肝肿瘤中的积累。体外结果表明,ORI/ASP-DOCA NPs 增加了 HepG2 细胞的摄取和凋亡,体内结果表明,与游离 ORI 相比,ORI/ASP-DOCA NPs 可有效抑制 H22 荷瘤小鼠的肿瘤生长。总之,ORI/ASP-DOCA NPs 可能是一种简单、可行、安全、有效的 ORI 纳米药物传递系统,可用于肝肿瘤的靶向递送和治疗。

https://cdn.ncbi.nlm.nih.gov/pmc/blobs/59c2/10856552/c0c1898f2c48/molecules-29-00731-g001.jpg

文献AI研究员

20分钟写一篇综述,助力文献阅读效率提升50倍。

立即体验

用中文搜PubMed

大模型驱动的PubMed中文搜索引擎

马上搜索

文档翻译

学术文献翻译模型,支持多种主流文档格式。

立即体验