Suppr超能文献

与南海獭()中新的 spp. 感染相关的病理学、微生物学和遗传多样性。

Pathology, microbiology, and genetic diversity associated with and novel spp. infections in southern sea otters ().

作者信息

Chang Ri K, Miller Melissa A, Tekedar Hasan C, Rose Divya, García Julio C, LaFrentz Benjamin R, Older Caitlin E, Waldbieser Geoffrey C, Pomaranski Eric, Shahin Khalid, Camus Alvin C, Batac Francesca, Byrne Barbara A, Murray Michael J, Griffin Matt J, Soto Esteban

机构信息

Department of Medicine and Epidemiology, School of Veterinary Medicine, University of California, Davis, Davis, CA, United States.

Monterey Bay Aquarium, Monterey, CA, United States.

出版信息

Front Microbiol. 2024 Feb 1;14:1303235. doi: 10.3389/fmicb.2023.1303235. eCollection 2023.

Abstract

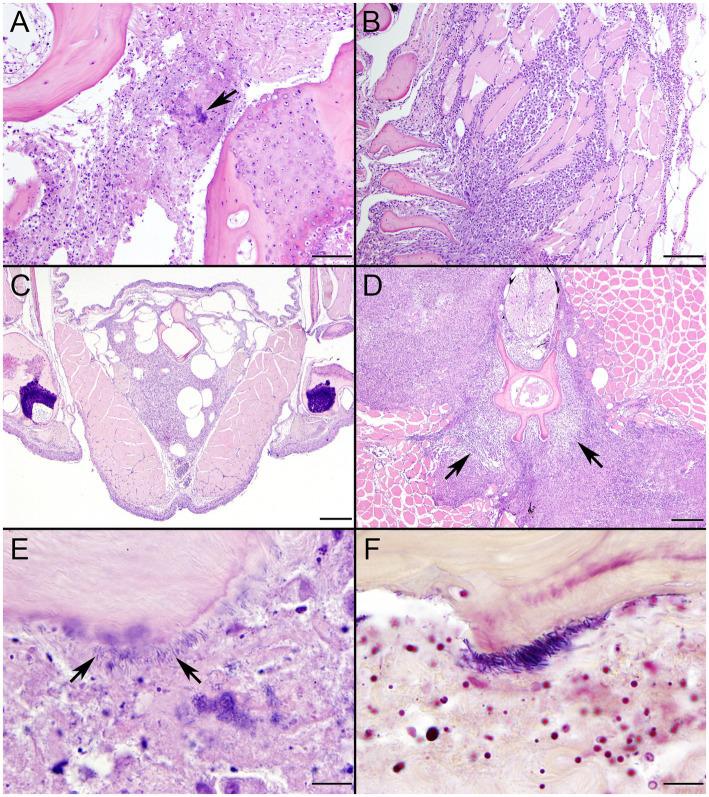
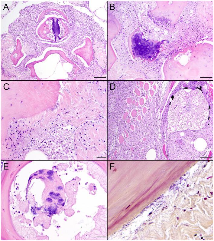
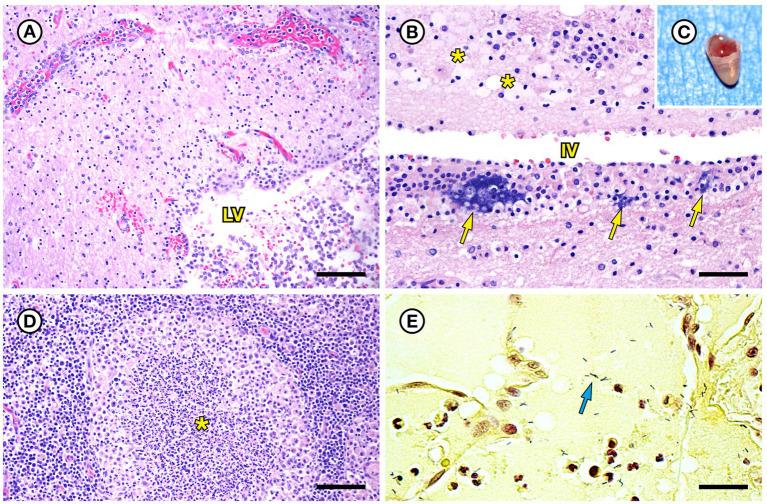
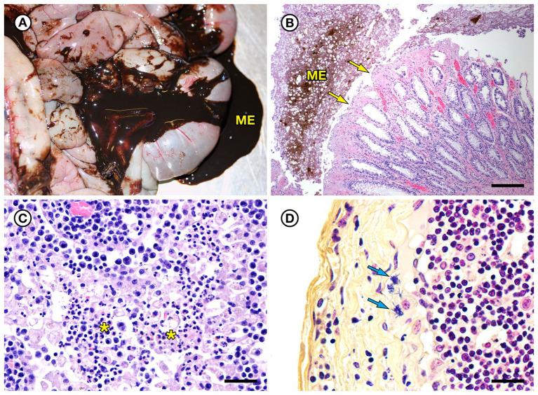
spp., including , are zoonotic bacterial pathogens that can cause morbidity and mortality in mammals, fish, reptiles, birds, and humans. The southern sea otter (SSO; ) is a federally-listed threatened species for which infectious disease is a major cause of mortality. We estimated the frequency of detection of these opportunistic pathogens in dead SSOs, described pathology associated with infections in SSOs, characterized the genetic diversity and antimicrobial susceptibility of SSO isolates, and evaluated the virulence of two novel isolates from SSOs using an fish model. From 1998 to 2021 spp. were isolated from six of >500 necropsied SSOs. spp. were isolated in pure culture from three cases, while the other three were mixed cultures. Bacterial septicemia was a primary or contributing cause of death in five of the six cases. Other pathology observed included suppurative lymphadenopathy, fibrinosuppurative arteritis with thrombosis and infarction, bilateral uveitis and endophthalmitis, hypopyon, petechia and ecchymoses, mucosal infarction, and suppurative meningoencephalitis and ventriculitis. Short to long slender Gram-positive or Gram-variable bacterial rods were identified within lesions, alone or with other opportunistic bacteria. All six SSO isolates had the genotype-four isolates clustered with strains from various terrestrial and marine animal hosts. Two isolates did not cluster with any known spp.; whole genome sequencing revealed a novel species and a novel subspecies. We propose the names sp. nov. and ssp. nov. respectively. The type strains are UCD-4322-04 and UCD-4724-06, respectively. Experimental injection of tiger barbs () resulted in infection and mortality from the two novel spp. Antimicrobial susceptibility testing of isolates from SSOs shows similar susceptibility profiles to isolates from other terrestrial and aquatic animals. This is the first description of the pathology, microbial characteristics, and genetic diversity of isolates recovered from diseased SSOs. Methods presented here can facilitate case recognition, aid characterization of isolates, and illustrate assessment of virulence using fish models.

摘要

[物种名称],包括[具体物种],是可在哺乳动物、鱼类、爬行动物、鸟类和人类中引发疾病和导致死亡的人畜共患细菌病原体。南海獭(SSO;[具体学名])是一种被联邦列为受威胁的物种,传染病是其死亡的主要原因。我们估计了这些机会性病原体在死亡南海獭中的检出频率,描述了与南海獭感染相关的病理学特征,对南海獭分离株的遗传多样性和抗菌药物敏感性进行了表征,并使用斑马鱼模型评估了来自南海獭的两种新型[物种名称]分离株的毒力。1998年至2021年期间,在500多只经尸检的南海獭中,有6只分离出了[物种名称]。[物种名称]在3例中以纯培养物形式分离得到,另外3例为混合培养物。在这6例中的5例中,细菌性败血症是主要死因或促成死因。观察到的其他病理学特征包括化脓性淋巴结病、伴有血栓形成和梗死的纤维蛋白化脓性动脉炎、双侧葡萄膜炎和眼内炎、前房积脓、瘀点和瘀斑、粘膜梗死以及化脓性脑膜脑炎和脑室炎。在病变部位鉴定出短至长的细长革兰氏阳性或革兰氏可变杆菌,单独存在或与其他机会性细菌一起存在。所有6株南海獭分离株均具有[基因型]——4株与来自各种陆地和海洋动物宿主的[菌株名称]菌株聚类。2株未与任何已知的[物种名称]聚类;全基因组测序揭示了一个新的[物种名称]种和一个新的[物种名称]亚种。我们分别提议将其命名为[新物种名称]和[新亚种名称]。模式菌株分别为[菌株名称]UCD - 4322 - 04和[菌株名称]UCD - 4724 - 06。对斑马鱼([具体学名])进行实验性注射导致感染,并因这两种新型[物种名称]而死亡。对南海獭分离株进行的抗菌药物敏感性测试显示,其敏感性谱与其他陆地和水生动物的分离株相似。这是对从患病南海獭中分离出的[物种名称]分离株的病理学、微生物特征和遗传多样性的首次描述。本文介绍的方法可促进病例识别,有助于[物种名称]分离株的表征,并说明使用鱼类模型评估毒力的方法。

https://cdn.ncbi.nlm.nih.gov/pmc/blobs/901e/10867225/8635967b57bc/fmicb-14-1303235-g001.jpg

文献AI研究员

20分钟写一篇综述,助力文献阅读效率提升50倍。

立即体验

用中文搜PubMed

大模型驱动的PubMed中文搜索引擎

马上搜索

文档翻译

学术文献翻译模型,支持多种主流文档格式。

立即体验