Suppr超能文献

葫芦素 IIa 增强阿霉素的免疫原性细胞死亡诱导作用,并调节肝癌的免疫微环境。

Cucurbitacin IIa promotes the immunogenic cell death‑inducing effect of doxorubicin and modulates immune microenvironment in liver cancer.

机构信息

Affiliated Hospital of Integrated Traditional Chinese and Western Medicine, Nanjing University of Chinese Medicine, Nanjing, Jiangsu 210023, P.R. China.

出版信息

Int J Oncol. 2024 Apr;64(4). doi: 10.3892/ijo.2024.5625. Epub 2024 Feb 23.

Abstract

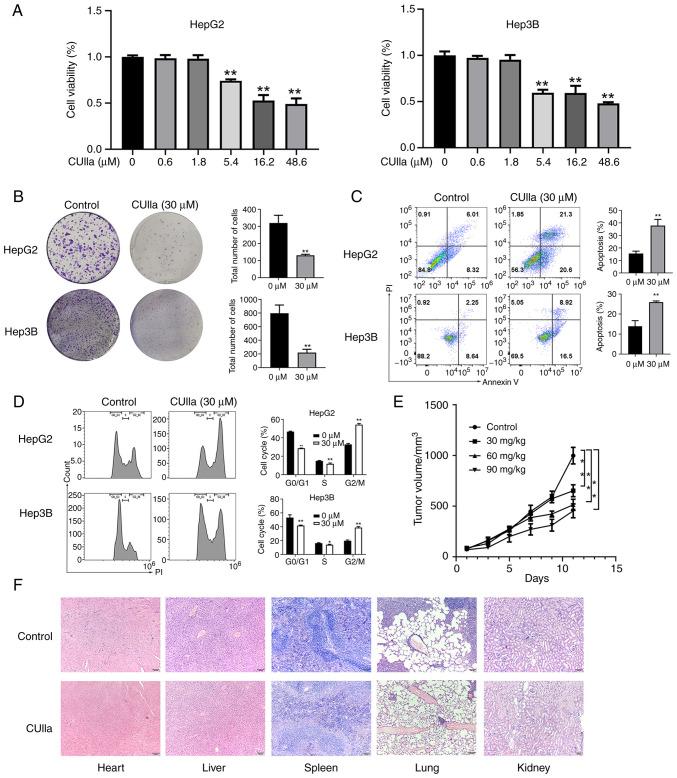
The immunogenic cell death (ICD) has aroused great interest in cancer immunotherapy. Doxorubicin (DOX), which can induce ICD, is a widely used chemotherapeutic drug in liver cancer. However, DOX‑induced ICD is not potent enough to initiate a satisfactory immune response. Cucurbitacin IIa (CUIIa), a tetracyclic triterpene, is a biologically active compound present in the family. The present study assessed the effects of the combination of DOX and CUIIa on the viability, colony formation, apoptosis and cell cycle of HepG2 cells. anticancer effect was performed in mice bearing H22 tumor xenografts. The hallmark expression of ICD was tested using immunofluorescence and an ATP assay kit. The immune microenvironment was analyzed using flow cytometry. The combination of CUIIa and DOX displayed potent apoptosis inducing, cell cycle arresting and anticancer effects, along with attenuated cardiotoxicity in H22 mice. The combination of DOX and CUIIa also facilitated ICD as manifested by elevated high‑mobility group box 1, calreticulin and ATP secretion. This combination provoked a stronger immune response in H22 mice, including dendritic cell activation, increment of cytotoxic T cells and T helper 1 cells. Moreover, the proportion of immunosuppressive cells including myeloid‑derived suppressor cells, T regulatory cells and M2‑polarized macrophages, decreased. These data suggested that CUIIa is a promising combination partner with DOX for liver cancer treatment, probably via triggering ICD and remolding the immune microenvironment.

摘要

免疫原性细胞死亡 (ICD) 在癌症免疫治疗中引起了极大的兴趣。阿霉素 (DOX) 可诱导 ICD,是肝癌中广泛使用的化疗药物。然而,DOX 诱导的 ICD 不足以引发令人满意的免疫反应。葫芦素 IIa (CUIIa) 是一种四环三萜类生物活性化合物,存在于 科中。本研究评估了 DOX 和 CUIIa 联合使用对 HepG2 细胞活力、集落形成、细胞凋亡和细胞周期的影响。在荷 H22 肿瘤异种移植小鼠中进行了抗癌作用评估。使用免疫荧光和 ATP 测定试剂盒检测 ICD 的标志性表达。使用流式细胞术分析免疫微环境。CUIIa 和 DOX 的联合使用显示出强大的凋亡诱导、细胞周期阻滞和抗癌作用,并减轻了 H22 小鼠的心脏毒性。DOX 和 CUIIa 的联合使用还促进了 ICD,表现为高迁移率族蛋白 1 (HMGB1)、钙网蛋白和 ATP 分泌增加。这种联合在 H22 小鼠中引起了更强的免疫反应,包括树突状细胞激活、细胞毒性 T 细胞和辅助性 T 细胞 1 细胞的增加。此外,包括髓源性抑制细胞、调节性 T 细胞和 M2 极化巨噬细胞在内的免疫抑制细胞的比例减少。这些数据表明,CUIIa 是 DOX 治疗肝癌的有前途的联合伙伴,可能通过触发 ICD 和重塑免疫微环境。

https://cdn.ncbi.nlm.nih.gov/pmc/blobs/ade7/10901535/7c04575bf561/ijo-64-04-05625-g00.jpg

文献AI研究员

20分钟写一篇综述,助力文献阅读效率提升50倍。

立即体验

用中文搜PubMed

大模型驱动的PubMed中文搜索引擎

马上搜索

文档翻译

学术文献翻译模型,支持多种主流文档格式。

立即体验