Suppr超能文献

抑制SAT1可通过抑制ALOX15表达和激活Nrf2途径减轻软骨细胞炎症和铁死亡。

Inhibition of SAT1 alleviates chondrocyte inflammation and ferroptosis by repressing ALOX15 expression and activating the Nrf2 pathway.

作者信息

Xu Jingting, Ruan Zhaoxuan, Guo Zhou, Hou Liangcai, Wang Genchun, Zheng Zehang, Zhang Xiong, Liu Haigang, Sun Kai, Guo Fengjing

机构信息

Department of Orthopedics, Tongji Hospital, Tongji Medical College, Huazhong University of Science and Technology, Wuhan, China.

出版信息

Bone Joint Res. 2024 Mar 7;13(3):110-123. doi: 10.1302/2046-3758.133.BJR-2023-0250.R1.

Abstract

AIMS

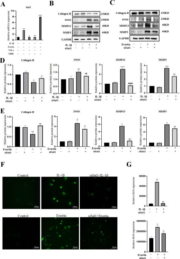
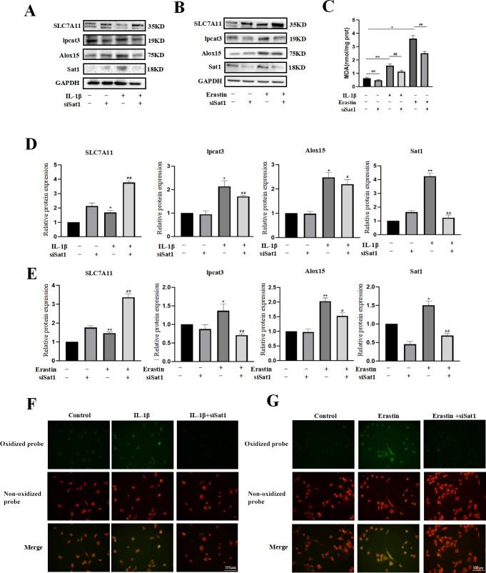
Osteoarthritis (OA) is the most common chronic pathema of human joints. The pathogenesis is complex, involving physiological and mechanical factors. In previous studies, we found that ferroptosis is intimately related to OA, while the role of Sat1 in chondrocyte ferroptosis and OA, as well as the underlying mechanism, remains unclear.

METHODS

In this study, interleukin-1β (IL-1β) was used to simulate inflammation and Erastin was used to simulate ferroptosis in vitro. We used small interfering RNA (siRNA) to knock down the spermidine/spermine N1-acetyltransferase 1 (Sat1) and arachidonate 15-lipoxygenase (Alox15), and examined damage-associated events including inflammation, ferroptosis, and oxidative stress of chondrocytes. In addition, a destabilization of the medial meniscus (DMM) mouse model of OA induced by surgery was established to investigate the role of Sat1 inhibition in OA progression.

RESULTS

The results showed that inhibition of Sat1 expression can reduce inflammation, ferroptosis changes, reactive oxygen species (ROS) level, and lipid-ROS accumulation induced by IL-1β and Erastin. Knockdown of Sat1 promotes nuclear factor-E2-related factor 2 (Nrf2) signalling. Additionally, knockdown Alox15 can alleviate the inflammation-related protein expression induced by IL-1β and ferroptosis-related protein expression induced by Erastin. Furthermore, knockdown Nrf2 can reverse these protein expression alterations. Finally, intra-articular injection of diminazene aceturate (DA), an inhibitor of Sat1, enhanced type II collagen (collagen II) and increased Sat1 and Alox15 expression.

CONCLUSION

Our results demonstrate that inhibition of Sat1 could alleviate chondrocyte ferroptosis and inflammation by downregulating Alox15 activating the Nrf2 system, and delaying the progression of OA. These findings suggest that Sat1 provides a new approach for studying and treating OA.

摘要

目的

骨关节炎(OA)是人类关节最常见的慢性疾病。其发病机制复杂,涉及生理和机械因素。在先前的研究中,我们发现铁死亡与OA密切相关,而精胺/精脒N1 - 乙酰基转移酶1(Sat1)在软骨细胞铁死亡和OA中的作用及其潜在机制仍不清楚。

方法

在本研究中,白细胞介素 - 1β(IL - 1β)用于体外模拟炎症,埃拉司亭用于模拟铁死亡。我们使用小干扰RNA(siRNA)敲低精胺/精脒N1 - 乙酰基转移酶1(Sat1)和花生四烯酸15 - 脂氧合酶(Alox15),并检测软骨细胞的损伤相关事件,包括炎症、铁死亡和氧化应激。此外,通过手术建立内侧半月板不稳定(DMM)OA小鼠模型,以研究Sat1抑制在OA进展中的作用。

结果

结果表明,抑制Sat1表达可减少IL - 1β和埃拉司亭诱导的炎症、铁死亡变化、活性氧(ROS)水平和脂质 - ROS积累。敲低Sat1可促进核因子E2相关因子2(Nrf2)信号传导。此外,敲低Alox15可减轻IL - 1β诱导的炎症相关蛋白表达和埃拉司亭诱导的铁死亡相关蛋白表达。此外,敲低Nrf2可逆转这些蛋白表达变化。最后,关节内注射Sat1抑制剂乙酰氨基苯脒(DA)可增强II型胶原蛋白(胶原蛋白II),并增加Sat1和Alox15表达。

结论

我们的结果表明,抑制Sat1可通过下调Alox15激活Nrf2系统来减轻软骨细胞铁死亡和炎症,并延缓OA的进展。这些发现表明Sat1为研究和治疗OA提供了一种新方法。

https://cdn.ncbi.nlm.nih.gov/pmc/blobs/138c/10917474/35ceae28a448/BJR-2023-0250.R1-galleyfig1.jpg

文献AI研究员

20分钟写一篇综述,助力文献阅读效率提升50倍。

立即体验

用中文搜PubMed

大模型驱动的PubMed中文搜索引擎

马上搜索

文档翻译

学术文献翻译模型,支持多种主流文档格式。

立即体验