Suppr超能文献

下丘脑星形胶质细胞 NAD 挽救途径介导肥胖小鼠模型中饮食脂肪过量摄入的耦合。

Hypothalamic astrocyte NAD salvage pathway mediates the coupling of dietary fat overconsumption in a mouse model of obesity.

机构信息

Department of Biomedical Science, Asan Medical Institute of Convergence Science and Technology, University of Ulsan College of Medicine, Seoul, 05505, Korea.

Center for Cognition and Sociality, Life Science Cluster, Institute for Basic Science, Daejeon, 34126, Korea.

出版信息

Nat Commun. 2024 Mar 7;15(1):2102. doi: 10.1038/s41467-024-46009-0.

Abstract

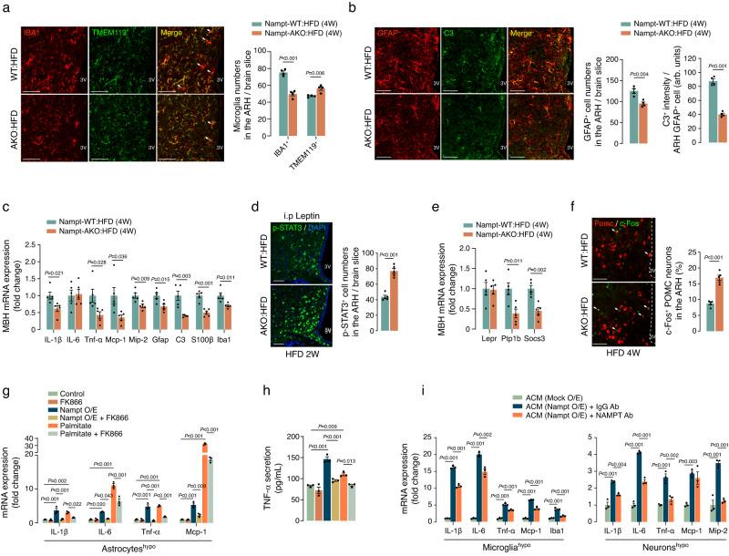
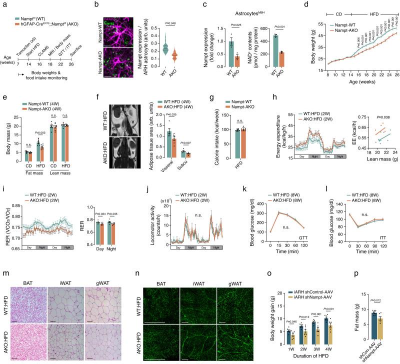
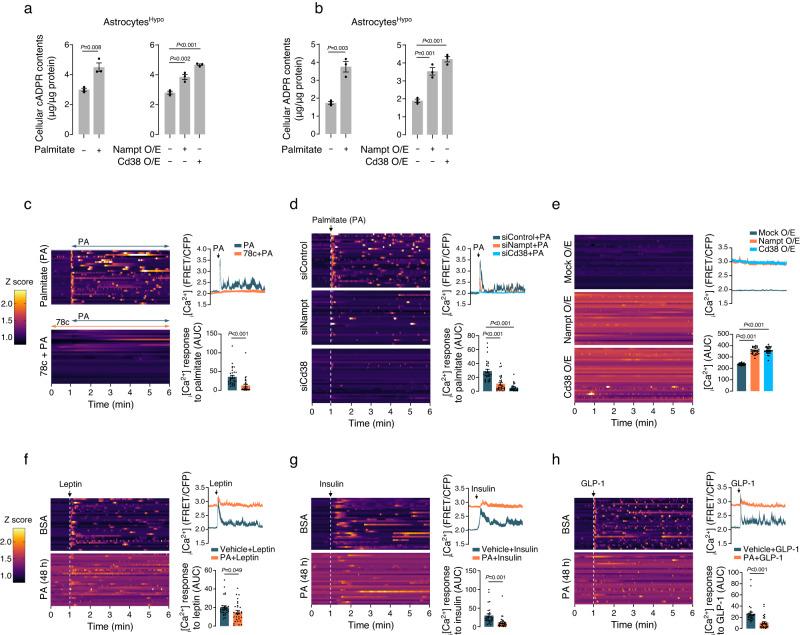
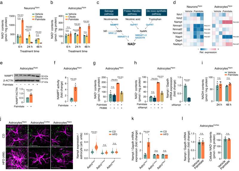
Nicotinamide adenine dinucleotide (NAD) serves as a crucial coenzyme in numerous essential biological reactions, and its cellular availability relies on the activity of the nicotinamide phosphoribosyltransferase (NAMPT)-catalyzed salvage pathway. Here we show that treatment with saturated fatty acids activates the NAD salvage pathway in hypothalamic astrocytes. Furthermore, inhibition of this pathway mitigates hypothalamic inflammation and attenuates the development of obesity in male mice fed a high-fat diet (HFD). Mechanistically, CD38 functions downstream of the NAD salvage pathway in hypothalamic astrocytes burdened with excess fat. The activation of the astrocytic NAMPT-NAD-CD38 axis in response to fat overload induces proinflammatory responses in the hypothalamus. It also leads to aberrantly activated basal Ca signals and compromised Ca responses to metabolic hormones such as insulin, leptin, and glucagon-like peptide 1, ultimately resulting in dysfunctional hypothalamic astrocytes. Our findings highlight the significant contribution of the hypothalamic astrocytic NAD salvage pathway, along with its downstream CD38, to HFD-induced obesity.

摘要

烟酰胺腺嘌呤二核苷酸(NAD)作为许多重要生物反应的关键辅酶,其细胞可用性依赖于烟酰胺磷酸核糖转移酶(NAMPT)催化的补救途径的活性。在这里,我们表明,饱和脂肪酸的处理激活了下丘脑星形胶质细胞中的 NAD 补救途径。此外,抑制该途径可减轻下丘脑炎症,并减轻高脂肪饮食(HFD)喂养的雄性小鼠肥胖的发展。在机制上,CD38 在被多余脂肪负担的下丘脑星形胶质细胞中,作为 NAD 补救途径的下游发挥作用。脂肪超载引起的星形胶质细胞 NAMPT-NAD-CD38 轴的激活会在下丘脑引发促炎反应。它还导致异常激活的基础钙信号,并损害对代谢激素(如胰岛素、瘦素和胰高血糖素样肽 1)的钙反应,最终导致下丘脑星形胶质细胞功能障碍。我们的研究结果强调了下丘脑星形胶质细胞 NAD 补救途径及其下游 CD38 对 HFD 诱导肥胖的重要贡献。

https://cdn.ncbi.nlm.nih.gov/pmc/blobs/4311/10920699/974ace4a8d26/41467_2024_46009_Fig1_HTML.jpg

文献AI研究员

20分钟写一篇综述,助力文献阅读效率提升50倍。

立即体验

用中文搜PubMed

大模型驱动的PubMed中文搜索引擎

马上搜索

文档翻译

学术文献翻译模型,支持多种主流文档格式。

立即体验