Suppr超能文献

3'-脱氧腺苷通过抑制NLRP3炎性小体减轻甲基苯丙胺诱导的异常突触可塑性和觅药行为。

3'-Deoxyadenosin alleviates methamphetamine-induced aberrant synaptic plasticity and seeking behavior by inhibiting the NLRP3 inflammasome.

作者信息

Qi Yize, Zhou Yao, Li Jiyang, Zhu Fangyuan, Guo Gengni, Wang Can, Yu Man, Wang Yijie, Ma Tengfei, Feng Shanwu, Zhou Li

机构信息

Institute for Stem Cell and Neural Regeneration and Key Laboratory of Cardiovascular & Cerebrovascular Medicine, School of Pharmacy, Nanjing Medical University, Nanjing, Jiangsu Province, China.

Department of Anesthesiology, The Second People's Hospital of Lianyungang, Lianyungang, Jiangsu Province, China.

出版信息

Neural Regen Res. 2024 Oct 1;19(10):2270-2280. doi: 10.4103/1673-5374.392887. Epub 2024 Jan 26.

Abstract

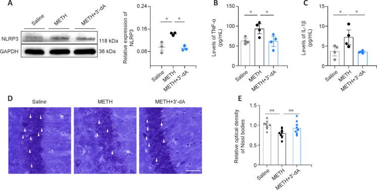
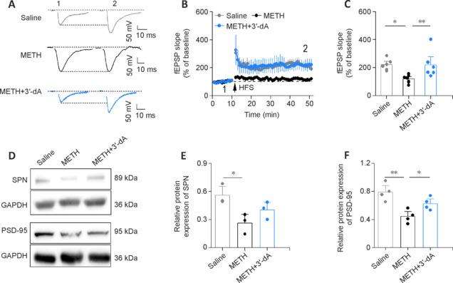
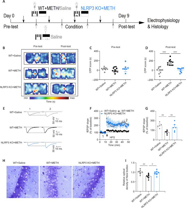
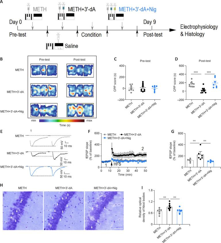
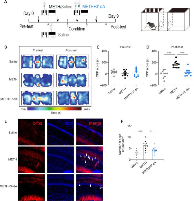
JOURNAL/nrgr/04.03/01300535-202410000-00028/figure1/v/2024-02-06T055622Z/r/image-tiff Methamphetamine addiction is a brain disorder characterized by persistent drug-seeking behavior, which has been linked with aberrant synaptic plasticity. An increasing body of evidence suggests that aberrant synaptic plasticity is associated with the activation of the NOD-like receptor family pyrin domain containing-3 (NLRP3) inflammasome. 3'-Deoxyadenosin, an active component of the Chinese fungus Cordyceps militaris, has strong anti-inflammatory effects. However, whether 3'-deoxyadenosin attenuates methamphetamine-induced aberrant synaptic plasticity via an NLRP3-mediated inflammatory mechanism remains unclear. We first observed that 3'-deoxyadenosin attenuated conditioned place preference scores in methamphetamine-treated mice and decreased the expression of c-fos in hippocampal neurons. Furthermore, we found that 3'-deoxyadenosin reduced the aberrant potentiation of glutamatergic transmission and restored the methamphetamine-induced impairment of synaptic plasticity. We also found that 3'-deoxyadenosin decreased the expression of NLRP3 and neuronal injury. Importantly, a direct NLRP3 deficiency reduced methamphetamine-induced seeking behavior, attenuated the impaired synaptic plasticity, and prevented neuronal damage. Finally, NLRP3 activation reversed the effect of 3'-deoxyadenosin on behavior and synaptic plasticity, suggesting that the anti-neuroinflammatory mechanism of 3'-deoxyadenosin on aberrant synaptic plasticity reduces methamphetamine-induced seeking behavior. Taken together, 3'-deoxyadenosin alleviates methamphetamine-induced aberrant synaptic plasticity and seeking behavior by inhibiting the NLRP3 inflammasome.

摘要

《期刊》/nrgr/04.03/01300535 - 202410000 - 00028/图1/v/2024 - 02 - 06T055622Z/图像 - 标签图像文件格式 甲基苯丙胺成瘾是一种以持续的觅药行为为特征的脑部疾病,这种行为与异常的突触可塑性有关。越来越多的证据表明,异常的突触可塑性与含pyrin结构域的NOD样受体家族3(NLRP3)炎性小体的激活有关。3'-脱氧腺苷是中国真菌蛹虫草的一种活性成分,具有很强的抗炎作用。然而,3'-脱氧腺苷是否通过NLRP3介导的炎症机制减轻甲基苯丙胺诱导的异常突触可塑性仍不清楚。我们首先观察到,3'-脱氧腺苷降低了甲基苯丙胺处理小鼠的条件性位置偏爱得分,并降低了海马神经元中c - fos的表达。此外,我们发现3'-脱氧腺苷减少了谷氨酸能传递的异常增强,并恢复了甲基苯丙胺诱导的突触可塑性损伤。我们还发现3'-脱氧腺苷降低了NLRP3的表达和神经元损伤。重要的是,直接的NLRP3缺陷减少了甲基苯丙胺诱导的觅药行为,减轻了受损的突触可塑性,并防止了神经元损伤。最后,NLRP3激活逆转了3'-脱氧腺苷对行为和突触可塑性的影响,表明3'-脱氧腺苷对异常突触可塑性的抗神经炎症机制减少了甲基苯丙胺诱导的觅药行为。综上所述,3'-脱氧腺苷通过抑制NLRP3炎性小体减轻了甲基苯丙胺诱导的异常突触可塑性和觅药行为。

https://cdn.ncbi.nlm.nih.gov/pmc/blobs/e729/11034599/3233a283131a/NRR-19-2270-g002.jpg

文献AI研究员

20分钟写一篇综述,助力文献阅读效率提升50倍。

立即体验

用中文搜PubMed

大模型驱动的PubMed中文搜索引擎

马上搜索

文档翻译

学术文献翻译模型,支持多种主流文档格式。

立即体验