Suppr超能文献

在糖用甜菜中,真核翻译起始因子(iso)4E 赋予对黄脉病毒的隐性抗性。

Recessive resistance against beet chlorosis virus is conferred by the eukaryotic translation initiation factor (iso)4E in Beta vulgaris.

机构信息

Institute of Sugar Beet Research, Göttingen, Germany.

SESVanderHave, Tienen, Belgium.

出版信息

Plant Biotechnol J. 2024 Aug;22(8):2129-2141. doi: 10.1111/pbi.14333. Epub 2024 Mar 15.

Abstract

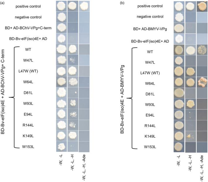
Eukaryotic translation initiation factors (eIFs) are important for mRNA translation but also pivotal for plant-virus interaction. Most of these plant-virus interactions were found between plant eIFs and the viral protein genome-linked (VPg) of potyviruses. In case of lost interaction due to mutation or deletion of eIFs, the viral translation and subsequent replication within its host is negatively affected, resulting in a recessive resistance. Here we report the identification of the Beta vulgaris Bv-eIF(iso)4E as a susceptibility factor towards the VPg-carrying beet chlorosis virus (genus Polerovirus). Using yeast two-hybrid and bimolecular fluorescence complementation assays, the physical interaction between Bv-eIF(iso)4E and the putative BChV-VPg was detected, while the VPg of the closely related beet mild yellowing virus (BMYV) was found to interact with the two isoforms Bv-eIF4E and Bv-eIF(iso)4E. These VPg-eIF interactions within the polerovirus-beet pathosystem were demonstrated to be highly specific, as single mutations within the predicted cap-binding pocket of Bv-eIF(iso)4E resulted in a loss of interaction. To investigate the suitability of eIFs as a resistance resource against beet infecting poleroviruses, B. vulgaris plants were genome edited by CRISPR/Cas9 resulting in knockouts of different eIFs. A simultaneous knockout of the identified BMYV-interaction partners Bv-eIF4E and Bv-eIF(iso)4E was not achieved, but Bv-eIF(iso)4E plants showed a significantly lowered BChV accumulation and decrease in infection rate from 100% to 28.86%, while no influence on BMYV accumulation was observed. Still, these observations support that eIFs are promising candidate genes for polerovirus resistance breeding in sugar beet.

摘要

真核翻译起始因子(eIFs)对于 mRNA 翻译非常重要,同时也是植物-病毒相互作用的关键。这些植物-病毒相互作用大多数发生在植物 eIFs 与马铃薯 Y 病毒属(Potyviridae)病毒的衣壳蛋白连接(VPg)之间。如果由于 eIFs 的突变或缺失导致相互作用丧失,病毒的翻译和随后在其宿主中的复制将受到负面影响,导致隐性抗性。在这里,我们报告了鉴定出的β 菜豆 Bv-eIF(iso)4E 是携带 VPg 的甜菜黄化病毒(属 Polerovirus)的易感性因子。使用酵母双杂交和双分子荧光互补测定,检测到 Bv-eIF(iso)4E 与假定的 BChV-VPg 之间的物理相互作用,而密切相关的甜菜轻度黄化病毒(BMYV)的 VPg 被发现与两种同工型 Bv-eIF4E 和 Bv-eIF(iso)4E 相互作用。在 polerovirus-甜菜病理系统中,这些 VPg-eIF 相互作用被证明是高度特异性的,因为 Bv-eIF(iso)4E 中预测的帽子结合口袋内的单个突变导致相互作用丧失。为了研究 eIFs 作为针对侵染甜菜的 poleroviruses 的抗性资源的适宜性,通过 CRISPR/Cas9 对 B. vulgaris 植物进行了基因组编辑,导致不同 eIFs 的敲除。没有实现同时敲除鉴定出的 BMYV 相互作用伙伴 Bv-eIF4E 和 Bv-eIF(iso)4E,但 Bv-eIF(iso)4E 植物的 BChV 积累明显降低,感染率从 100%降至 28.86%,而对 BMYV 积累没有影响。尽管如此,这些观察结果支持 eIFs 是甜菜 polerovirus 抗性育种的有前途的候选基因。

https://cdn.ncbi.nlm.nih.gov/pmc/blobs/01f9/11373996/cb8005ece929/PBI-22-2129-g003.jpg

文献AI研究员

20分钟写一篇综述,助力文献阅读效率提升50倍。

立即体验

用中文搜PubMed

大模型驱动的PubMed中文搜索引擎

马上搜索

文档翻译

学术文献翻译模型,支持多种主流文档格式。

立即体验