Suppr超能文献

增强基于胶原蛋白的纳米乳凝胶以实现醋氯芬酸和香茅醇油的有效局部递送:制剂、优化、体外评价和聚焦于 HMGB-1/RAGE/NF-κB 通路、Klotho 和 miR-499a 的体内骨关节炎研究。

Enhancing collagen based nanoemulgel for effective topical delivery of Aceclofenac and Citronellol oil: Formulation, optimization, in-vitro evaluation, and in-vivo osteoarthritis study with a focus on HMGB-1/RAGE/NF-κB pathway, Klotho, and miR-499a.

机构信息

Department of Pharmaceutics, College of Pharmaceutical Sciences and Drug Manufacturing, Misr University for Science and Technology, 6th of October City, 12566, Egypt.

Department of Pharmacology and Therapeutics, Faculty of Pharmacy, Pharos University, Alexandria, Egypt.

出版信息

Drug Deliv Transl Res. 2024 Nov;14(11):3250-3268. doi: 10.1007/s13346-024-01548-3. Epub 2024 Mar 19.

Abstract

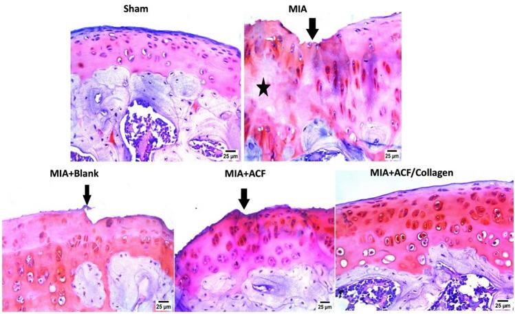
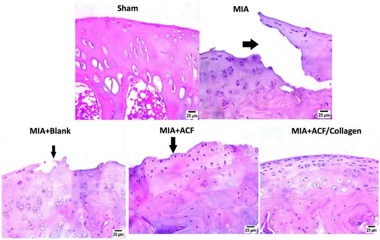
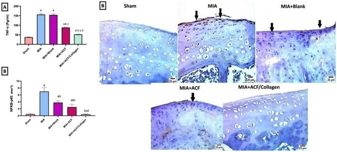
The majority of conventional osteoarthritis (OA) treatments are based on molecular adjustment of certain signaling pathways associated with osteoarthritis (OA) pathogenesis, however there is a significant need to search for more effective and safe treatments. This study centers around formulating Aceclofenac (ACF) with high bioavailability in combination with Citronellol oil and collagen. The optimal concentrations of Citronellol oil/D-Limonene oil, Tween 80, and Transcutol HP were determined using a pseudoternary phase diagram. The formulated nanoemulsions were studied for thermophysical stability. Thermodynamically stable formula were analyzed for droplet size, zeta potential, and in-vitro permeation. Then, collagen based nanoemulsion were prepared to capitalize on its efficacy in reducing osteoarthritis side effects and characterized for nano size properties. Formulae F10 and F10C were chosen as optimum nanosize formula. Hense, they were prepared and characterized as nanoemulgel dosage form. The nanoemulgel formulae F10NEG1 and F10CNEG1 showed reasonable viscosity and spreadability, with complete drug release after 4 h. These formulae were chosen for further In vivo anti-OA study. Collagen based ACF/citronellol emugel were able to modulate HMGB-1/RAGE/NF-κB pathway, mitigating the production of inflammatory cytokine TNF-α. They were also able to modulate Klotho and miR-499, reducing serum CTXII and COMP, by reducing the cartilage destruction. Histological investigations validated the efficacy, safety, and superiority of Aceclofenac in combination with Citronellol oil and collagen (F10CNEG1) over solo the treated group (F10NEG1 and blank). Hence, the findings of the current work encourage the use of this promising combined formula in treatment of OA patients.

摘要

大多数传统的骨关节炎 (OA) 治疗方法都是基于对与 OA 发病机制相关的某些信号通路的分子调节,然而,人们迫切需要寻找更有效和更安全的治疗方法。本研究围绕着将具有高生物利用度的 Aceclofenac (ACF) 与香茅醇油和胶原蛋白联合制成制剂展开。通过伪三元相图确定了香茅醇油/D-柠檬烯油、Tween 80 和 Transcutol HP 的最佳浓度。研究了所制备的纳米乳剂的热物理稳定性。对热力学稳定的配方进行了粒径、Zeta 电位和体外渗透分析。然后,制备了基于胶原蛋白的纳米乳剂,以利用其减轻骨关节炎副作用的功效,并对纳米尺寸特性进行了表征。选择配方 F10 和 F10C 作为最佳纳米尺寸配方。因此,它们被制备并表征为纳米乳凝胶剂型。纳米乳凝胶配方 F10NEG1 和 F10CNEG1 表现出合理的粘度和铺展性,4 小时后完全释放药物。这些配方被选择用于进一步的体内抗 OA 研究。基于胶原蛋白的 ACF/香茅醇乳凝胶能够调节 HMGB-1/RAGE/NF-κB 通路,减轻炎症细胞因子 TNF-α的产生。它们还能够调节 Klotho 和 miR-499,通过减少软骨破坏来降低血清 CTXII 和 COMP。组织学研究验证了 Aceclofenac 与香茅醇油和胶原蛋白(F10CNEG1)联合使用的疗效、安全性和优越性,优于单独使用 Aceclofenac(F10NEG1 和空白)。因此,目前工作的结果鼓励在 OA 患者的治疗中使用这种有前途的联合配方。

https://cdn.ncbi.nlm.nih.gov/pmc/blobs/d3d3/11445320/1a7f89853972/13346_2024_1548_Fig1_HTML.jpg

文献AI研究员

20分钟写一篇综述,助力文献阅读效率提升50倍。

立即体验

用中文搜PubMed

大模型驱动的PubMed中文搜索引擎

马上搜索

文档翻译

学术文献翻译模型,支持多种主流文档格式。

立即体验