Suppr超能文献

基于网络药理学结合动物实验的水蛭活性成分预防动脉粥样硬化的疗效及潜在机制

Efficacy and potential mechanism of atherosclerosis prevention by the active components of leech based on network pharmacology combined with animal experiments.

作者信息

Lv Qing, Li Mengyi, Wen Ziyun, Han Qianqian, Wei Liang, Chen Jisheng, Pan Yunyun

机构信息

Clinical Pharmacy Center, Nanfang Hospital, Southern Medical University, Guangzhou, 510515, China.

The First Affiliated Hospital of Guangdong Pharmaceutical University, Guangzhou, 510080, China.

出版信息

Heliyon. 2024 Mar 8;10(6):e27461. doi: 10.1016/j.heliyon.2024.e27461. eCollection 2024 Mar 30.

Abstract

INTRODUCTION

Leeches are flesh-eating and bloodsucking parasitic worms. They are being used as a traditional Chinese medicine for centuries in activating blood and dissolving statis, dreging the meridims and tick. Hirudin, an active peptide product present in leech, has blood anticoagulant property and can assist in the treatment of thrombosis and diseases related to blood circulation. The efficacy and potential mechanism of action of leeches in such diseases should be further explored.

MATERIALS AND METHODS

First, network pharmacology was used to screen the predicted potential targets of the active constituents of leech and AS. The common targets of the active constituents of leech and AS were obtained using Venn diagram. Further, the drug-active-constituent-target network diagram, protein-protein interaction, and GO and KEGG pathway enrichment analyses were used to construct the active-constituent-AS target-pathway network diagram. Subsequently, the protein-drug molecule docking model was drawn. Finally, the results of network pharmacology were validated using a mouse model of AS.

RESULTS

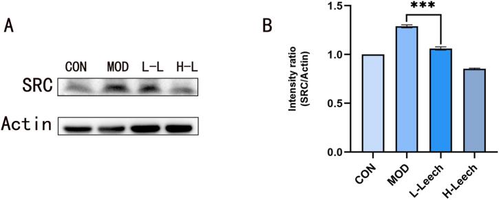
In total, 34 active constituents of leech and 1172 AS-related gene targets were selected, took the drug action targets and potential disease targets to get the common targets, and took the top 10 of degree value as the main active constituents for the treatment of atherosclerosis. There were 89 common targets and 12 core targets. The main targets included MAPK, EGFR, PIK3CB, etc. Potential regulatory pathways included cancer pathways, EGFR tyrosine kinase inhibitor resistance, Rap1 signaling pathway, PPAR signaling pathway, PI3K-Akt signaling pathway, C-type lectin receptor signaling pathway, and AGE-RAGE signaling pathway in diabetic complications. Animal experiments using mouse model of AS confirmed that AS plaques were smaller after treatment with leeches. SRC level was measured using western blotting. Expression of SRC in myocardial tissue was remarkably lower in the mice treated with leech than in the mice from model group fed on high-fat chow.

CONCLUSIONS

To the best of our knowledge, this is the first study to explore the mechanism of action of the active components of leech in AS prevention. The active components of leeches play a coordinated role in preventing AS through multicomponent, multitarget, and multichannel mechanism of action related to inflammatory response, oxidative stress, and lipid metabolism. This study provided a reference for subsequent cellular and animal experiments.

摘要

引言

水蛭是食肉吸血的寄生虫。几个世纪以来,水蛭一直被用作传统中药,具有活血化瘀、疏通经络等功效。水蛭体内存在的活性肽产物水蛭素具有抗凝血特性,可辅助治疗血栓形成及与血液循环相关的疾病。水蛭在这类疾病中的疗效及潜在作用机制有待进一步探索。

材料与方法

首先,运用网络药理学筛选水蛭及动脉粥样硬化(AS)活性成分的预测潜在靶点。通过韦恩图获取水蛭及AS活性成分的共同靶点。进一步,利用药物-活性成分-靶点网络图、蛋白质-蛋白质相互作用以及基因本体(GO)和京都基因与基因组百科全书(KEGG)通路富集分析构建活性成分-AS靶点-通路网络图。随后,绘制蛋白质-药物分子对接模型。最后,使用AS小鼠模型验证网络药理学结果。

结果

共筛选出34种水蛭活性成分和1172个与AS相关的基因靶点,以药物作用靶点和潜在疾病靶点获取共同靶点,并选取度值排名前10的作为治疗动脉粥样硬化的主要活性成分。共有89个共同靶点和12个核心靶点。主要靶点包括丝裂原活化蛋白激酶(MAPK)、表皮生长因子受体(EGFR)、磷脂酰肌醇-3激酶催化亚基β(PIK3CB)等。潜在调控通路包括癌症通路、EGFR酪氨酸激酶抑制剂耐药性、Rap1信号通路、过氧化物酶体增殖物激活受体(PPAR)信号通路、磷脂酰肌醇-3激酶-蛋白激酶B(PI3K-Akt)信号通路、C型凝集素受体信号通路以及糖尿病并发症中的晚期糖基化终末产物-晚期糖基化终末产物受体(AGE-RAGE)信号通路。使用AS小鼠模型进行的动物实验证实,水蛭治疗后AS斑块较小。通过蛋白质免疫印迹法检测Src水平。水蛭治疗组小鼠心肌组织中Src的表达明显低于高脂饮食喂养的模型组小鼠。

结论

据我们所知,这是首次探索水蛭活性成分在预防AS中作用机制的研究。水蛭活性成分通过与炎症反应、氧化应激和脂质代谢相关的多成分、多靶点、多途径作用机制,在预防AS中发挥协同作用。本研究为后续的细胞和动物实验提供了参考。

https://cdn.ncbi.nlm.nih.gov/pmc/blobs/a455/10955239/a3856035c8fb/ga1.jpg

文献AI研究员

20分钟写一篇综述,助力文献阅读效率提升50倍。

立即体验

用中文搜PubMed

大模型驱动的PubMed中文搜索引擎

马上搜索

文档翻译

学术文献翻译模型,支持多种主流文档格式。

立即体验