Suppr超能文献

髓系细胞表达的触发受体2介导M2型巨噬细胞参与肺结核感染。

Triggering Receptor Expressed on Myeloid Cells 2 Mediates the Involvement of M2-Type Macrophages in Pulmonary Tuberculosis Infection.

作者信息

Shang Xiaoqian, Maimaiti Naifeisha, Fan Jiahui, Wang Liang, Wang Yuanyuan, Sun Hu, Lv Jie, Zhang Xiufeng, Wang Jing, Ma Xiumin

机构信息

State Key Laboratory of Pathogenesis, Prevention and Treatment of High Incidence Diseases in Central Asia, Clinical Laboratory Center, Tumor Hospital Affiliated to Xinjiang Medical University, Urumqi, Xinjiang, 830011, People's Republic of China.

The Fifth Affiliated Hospital of Xinjiang Medical University, Urumqi, Xinjiang, 830011, People's Republic of China.

出版信息

J Inflamm Res. 2024 Mar 27;17:1919-1928. doi: 10.2147/JIR.S435216. eCollection 2024.

Abstract

BACKGROUND

Macrophage play a significant work in the development of tuberculosis. This study aims to investigate the relationship between TREM2 and macrophage polarization, as well as the related cytokines.

METHODS

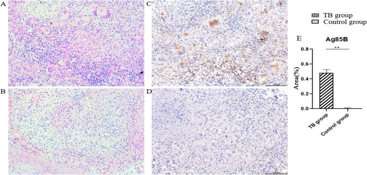
This study involved 43 pulmonary tuberculosis patients and 37 healthy controls. Enzyme-linked immunosorbent assay (ELISA) was used to detect the expression levels of M1/M2 macrophage-related cytokines IL-10 and IL-12 in the peripheral blood of pulmonary tuberculosis patients. The relative mRNA expression levels of TREM2, IL-10 and IL-12 were detected using quantitative real-time PCR (qRT-PCR). Additionally, Spearman rank correlation analysis was used to preliminarily assess the correlation between TREM2 and M1 / M2 macrophages. Hematoxylin-eosin (HE) staining was performed to observe the pathological manifestations of pulmonary tuberculosis lesions. Immunohistochemical (IHC) staining was used to observe the localization of the macrophage-specific molecule CD68, the M1 specific molecule iNOS, the M2 specific molecule CD163, and TREM2.

RESULTS

The lesions of pulmonary tuberculosis patients showed Langhans multinucleated macrophages and tuberculous granulomas. The ELISA results indicated that the expression levels of IL-10 and IL-12 were significantly increased in peripheral blood of pulmonary tuberculosis patients. Additionally, the relative mRNA expression levels of TREM2, IL-10 and IL-12 were also significantly higher in the pulmonary tuberculosis group. Furthermore, a positive correlation was observed between TREM2 and IL-10, which are secreted by M2 macrophages. IHC revealed significant positivity of TREM2 and macrophage-related markers in tuberculous granuloma. Specifically, TREM2 and M2 macrophage marker CD163 were significantly expressed in the cytoplasm and membrane of Langhans multinucleated macrophages.

CONCLUSION

The role of macrophage polarization in pulmonary tuberculosis is significant, and further investigation is needed to understand relationship between TREM2 and M2 macrophages.

摘要

背景

巨噬细胞在结核病的发展中起重要作用。本研究旨在探讨触发受体表达分子2(TREM2)与巨噬细胞极化以及相关细胞因子之间的关系。

方法

本研究纳入43例肺结核患者和37名健康对照者。采用酶联免疫吸附测定(ELISA)法检测肺结核患者外周血中M1/M2巨噬细胞相关细胞因子白细胞介素10(IL-10)和白细胞介素12(IL-12)的表达水平。采用定量实时聚合酶链反应(qRT-PCR)检测TREM2、IL-10和IL-12的相对mRNA表达水平。此外,采用Spearman等级相关分析初步评估TREM2与M1/M2巨噬细胞之间的相关性。采用苏木精-伊红(HE)染色观察肺结核病变的病理表现。采用免疫组织化学(IHC)染色观察巨噬细胞特异性分子CD68、M1特异性分子诱导型一氧化氮合酶(iNOS)、M2特异性分子CD163和TREM2的定位。

结果

肺结核患者的病变表现为朗汉斯多核巨噬细胞和结核肉芽肿。ELISA结果表明,肺结核患者外周血中IL-10和IL-12的表达水平显著升高。此外,肺结核组中TREM2、IL-10和IL-12的相对mRNA表达水平也显著更高。此外,观察到TREM2与M2巨噬细胞分泌的IL-10之间呈正相关。IHC显示结核肉芽肿中TREM2和巨噬细胞相关标志物呈显著阳性。具体而言,TREM2和M2巨噬细胞标志物CD163在朗汉斯多核巨噬细胞的细胞质和细胞膜中显著表达。

结论

巨噬细胞极化在肺结核中起重要作用,需要进一步研究以了解TREM2与M2巨噬细胞之间的关系。

https://cdn.ncbi.nlm.nih.gov/pmc/blobs/e4f3/10982454/3f65f1b88cc5/JIR-17-1919-g0001.jpg

文献AI研究员

20分钟写一篇综述,助力文献阅读效率提升50倍。

立即体验

用中文搜PubMed

大模型驱动的PubMed中文搜索引擎

马上搜索

文档翻译

学术文献翻译模型,支持多种主流文档格式。

立即体验