Suppr超能文献

转移性TFE3(小眼畸形转录因子)易位性肾细胞癌的治疗:一例报告

Treatment of metastatic TFE3 microphthalmia transcription factor translocation renal cell carcinoma: a case report.

作者信息

Zhang Yunlong, Li Changchun, Deng Xiaobin, Urabe Fumihiko, Burotto Mauricio, Buti Sebastiano, Giudice Giulia Claire, Zhao Zhenzhen, Yang Chao, Sun Jian, Du Yifei, Wang Shan

机构信息

Department of Pediatric Surgical Oncology, Children's Hospital of Chongqing Medical University, The National Clinical Research Center for Child Health and Disorders, Ministry of Education Key Laboratory of Child Development and Disorders, Chongqing Key Laboratory of Pediatrics, Chongqing, China.

Department of Urology, The Jikei University School of Medicine, Tokyo, Japan.

出版信息

Transl Pediatr. 2024 Mar 27;13(3):499-507. doi: 10.21037/tp-24-35. Epub 2024 Mar 22.

Abstract

BACKGROUND

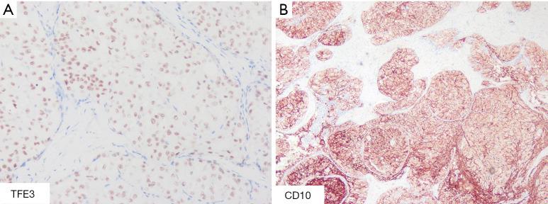
Microphthalmia-associated transcription factor/transcription factor E (MiTF/TFE) translocation renal cell carcinoma (RCC) is a rare type of non-clear cell RCC (nccRCC), which is more common in females. Currently, there is no standardized treatment for advanced metastatic microphthalmia translocation RCC (MiT-RCC). The main treatment modalities include surgery, chemotherapy, immunotherapy, anti-vascular endothelial growth factor or vascular endothelial growth factor receptor (VEGFR) inhibitors, mammalian target of rapamycin (mTOR) inhibitors, and targeted therapy against the mesenchymal-epithelial transition (MET) factor signaling pathway.

CASE DESCRIPTION

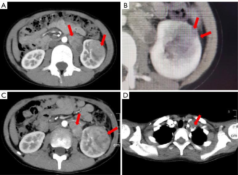
We present the case of an 8-year-old male patient with hematuria and paroxysmal urinary pain. Based on tumor genetic testing results and targeted drug matching analysis, the patient underwent tumor biopsy, tumor radical surgery with vascular osteotomy, and cervicothoracic lymph node dissection. The patient was then treated with a combination of immunotherapy [sintilimab, a drug directed against programmed cell death receptor-1 (PD-1)] and VEGFR tyrosine kinase inhibitor (TKI) (from pazopanib to sunitinib). Throughout the 10 cycles of conventional chemotherapy (seven courses of sintilimab since the start of the third chemotherapy treatment), the patient's condition remained stable, with no tumor recurrence at the primary site. However, in the later stages, the patient developed a large amount of ascites, and the family requested discontinuation of treatment, ultimately leading to the patient's death.

CONCLUSIONS

In this case report, we summarize the therapeutic strategy of a young patient with metastatic transcription factor E3 () MiT-RCC. For this disease, early immunotherapy and the use of precision-targeted drugs may have a favorable impact on the survival prognosis of the patient but may still be of less benefit in children with advanced multiple metastases. Therefore, further research on tumor driver genes, among other treatment components, is urgently needed to improve precision therapy.

摘要

背景

小眼畸形相关转录因子/转录因子E(MiTF/TFE)易位性肾细胞癌(RCC)是一种罕见的非透明细胞肾细胞癌(nccRCC),在女性中更为常见。目前,晚期转移性小眼畸形易位性肾细胞癌(MiT-RCC)尚无标准化治疗方案。主要治疗方式包括手术、化疗、免疫治疗、抗血管内皮生长因子或血管内皮生长因子受体(VEGFR)抑制剂、哺乳动物雷帕霉素靶蛋白(mTOR)抑制剂以及针对间充质-上皮转化(MET)因子信号通路的靶向治疗。

病例描述

我们报告一例8岁男性血尿及阵发性尿痛患者。根据肿瘤基因检测结果和靶向药物匹配分析,患者接受了肿瘤活检、带血管骨切开的肿瘤根治性手术及颈胸淋巴结清扫。随后患者接受了免疫治疗[信迪利单抗,一种针对程序性细胞死亡受体-1(PD-1)的药物]和VEGFR酪氨酸激酶抑制剂(TKI)(从帕唑帕尼换为舒尼替尼)联合治疗。在整个10周期的传统化疗过程中(自第三次化疗开始共七个疗程的信迪利单抗),患者病情保持稳定,原发部位无肿瘤复发。然而,在后期,患者出现大量腹水,家属要求停止治疗,最终导致患者死亡。

结论

在本病例报告中,我们总结了一名转移性转录因子E3()MiT-RCC年轻患者的治疗策略。对于这种疾病,早期免疫治疗和使用精准靶向药物可能对患者的生存预后产生有利影响,但对于晚期多发转移的儿童患者可能仍益处不大。因此,迫切需要对肿瘤驱动基因等其他治疗要素进行进一步研究,以改善精准治疗。

https://cdn.ncbi.nlm.nih.gov/pmc/blobs/3e3d/10998990/e1e35d3bc458/tp-13-03-499-f1.jpg

文献AI研究员

20分钟写一篇综述,助力文献阅读效率提升50倍。

立即体验

用中文搜PubMed

大模型驱动的PubMed中文搜索引擎

马上搜索

文档翻译

学术文献翻译模型,支持多种主流文档格式。

立即体验