Suppr超能文献

ANKFY1介导自噬小体膜泡2A(ATG2A)介导的脂质从内体向内质网的转运。

ANKFY1 bridges ATG2A-mediated lipid transfer from endosomes to phagophores.

作者信息

Wei Bin, Fu Yuhui, Li Xiuzhi, Chen Fang, Zhang Yiqing, Chen Hanmo, Tong Mindan, Li Linsen, Pan Yi, Zhang Shen, Chen She, Liu Xiaoxia, Zhong Qing

机构信息

Key Laboratory of Cell Differentiation and Apoptosis of Chinese Ministry of Education, Department of Pathophysiology, Shanghai Jiao Tong University School of Medicine, Shanghai, China.

National Institute of Biological Sciences, Beijing, China.

出版信息

Cell Discov. 2024 Apr 16;10(1):43. doi: 10.1038/s41421-024-00659-y.

Abstract

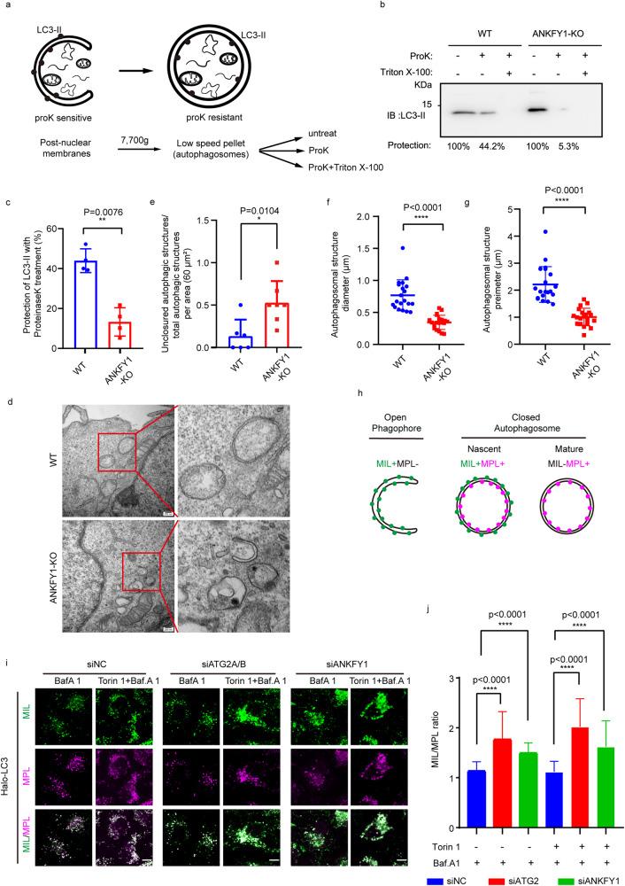
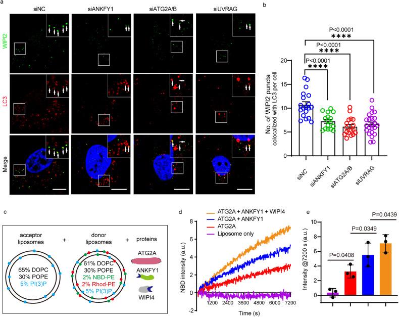
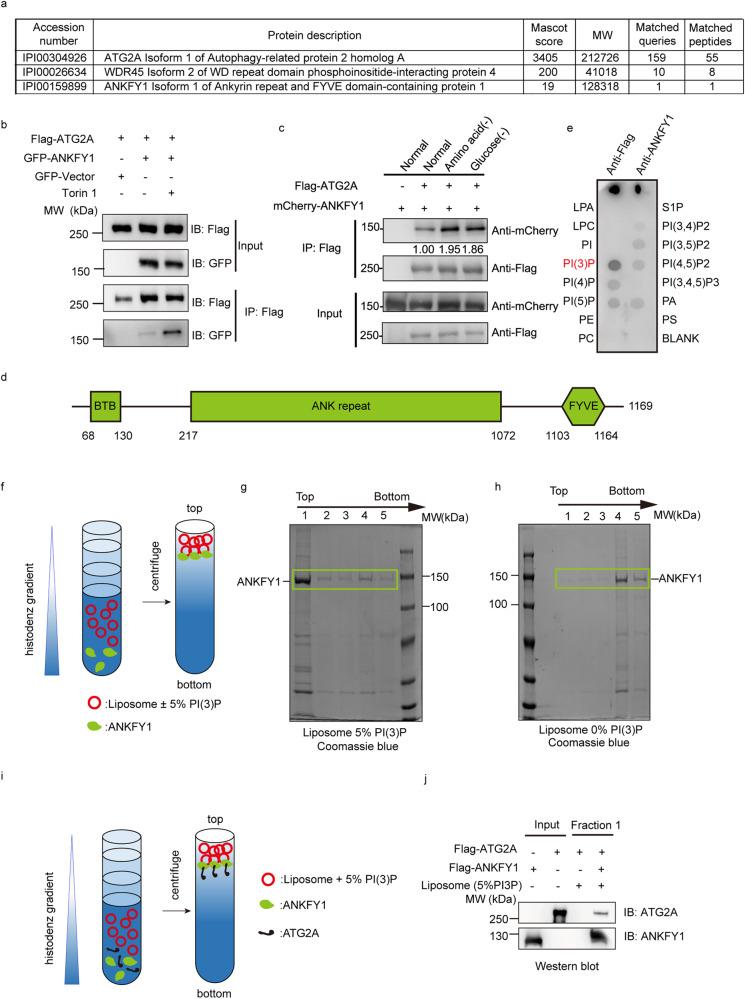
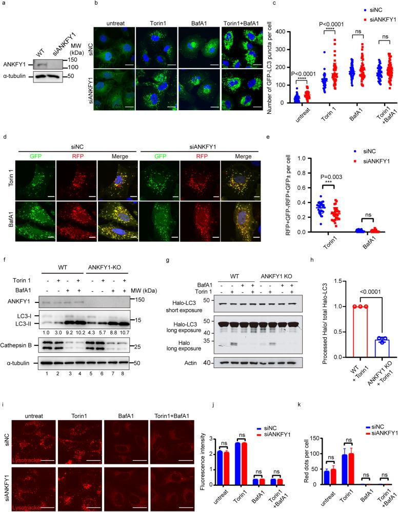
Macroautophagy is a process that cells engulf cytosolic materials by autophagosomes and deliver them to lysosomes for degradation. The biogenesis of autophagosomes requires ATG2 as a lipid transfer protein to transport lipids from existing membranes to phagophores. It is generally believed that endoplasmic reticulum is the main source for lipid supply of the forming autophagosomes; whether ATG2 can transfer lipids from other organelles to phagophores remains elusive. In this study, we identified a new ATG2A-binding protein, ANKFY1. Depletion of this endosome-localized protein led to the impaired autophagosome growth and the reduced autophagy flux, which largely phenocopied ATG2A/B depletion. A pool of ANKFY1 co-localized with ATG2A between endosomes and phagophores and depletion of UVRAG, ANKFY1 or ATG2A/B led to reduction of PI3P distribution on phagophores. Purified recombinant ANKFY1 bound to PI3P on membrane through its FYVE domain and enhanced ATG2A-mediated lipid transfer between PI3P-containing liposomes. Therefore, we propose that ANKFY1 recruits ATG2A to PI3P-enriched endosomes and promotes ATG2A-mediated lipid transfer from endosomes to phagophores. This finding implicates a new lipid source for ATG2A-mediated phagophore expansion, where endosomes donate PI3P and other lipids to phagophores via lipid transfer.

摘要

巨自噬是一个细胞通过自噬体吞噬胞质物质并将其输送到溶酶体进行降解的过程。自噬体的生物发生需要ATG2作为脂质转运蛋白,将脂质从现有膜转运到吞噬泡。一般认为内质网是形成自噬体的脂质供应的主要来源;ATG2是否能从其他细胞器向吞噬泡转运脂质仍不清楚。在本研究中,我们鉴定了一种新的ATG2A结合蛋白ANKFY1。这种定位于内体的蛋白的缺失导致自噬体生长受损和自噬通量降低,这在很大程度上复制了ATG2A/B缺失的表型。ANKFY1的一部分在内体和吞噬泡之间与ATG2A共定位,UVRAG、ANKFY1或ATG2A/B的缺失导致吞噬泡上PI3P分布减少。纯化的重组ANKFY1通过其FYVE结构域与膜上的PI3P结合,并增强了ATG2A介导的含PI3P脂质体之间的脂质转移。因此,我们提出ANKFY1将ATG2A招募到富含PI3P的内体,并促进ATG2A介导的脂质从内体向吞噬泡的转移。这一发现揭示了ATG2A介导的吞噬泡扩张的一种新的脂质来源,即内体通过脂质转移将PI3P和其他脂质捐赠给吞噬泡。

https://cdn.ncbi.nlm.nih.gov/pmc/blobs/9e98/11018839/d184fc142a66/41421_2024_659_Fig1_HTML.jpg

文献AI研究员

20分钟写一篇综述,助力文献阅读效率提升50倍。

立即体验

用中文搜PubMed

大模型驱动的PubMed中文搜索引擎

马上搜索

文档翻译

学术文献翻译模型,支持多种主流文档格式。

立即体验