Suppr超能文献

高糖诱导的 p66Shc 线粒体易位调节合胞滋养层和细胞滋养层外突中自噬的起始和自噬体的形成。

High glucose-induced p66Shc mitochondrial translocation regulates autophagy initiation and autophagosome formation in syncytiotrophoblast and extravillous trophoblast.

机构信息

Department of Histology and Embryology, TaiKang Medical School (School of Basic Medical Sciences), Wuhan University, Hubei Province, Wuhan, 430071, China.

Department of Ultrasound in Gynecology and Obstetrics, Zhongnan Hospital of Wuhan University, Hubei Province, Wuhan, 430071, China.

出版信息

Cell Commun Signal. 2024 Apr 20;22(1):234. doi: 10.1186/s12964-024-01621-x.

Abstract

BACKGROUND

p66Shc, as a redox enzyme, regulates reactive oxygen species (ROS) production in mitochondria and autophagy. However, the mechanisms by which p66Shc affects autophagosome formation are not fully understood.

METHODS

p66Shc expression and its location in the trophoblast cells were detected in vivo and in vitro. Small hairpin RNAs or CRISPR/Cas9, RNA sequencing, and confocal laser scanning microscope were used to clarify p66Shc's role in regulating autophagic flux and STING activation. In addition, p66Shc affects mitochondrial-associated endoplasmic reticulum membranes (MAMs) formation were observed by transmission electron microscopy (TEM). Mitochondrial function was evaluated by detected cytoplastic mitochondrial DNA (mtDNA) and mitochondrial membrane potential (MMP).

RESULTS

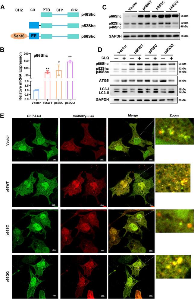
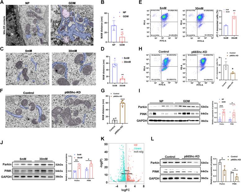
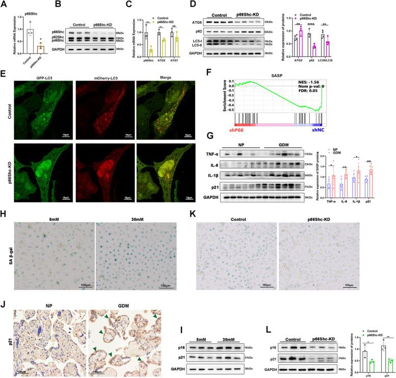
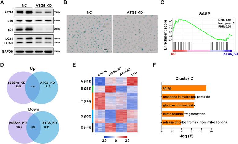
High glucose induces the expression and mitochondrial translocation of p66Shc, which promotes MAMs formation and stimulates PINK1-PRKN-mediated mitophagy. Moreover, mitochondrial localized p66Shc reduces MMP and triggers cytosolic mtDNA release, thus activates cGAS/STING signaling and ultimately leads to enhanced autophagy and cellular senescence. Specially, we found p66Shc is required for the interaction between STING and LC3II, as well as between STING and ATG5, thereby regulates cGAS/STING-mediated autophagy. We also identified hundreds of genes associated several biological processes including aging are co-regulated by p66Shc and ATG5, deletion either of which results in diminished cellular senescence.

CONCLUSION

p66Shc is not only implicated in the initiation of autophagy by promoting MAMs formation, but also helps stabilizing active autophagic flux by activating cGAS/STING pathway in trophoblast.

摘要

背景

p66Shc 作为一种氧化还原酶,调节线粒体和自噬中的活性氧(ROS)的产生。然而,p66Shc 影响自噬体形成的机制尚不完全清楚。

方法

在体内和体外检测 p66Shc 在滋养细胞中的表达及其位置。采用小发夹 RNA 或 CRISPR/Cas9、RNA 测序和共聚焦激光扫描显微镜来阐明 p66Shc 在调节自噬流和 STING 激活中的作用。此外,通过透射电子显微镜(TEM)观察 p66Shc 对线粒体相关内质网膜(MAMs)形成的影响。通过检测细胞质线粒体 DNA(mtDNA)和线粒体膜电位(MMP)来评估线粒体功能。

结果

高葡萄糖诱导 p66Shc 的表达和线粒体易位,促进 MAMs 的形成,并刺激 PINK1-PRKN 介导的线粒体自噬。此外,线粒体定位的 p66Shc 降低 MMP 并触发细胞质 mtDNA 释放,从而激活 cGAS/STING 信号通路,最终导致自噬和细胞衰老增强。特别地,我们发现 p66Shc 是 STING 和 LC3II 之间以及 STING 和 ATG5 之间相互作用所必需的,从而调节 cGAS/STING 介导的自噬。我们还鉴定了数百个与衰老等几个生物学过程相关的基因,这些基因受到 p66Shc 和 ATG5 的共同调控,删除其中任何一个都会导致细胞衰老减少。

结论

p66Shc 不仅通过促进 MAMs 的形成来启动自噬,而且通过激活 cGAS/STING 通路在滋养细胞中稳定活性自噬流。

https://cdn.ncbi.nlm.nih.gov/pmc/blobs/921c/11031965/f8c256a27d0f/12964_2024_1621_Fig1_HTML.jpg

文献AI研究员

20分钟写一篇综述,助力文献阅读效率提升50倍。

立即体验

用中文搜PubMed

大模型驱动的PubMed中文搜索引擎

马上搜索

文档翻译

学术文献翻译模型,支持多种主流文档格式。

立即体验