Suppr超能文献

Crtc1缺陷通过激活Akt信号通路对脓毒症相关急性肺损伤起到保护作用。

Crtc1 deficiency protects against sepsis-associated acute lung injury through activating akt signaling pathway.

作者信息

Chen Meng, Lv Jian, Guo Ningning, Ji Tuo, Fang Yu, Wang Zhihua, He Xianghu

机构信息

Department of Anesthesiology, Zhongnan Hospital of Wuhan University, 430071, Wuhan, Hubei, China.

Department of Anesthesiology, Maternal and Child Health Hospital of Hubei Province, 745 Wuluo Road, 430070, Wuhan, Hubei, China.

出版信息

J Inflamm (Lond). 2024 Apr 22;21(1):12. doi: 10.1186/s12950-024-00385-y.

Abstract

BACKGROUND

Interplay between systemic inflammation and programmed cell death contributes to the pathogenesis of acute lung injury (ALI). cAMP-regulated transcriptional coactivator 1 (CRTC1) has been involved in the normal function of the pulmonary system, but its role in ALI remains unclear.

METHODS AND RESULTS

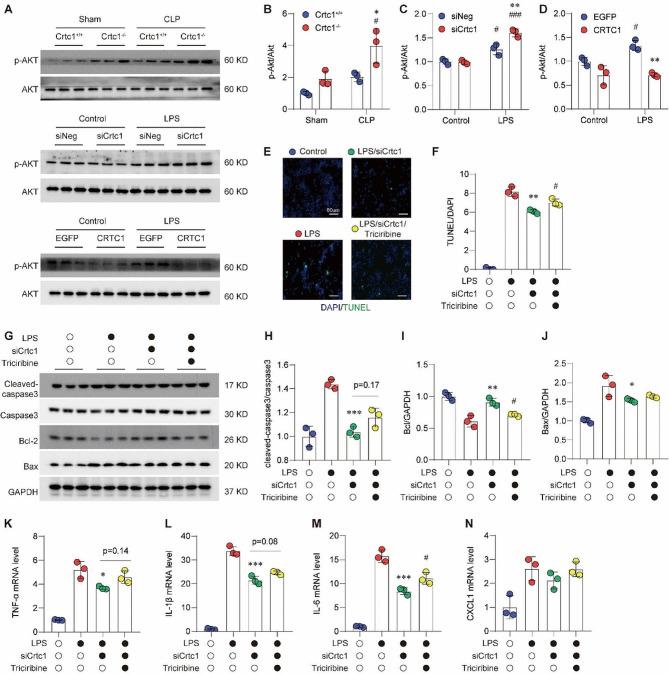
We generated a Crtc1 knockout (KO; Crtc1) mouse line. Sepsis-induced ALI was established by cecal ligation and puncture (CLP) for 24 h. The data showed that Ctrc1 KO substantially ameliorated CLP-induced ALI phenotypes, including improved lung structure destruction, reduced pulmonary vascular permeability, diminished levels of proinflammatory cytokines and chemokines, compared with the wildtype mice. Consistently, in lipopolysaccharide (LPS)-treated RAW264.7 cells, Crtc1 knockdown significantly inhibited the expression of inflammatory effectors, including TNF-α, IL-1β, IL-6 and CXCL1, whereas their expressions were significantly enhanced by Crtc1 overexpression. Moreover, both Crtc1 KO in mice and its knockdown in RAW264.7 cells dramatically reduced TUNEL-positive cells and the expression of pro-apoptotic proteins. In contrast, Crtc1 overexpression led to an increase in the pro-apoptotic proteins and LPS-induced TUNEL-positive cells. Mechanically, we found that the phosphorylation of Akt was significantly enhanced by Crtc1 knockout or knockdown, but suppressed by Crtc1 overexpression. Administration of Triciribine, an Akt inhibitor, substantially blocked the protection of Crtc1 knockdown on LPS-induced inflammation and cell death in RAW264.7 cells.

CONCLUSIONS

Our study demonstrates that CRTC1 contribute to the pathological processes of inflammation and apoptosis in sepsis-induced ALI, and provides mechanistic insights into the molecular function of CRTC1 in the lung. Targeting CRTC1 would be a promising strategy to treat sepsis-induced ALI in clinic.

摘要

背景

全身炎症与程序性细胞死亡之间的相互作用促成了急性肺损伤(ALI)的发病机制。环磷酸腺苷(cAMP)调节的转录共激活因子1(CRTC1)参与了肺系统的正常功能,但其在ALI中的作用仍不清楚。

方法与结果

我们构建了Crtc1基因敲除(KO;Crtc1)小鼠品系。通过盲肠结扎和穿刺(CLP)24小时建立脓毒症诱导的ALI模型。数据显示,与野生型小鼠相比,Ctrc1基因敲除显著改善了CLP诱导的ALI表型,包括改善肺结构破坏、降低肺血管通透性、减少促炎细胞因子和趋化因子水平。同样,在脂多糖(LPS)处理的RAW264.7细胞中,Crtc1基因敲低显著抑制了包括肿瘤坏死因子-α(TNF-α)、白细胞介素-1β(IL-1β)、白细胞介素-6(IL-6)和CXC趋化因子配体1(CXCL1)在内的炎症效应分子的表达,而Crtc1过表达则显著增强了它们的表达。此外,小鼠中的Crtc1基因敲除及其在RAW264.7细胞中的敲低均显著减少了TUNEL阳性细胞和促凋亡蛋白的表达。相反,Crtc1过表达导致促凋亡蛋白增加和LPS诱导的TUNEL阳性细胞增加。机制上,我们发现Crtc1基因敲除或敲低可显著增强Akt的磷酸化,但Crtc1过表达则抑制其磷酸化。给予Akt抑制剂三环己基锡,可显著阻断Crtc1基因敲低对RAW264.7细胞中LPS诱导的炎症和细胞死亡的保护作用。

结论

我们的研究表明,CRTC1参与了脓毒症诱导的ALI中炎症和凋亡的病理过程,并为CRTC1在肺中的分子功能提供了机制性见解。靶向CRTC1可能是临床上治疗脓毒症诱导的ALI的一种有前景策略。

https://cdn.ncbi.nlm.nih.gov/pmc/blobs/59d9/11034098/668c65f868df/12950_2024_385_Fig1_HTML.jpg

文献AI研究员

20分钟写一篇综述,助力文献阅读效率提升50倍。

立即体验

用中文搜PubMed

大模型驱动的PubMed中文搜索引擎

马上搜索

文档翻译

学术文献翻译模型,支持多种主流文档格式。

立即体验