Suppr超能文献

近红外光免疫治疗靶向 PD-L1:通过预处理肿瘤微环境提高疗效。

Near-infrared photoimmunotherapy targeting PD-L1: Improved efficacy by preconditioning the tumor microenvironment.

机构信息

Molecular Imaging Branch, Center for Cancer Research, National Cancer Institute, National Institutes of Health, Bethesda, Maryland, USA.

出版信息

Cancer Sci. 2024 Jul;115(7):2396-2409. doi: 10.1111/cas.16195. Epub 2024 Apr 26.

Abstract

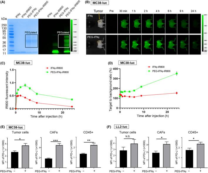
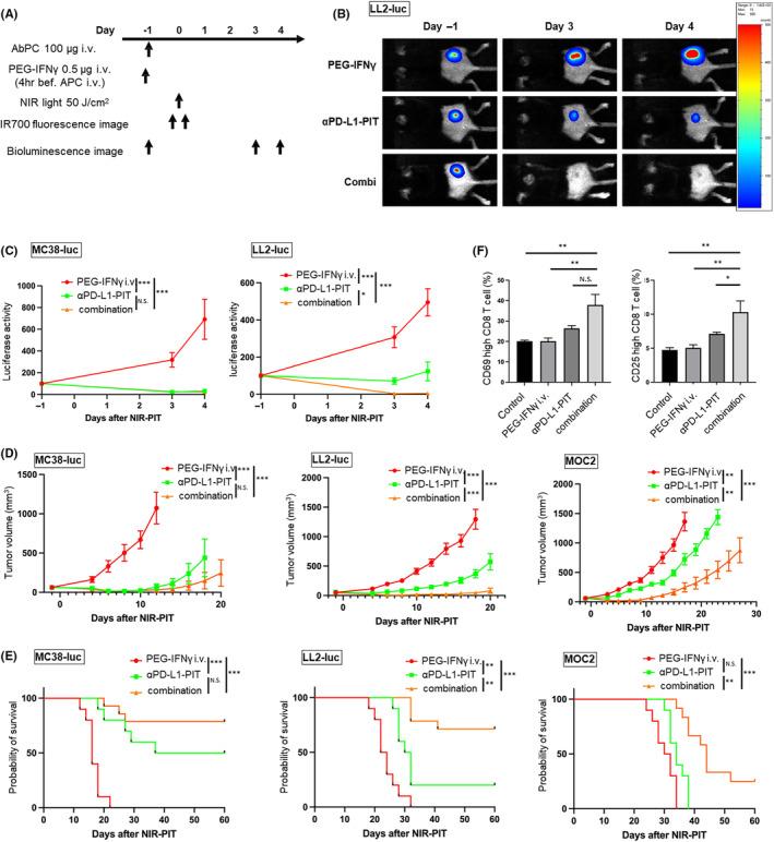
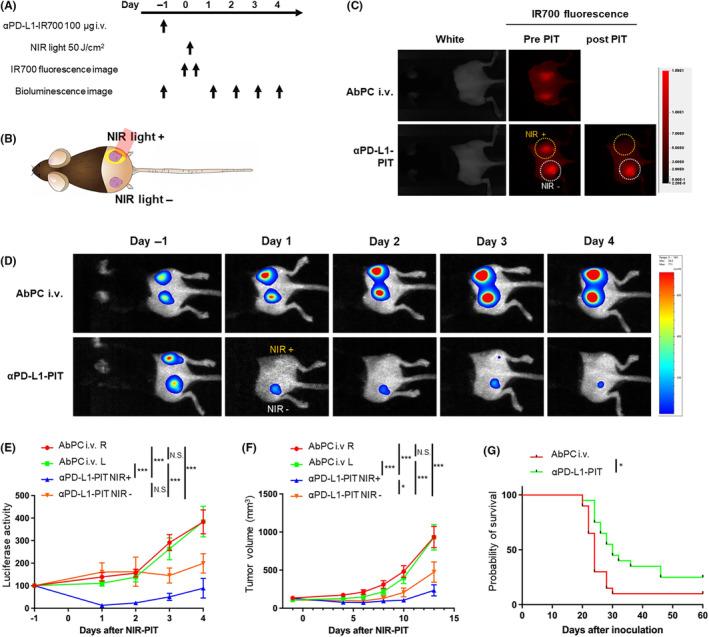
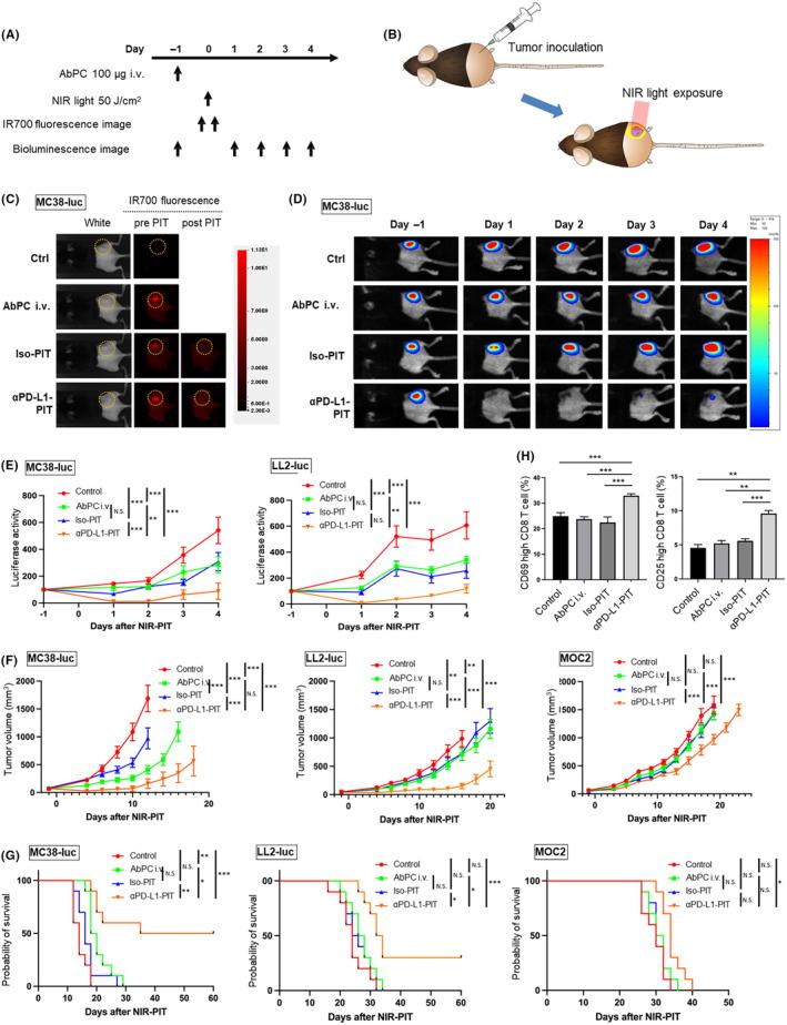
Near-infrared photoimmunotherapy (NIR-PIT) is a new type of cancer therapy that employs antibody-IRDye700DX conjugates (AbPCs) and near-infrared (NIR) light at a wavelength of 689 nm, the excitation wavelength of IR700. Administered intravenously, injected AbPCs bind specifically to cells expressing the target antigen, whereupon NIR light exposure causes rapid, selective killing. This process induces an anticancer T cell response, leading to sustained anticancer host immune response. Programmed cell death ligand-1 (PD-L1) is a major inhibitory immune checkpoint molecule expressed in various cancers. In this study, we first assessed the efficacy of PD-L1-targeted NIR-PIT (αPD-L1-PIT) in immune-competent tumor mouse models. αPD-L1-PIT showed a significant therapeutic effect on the tumor models with high PD-L1 expression. Furthermore, αPD-L1-PIT induced an abscopal effect on distant tumors and long-term immunological memory. In contrast, αPD-L1-PIT was not as effective for tumor models with low PD-L1 expression. To improve the efficacy of PD-L1-targeted NIR-PIT, PEGylated interferon-gamma (IFNγ) was administered with αPD-L1-PIT. The combination therapy improved the treatment efficacy by increasing PD-L1 expression leading to more efficient cell killing by αPD-L1-PIT. Furthermore, the PEGylated IFNγ led to a CD8+ T cell-dominant tumor microenvironment (TME) with an enhanced anticancer T cell response after αPD-L1-PIT. As a result, even so-called cold tumors exhibited complete responses after αPD-L1-PIT. Thus, combination therapy of PEGylated IFNγ and PD-L1-targeted NIR-PIT has the potential to be an important future strategy for cancer immunotherapy.

摘要

近红外光免疫治疗(NIR-PIT)是一种新型的癌症治疗方法,它采用抗体-IRDye700DX 缀合物(AbPCs)和近红外(NIR)光,波长为 689nm,这是 IR700 的激发波长。静脉注射后,注射的 AbPCs 特异性结合表达靶抗原的细胞,然后暴露于近红外光会导致快速、选择性杀伤。这个过程会诱导抗癌 T 细胞反应,从而引发持续的抗癌宿主免疫反应。程序性细胞死亡配体-1(PD-L1)是一种在各种癌症中表达的主要抑制性免疫检查点分子。在这项研究中,我们首先评估了 PD-L1 靶向 NIR-PIT(αPD-L1-PIT)在免疫功能正常的肿瘤小鼠模型中的疗效。αPD-L1-PIT 对高 PD-L1 表达的肿瘤模型具有显著的治疗效果。此外,αPD-L1-PIT 对远处肿瘤产生了远隔效应,并产生了长期的免疫记忆。相比之下,αPD-L1-PIT 对 PD-L1 表达较低的肿瘤模型效果不佳。为了提高 PD-L1 靶向 NIR-PIT 的疗效,我们联合使用了聚乙二醇化干扰素-γ(IFNγ)和αPD-L1-PIT。联合治疗通过增加 PD-L1 表达来提高治疗效果,从而使αPD-L1-PIT 更有效地杀死细胞。此外,聚乙二醇化 IFNγ 导致 CD8+T 细胞占主导地位的肿瘤微环境(TME),在接受αPD-L1-PIT 后增强了抗癌 T 细胞反应。因此,即使是所谓的“冷肿瘤”在接受αPD-L1-PIT 后也能完全反应。因此,聚乙二醇化 IFNγ 和 PD-L1 靶向 NIR-PIT 的联合治疗有可能成为癌症免疫治疗的一种重要的未来策略。

https://cdn.ncbi.nlm.nih.gov/pmc/blobs/df02/11247602/62691978b8f2/CAS-115-2396-g006.jpg

文献AI研究员

20分钟写一篇综述,助力文献阅读效率提升50倍。

立即体验

用中文搜PubMed

大模型驱动的PubMed中文搜索引擎

马上搜索

文档翻译

学术文献翻译模型,支持多种主流文档格式。

立即体验