Suppr超能文献

意大利间皮瘤诊断中BAP1缺失、核分级及非上皮样特征:若无病理报告,绝不再如此。

BAP1 Loss, Nuclear Grading, and Nonepithelioid Features in the Diagnosis of Mesothelioma in Italy: Nevermore without the Pathology Report.

作者信息

Rossi Giulio, Righi Luisella, Barbisan Francesca, Tiseo Marcello, Spagnolo Paolo, Grosso Federica, Pisapia Pasquale, Malapelle Umberto, Sculco Marika, Dianzani Irma, Abate-Daga Laura, Davolio Maria Cristina, Ceresoli Giovanni Luca, Galetta Domenico, Pasello Giulia, Novello Silvia, Bironzo Paolo

机构信息

Pathology Unit, Services Area, Fondazione Poliambulanza Hospital Institute, Via Bissolati 57, 25124 Brescia, Italy.

Fondazione FONICAP, Via Locchi, 26, 37124 Verona, Italy.

出版信息

J Pers Med. 2024 Apr 8;14(4):394. doi: 10.3390/jpm14040394.

Abstract

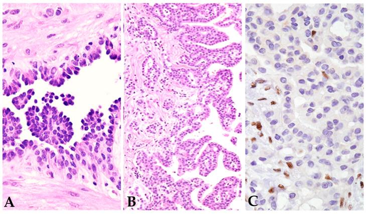
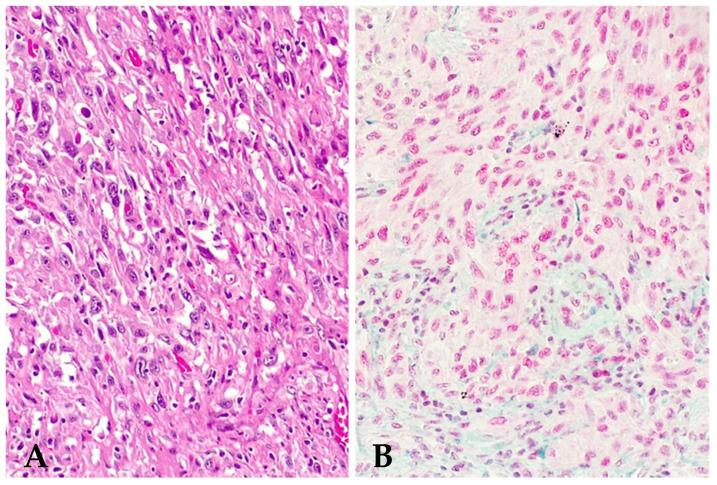
The pathologic diagnosis of pleural mesothelioma is generally based on international guidelines, but no compulsory points based on different drugs approvals in different European countries are required to be reported. According to the last (2021) edition of the World Health Organization classification of pleural tumors, the nuclear grade of epithelioid-type mesothelioma should be always inserted in the pathologic report, while the presence of BRCA-associated protein-1 (BAP1) (clone C4) loss and a statement on the presence of the sarcomatoid/nonepithelioid component are fundamental for both a screening of patients with suspected tumor predisposition syndrome and the eligibility to perform first-line immunotherapy at least in some countries. Several Italian experts on pleural mesothelioma who are deeply involved in national scientific societies or dedicated working groups supported by patient associations agreed that the pathology report of mesothelioma of the pleura should always include the nuclear grade in the epithelioid histology, which is an overt statement on the presence of sarcomatoid components (at least 1%, in agreement with the last classification of pleural mesothelioma) and the presence of BAP1 loss (BAP1-deficient mesothelioma) or not (BAP1-retained mesothelioma) in order to screen patients possibly harboring tumor predisposition syndrome. This review aims to summarize the most recent data on these three important elements to provide evidence regarding the possible precision needs for mesothelioma.

摘要

胸膜间皮瘤的病理诊断通常基于国际指南,但无需报告不同欧洲国家不同药物批准的强制性要点。根据世界卫生组织胸膜肿瘤分类的最新(2021年)版本,病理报告中应始终注明上皮样型间皮瘤的核分级,而BRCA相关蛋白-1(BAP1)(克隆C4)缺失的情况以及关于肉瘤样/非上皮样成分存在的说明,对于筛查疑似肿瘤易感性综合征的患者以及至少在某些国家进行一线免疫治疗的资格而言至关重要。一些深度参与国家科学协会或患者协会支持的专门工作组的意大利胸膜间皮瘤专家一致认为,胸膜间皮瘤的病理报告应始终包括上皮样组织学中的核分级,这是关于肉瘤样成分存在(至少1%,与胸膜间皮瘤的最新分类一致)以及BAP1缺失(BAP1缺陷型间皮瘤)或不存在(BAP1保留型间皮瘤)的明确说明,以便筛查可能患有肿瘤易感性综合征的患者。本综述旨在总结关于这三个重要要素的最新数据,以提供有关间皮瘤可能的精确需求的证据。

https://cdn.ncbi.nlm.nih.gov/pmc/blobs/f96e/11051266/6f423e2306a9/jpm-14-00394-g001.jpg

文献AI研究员

20分钟写一篇综述,助力文献阅读效率提升50倍。

立即体验

用中文搜PubMed

大模型驱动的PubMed中文搜索引擎

马上搜索

文档翻译

学术文献翻译模型,支持多种主流文档格式。

立即体验