Suppr超能文献

大鼠模型急性后肢缺血的体内成像:一项临床前PET研究。

In Vivo Imaging of Acute Hindlimb Ischaemia in Rat Model: A Pre-Clinical PET Study.

作者信息

Farkasinszky Gergely, Péliné Judit Szabó, Károlyi Péter, Rácz Szilvia, Dénes Noémi, Papp Tamás, Király József, Szabo Zsuzsanna, Kertész István, Mező Gábor, Halmos Gabor, Képes Zita, Trencsényi György

机构信息

Division of Nuclear Medicine and Translational Imaging, Department of Medical Imaging, Faculty of Medicine, University of Debrecen, H-4032 Debrecen, Hungary.

Gyula Petrányi Doctoral School of Allergy and Clinical Immunology, Faculty of Medicine, University of Debrecen, H-4032 Debrecen, Hungary.

出版信息

Pharmaceutics. 2024 Apr 15;16(4):542. doi: 10.3390/pharmaceutics16040542.

Abstract

BACKGROUND

To better understand ischaemia-related molecular alterations, temporal changes in angiogenic Aminopeptidase N (APN/CD13) expression and glucose metabolism were assessed with PET using a rat model of peripheral arterial disease (PAD).

METHODS

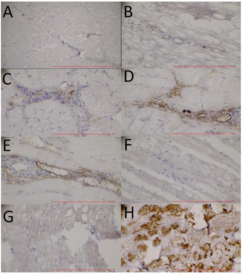
The mechanical occlusion of the base of the left hindlimb triggered using a tourniquet was applied to establish the ischaemia/reperfusion injury model in Fischer-344 rats. 2-[F]FDG and [Ga]Ga-NOTA-c(NGR) PET imaging performed 1, 3, 5, 7, and 10 days post-ischaemia induction was followed by Western blotting and immunohistochemical staining for APN/CD13 in ischaemic and control muscle tissue extracts.

RESULTS

Due to a cellular adaptation to hypoxia, a gradual increase in [Ga]Ga-NOTA-c(NGR) and 2-[F]FDG uptake was observed from post-intervention day 1 to 7 in the ischaemic hindlimbs, which was followed by a drop on day 10. Conforming pronounced angiogenic recovery, the NGR accretion of the ischaemic extremities differed significantly from the controls 5, 7, and 10 days after ischaemia induction ( ≤ 0.05), which correlated with the Western blot and immunohistochemical results. No remarkable radioactivity was depicted between the normally perfused hindlimbs of either the ischaemic or the control groups.

CONCLUSIONS

The PET-based longitudinal assessment of angiogenesis-associated APN/CD13 expression and glucose metabolism during ischaemia may continue to broaden our knowledge on the pathophysiology of PAD.

摘要

背景

为了更好地理解缺血相关的分子改变,利用外周动脉疾病(PAD)大鼠模型,通过正电子发射断层扫描(PET)评估血管生成性氨肽酶N(APN/CD13)表达和葡萄糖代谢的时间变化。

方法

使用止血带对Fischer-344大鼠左后肢基部进行机械性闭塞,以建立缺血/再灌注损伤模型。在缺血诱导后1、3、5、7和10天进行2-[F]氟代脱氧葡萄糖(2-[F]FDG)和[镓]Ga-NOTA-c(NGR)PET成像,随后对缺血和对照肌肉组织提取物中的APN/CD13进行蛋白质印迹和免疫组织化学染色。

结果

由于细胞对缺氧的适应,在缺血后肢中,从干预后第1天到第7天观察到[镓]Ga-NOTA-c(NGR)和2-[F]FDG摄取逐渐增加,随后在第10天下降。符合明显的血管生成恢复情况,缺血肢体的NGR积聚在缺血诱导后5、7和10天与对照组显著不同(P≤0.05),这与蛋白质印迹和免疫组织化学结果相关。在缺血组或对照组的正常灌注后肢之间未观察到明显的放射性。

结论

基于PET对缺血期间血管生成相关的APN/CD!3表达和葡萄糖代谢进行纵向评估,可能会继续拓宽我们对PAD病理生理学的认识。

https://cdn.ncbi.nlm.nih.gov/pmc/blobs/d569/11054801/0d756139f3cc/pharmaceutics-16-00542-g001.jpg

文献AI研究员

20分钟写一篇综述,助力文献阅读效率提升50倍。

立即体验

用中文搜PubMed

大模型驱动的PubMed中文搜索引擎

马上搜索

文档翻译

学术文献翻译模型,支持多种主流文档格式。

立即体验