Suppr超能文献

基于抗 c-Myc 适体的 PROTAC 降解 c-Myc 蛋白的抗肿瘤作用。

Antitumor Effect of Anti-c-Myc Aptamer-Based PROTAC for Degradation of the c-Myc Protein.

机构信息

National Engineering Laboratory for Druggable Gene and Protein Screening, College of Life Science, Northeast Normal University, Changchun, 130024, P. R. China.

College of Life Science, Sichuan University, Chengdu, Sichuan, 610064, P. R. China.

出版信息

Adv Sci (Weinh). 2024 Jul;11(26):e2309639. doi: 10.1002/advs.202309639. Epub 2024 Apr 29.

Abstract

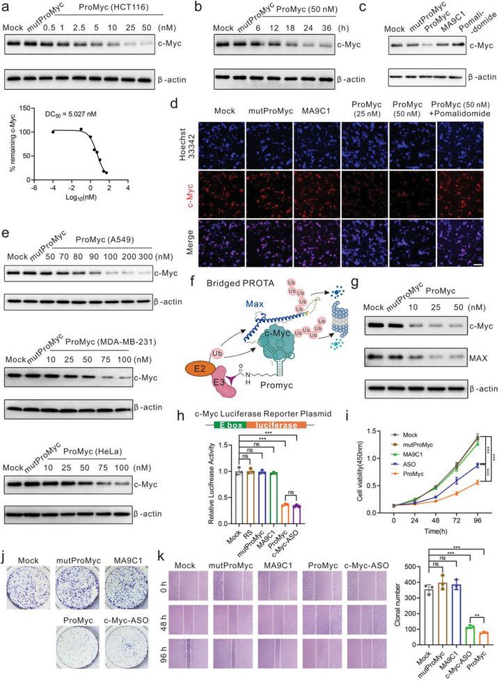
Targeting "undruggable" targets with intrinsically disordered structures is of great significance for the treatment of disease. The transcription factor c-Myc controls global gene expression and is an attractive therapeutic target for multiple types of cancers. However, due to the lack of defined ligand binding pockets, targeted c-Myc have thus far been unsuccessful. Herein, to address the dilemma of lacking ligands, an efficient and high throughput aptamer screening strategy is established, named polystyrene microwell plate-based systematic evolution of ligands by exponential enrichment (microwell-SELEX), and identify the specific aptamer (MA9C1) against c-Myc. The multifunctional aptamer-based Proteolysis Targeting Chimeras (PROTAC) for proteolysis of the c-Myc (ProMyc) is developed using the aptamer MA9C1 as the ligand. ProMyc not only significantly degrades c-Myc by the ubiquitin-proteasome system, but also reduces the Max protein, synergistically inhibiting c-Myc transcriptional activity. Combination of the artificial cyclization and anti-PD-L1 aptamer (PA1)-based delivery system, circular PA1-ProMyc chimeras achieve tumor regression in the xenograft tumor model, laying a solid foundation for the development of efficacious c-Myc degrader for the clinic. Therefore, this aptamer-based degrader provides an invaluable potential degrader in drug discovery and anti-tumor therapy, offering a promising degrader to overcome the challenge of targeting intractable targets.

摘要

针对具有固有无序结构的“不可成药”靶点对于疾病治疗具有重要意义。转录因子 c-Myc 控制着全局基因表达,是多种癌症的有吸引力的治疗靶点。然而,由于缺乏明确的配体结合口袋,靶向 c-Myc 的药物迄今尚未成功。在此,为了解决缺乏配体的困境,建立了一种高效、高通量的适体筛选策略,命名为基于聚苯乙烯微孔板的指数富集配体系统进化(microwell-SELEX),并鉴定出针对 c-Myc 的特异性适体(MA9C1)。使用适体 MA9C1 作为配体,开发了基于多功能适体的蛋白酶靶向嵌合体(PROTAC)用于 c-Myc 的蛋白水解(ProMyc)。ProMyc 通过泛素-蛋白酶体系统不仅显著降解 c-Myc,还降低了 Max 蛋白,协同抑制 c-Myc 转录活性。通过人工环化和抗 PD-L1 适体(PA1)的递送系统相结合,环形 PA1-ProMyc 嵌合体在异种移植肿瘤模型中实现了肿瘤消退,为开发有效的 c-Myc 降解剂用于临床奠定了坚实的基础。因此,这种基于适体的降解剂为药物发现和抗肿瘤治疗提供了极具价值的潜在降解剂,为克服针对不可成药靶点的挑战提供了一种有前途的降解剂。

https://cdn.ncbi.nlm.nih.gov/pmc/blobs/7fef/11234457/3577a4dd4e63/ADVS-11-2309639-g006.jpg

文献AI研究员

20分钟写一篇综述,助力文献阅读效率提升50倍。

立即体验

用中文搜PubMed

大模型驱动的PubMed中文搜索引擎

马上搜索

文档翻译

学术文献翻译模型,支持多种主流文档格式。

立即体验