Suppr超能文献

VEGFR2 阻断通过增强线粒体生物发生来抑制胶质母细胞瘤细胞增殖。

VEGFR2 blockade inhibits glioblastoma cell proliferation by enhancing mitochondrial biogenesis.

机构信息

Department of Radiology, Beijing Tiantan Hospital, Capital Medical University, Beijing, China.

Department of Medicine-Solna, Division of Cardiovascular Medicine, Karolinska University Hospital, Solna, 171 76, Stockholm, Sweden.

出版信息

J Transl Med. 2024 May 3;22(1):419. doi: 10.1186/s12967-024-05155-1.

Abstract

BACKGROUND

Glioblastoma is an aggressive brain tumor linked to significant angiogenesis and poor prognosis. Anti-angiogenic therapies with vascular endothelial growth factor receptor 2 (VEGFR2) inhibition have been investigated as an alternative glioblastoma treatment. However, little is known about the effect of VEGFR2 blockade on glioblastoma cells per se.

METHODS

VEGFR2 expression data in glioma patients were retrieved from the public database TCGA. VEGFR2 intervention was implemented by using its selective inhibitor Ki8751 or shRNA. Mitochondrial biogenesis of glioblastoma cells was assessed by immunofluorescence imaging, mass spectrometry, and western blot analysis.

RESULTS

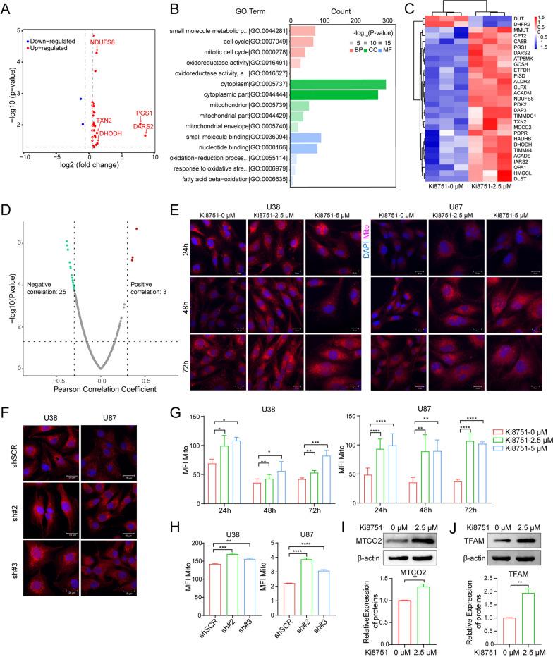
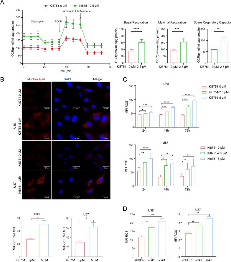
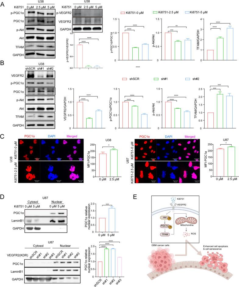
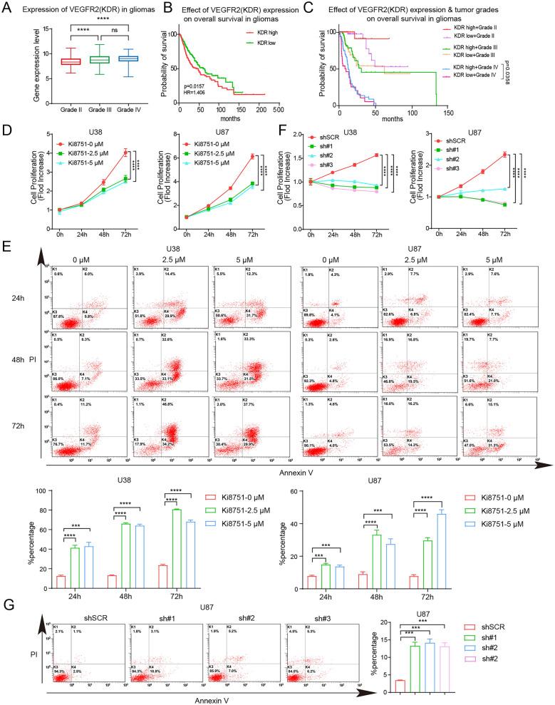
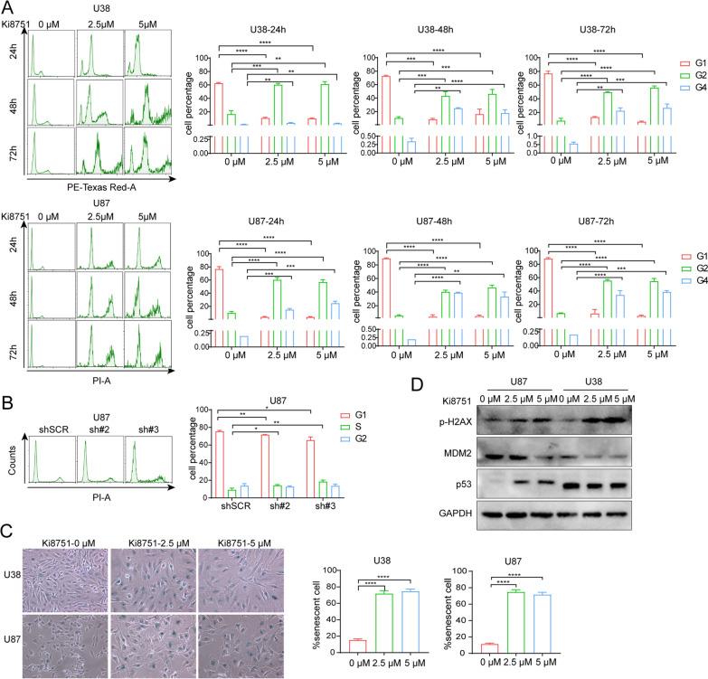
VEGFR2 expression was higher in glioma patients with higher malignancy (grade III and IV). VEGFR2 inhibition hampered glioblastoma cell proliferation and induced cell apoptosis. Mass spectrometry and immunofluorescence imaging showed that the anti-glioblastoma effects of VEGFR2 blockade involved mitochondrial biogenesis, as evidenced by the increases of mitochondrial protein expression, mitochondria mass, mitochondrial oxidative phosphorylation (OXPHOS), and reactive oxygen species (ROS) production, all of which play important roles in tumor cell apoptosis, growth inhibition, cell cycle arrest and cell senescence. Furthermore, VEGFR2 inhibition exaggerated mitochondrial biogenesis by decreased phosphorylation of AKT and peroxisome proliferator-activated receptor gamma coactivator 1-alpha (PGC1α), which mobilized PGC1α into the nucleus, increased mitochondrial transcription factor A (TFAM) expression, and subsequently enhanced mitochondrial biogenesis.

CONCLUSIONS

VEGFR2 blockade inhibits glioblastoma progression via AKT-PGC1α-TFAM-mitochondria biogenesis signaling cascade, suggesting that VEGFR2 intervention might bring additive therapeutic values to anti-glioblastoma therapy.

摘要

背景

胶质母细胞瘤是一种侵袭性脑肿瘤,与显著的血管生成和不良预后有关。血管内皮生长因子受体 2(VEGFR2)抑制的抗血管生成疗法已被研究作为胶质母细胞瘤的替代治疗方法。然而,关于 VEGFR2 阻断对胶质母细胞瘤细胞本身的影响知之甚少。

方法

从公共数据库 TCGA 中检索到胶质瘤患者的 VEGFR2 表达数据。通过使用其选择性抑制剂 Ki8751 或 shRNA 来进行 VEGFR2 干预。通过免疫荧光成像、质谱分析和 Western blot 分析来评估胶质母细胞瘤细胞的线粒体生物发生。

结果

恶性程度较高(III 级和 IV 级)的胶质瘤患者中 VEGFR2 的表达更高。VEGFR2 抑制阻碍了胶质母细胞瘤细胞的增殖并诱导了细胞凋亡。质谱分析和免疫荧光成像显示,VEGFR2 阻断的抗胶质母细胞瘤作用涉及线粒体生物发生,这表现在线粒体蛋白表达、线粒体质量、线粒体氧化磷酸化(OXPHOS)和活性氧(ROS)产生的增加,所有这些都在肿瘤细胞凋亡、生长抑制、细胞周期停滞和细胞衰老中起重要作用。此外,VEGFR2 抑制通过降低 AKT 和过氧化物酶体增殖物激活受体γ共激活因子 1-α(PGC1α)的磷酸化来加剧线粒体生物发生,这将 PGC1α 动员到核内,增加线粒体转录因子 A(TFAM)的表达,从而增强线粒体生物发生。

结论

VEGFR2 阻断通过 AKT-PGC1α-TFAM-线粒体生物发生信号级联抑制胶质母细胞瘤的进展,表明 VEGFR2 干预可能为抗胶质母细胞瘤治疗带来附加的治疗价值。

https://cdn.ncbi.nlm.nih.gov/pmc/blobs/4cc4/11067099/93593481e6ab/12967_2024_5155_Fig1_HTML.jpg

文献AI研究员

20分钟写一篇综述,助力文献阅读效率提升50倍。

立即体验

用中文搜PubMed

大模型驱动的PubMed中文搜索引擎

马上搜索

文档翻译

学术文献翻译模型,支持多种主流文档格式。

立即体验