Suppr超能文献

钠-葡萄糖协同转运蛋白2抑制剂卡格列净通过维持SIRT3表达促进线粒体代谢并减轻盐诱导的心脏肥大。

Sodium-glucose exchanger 2 inhibitor canagliflozin promotes mitochondrial metabolism and alleviates salt-induced cardiac hypertrophy via preserving SIRT3 expression.

作者信息

Zhao Yu, Lu Zongshi, Zhang Hexuan, Wang Lijuan, Sun Fang, Li Qiang, Cao Tingbing, Wang Bowen, Ma Huan, You Mei, Zhou Qing, Wei Xiao, Li Li, Liao Yingying, Yan Zhencheng, Liu Daoyan, Gao Peng, Zhu Zhiming

机构信息

Department of Hypertension and Endocrinology, Center for Hypertension and Metabolic Diseases, Daping Hospital, Army Medical University, Chongqing Institute of Hypertension, Chongqing 400042, China.

Department of Hypertension and Endocrinology, Center for Hypertension and Metabolic Diseases, Daping Hospital, Army Medical University, Chongqing Institute of Hypertension, Chongqing 400042, China.

出版信息

J Adv Res. 2025 Apr;70:255-269. doi: 10.1016/j.jare.2024.04.030. Epub 2024 May 12.

Abstract

INTRODUCTION

Excess salt intake is not only an independent risk factor for heart failure, but also one of the most important dietary factors associated with cardiovascular disease worldwide. Metabolic reprogramming in cardiomyocytes is an early event provoking cardiac hypertrophy that leads to subsequent cardiovascular events upon high salt loading. Although SGLT2 inhibitors, such as canagliflozin, displayed impressive cardiovascular health benefits, whether SGLT2 inhibitors protect against cardiac hypertrophy-related metabolic reprogramming upon salt loading remain elusive.

OBJECTIVES

To investigate whether canagliflozin can improve salt-induced cardiac hypertrophy and the underlying mechanisms.

METHODS

Dahl salt-sensitive rats developed cardiac hypertrophy by feeding them an 8% high-salt diet, and some rats were treated with canagliflozin. Cardiac function and structure as well as mitochondrial function were examined. Cardiac proteomics, targeted metabolomics and SIRT3 cardiac-specific knockout mice were used to uncover the underlying mechanisms.

RESULTS

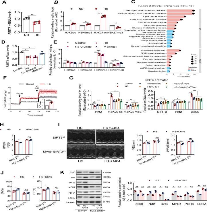
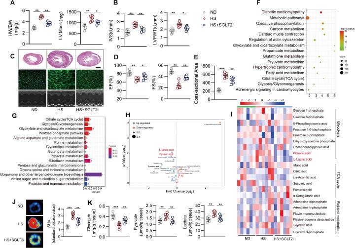
In Dahl salt-sensitive rats, canagliflozin showed a potent therapeutic effect on salt-induced cardiac hypertrophy, accompanied by lowered glucose uptake, reduced accumulation of glycolytic end-products and improved cardiac mitochondrial function, which was associated with the recovery of cardiac expression of SIRT3, a key mitochondrial metabolic regulator. Cardiac-specific knockout of SIRT3 not only exacerbated salt-induced cardiac hypertrophy but also abolished the therapeutic effect of canagliflozin. Mechanistically, high salt intake repressed cardiac SIRT3 expression through a calcium-dependent epigenetic modifications, which could be blocked by canagliflozin by inhibiting SGLT1-mediated calcium uptake. SIRT3 improved myocardial metabolic reprogramming by deacetylating MPC1 in cardiomyocytes exposed to pro-hypertrophic stimuli. Similar to canagliflozin, the SIRT3 activator honokiol also exerted therapeutic effects on cardiac hypertrophy.

CONCLUSION

Cardiac mitochondrial dysfunction caused by SIRT3 repression is a critical promotional determinant of metabolic pattern switching underlying salt-induced cardiac hypertrophy. Improving SIRT3-mediated mitochondrial function by SGLT2 inhibitors-mediated calcium handling would represent a therapeutic strategy against salt-related cardiovascular events.

摘要

引言

过量摄入盐分不仅是心力衰竭的独立危险因素,也是全球范围内与心血管疾病相关的最重要饮食因素之一。心肌细胞中的代谢重编程是引发心脏肥大的早期事件,在高盐负荷时会导致随后的心血管事件。尽管钠-葡萄糖协同转运蛋白2(SGLT2)抑制剂,如卡格列净,显示出令人瞩目的心血管健康益处,但SGLT2抑制剂是否能预防盐负荷时与心脏肥大相关的代谢重编程仍不清楚。

目的

研究卡格列净是否能改善盐诱导的心脏肥大及其潜在机制。

方法

通过给Dahl盐敏感大鼠喂食8%的高盐饮食使其发生心脏肥大,部分大鼠用卡格列净治疗。检测心脏功能和结构以及线粒体功能。采用心脏蛋白质组学、靶向代谢组学和SIRT3心脏特异性敲除小鼠来揭示潜在机制。

结果

在Dahl盐敏感大鼠中,卡格列净对盐诱导的心脏肥大显示出强大的治疗作用,同时伴有葡萄糖摄取降低、糖酵解终产物积累减少以及心脏线粒体功能改善,这与关键线粒体代谢调节因子SIRT3的心脏表达恢复有关。SIRT3心脏特异性敲除不仅加剧了盐诱导的心脏肥大,还消除了卡格列净的治疗效果。机制上,高盐摄入通过钙依赖性表观遗传修饰抑制心脏SIRT3表达,而卡格列净可通过抑制SGLT1介导的钙摄取来阻断这种修饰。SIRT3通过使暴露于促肥大刺激的心肌细胞中的MPC1去乙酰化来改善心肌代谢重编程。与卡格列净类似,SIRT3激活剂厚朴酚对心脏肥大也有治疗作用。

结论

SIRT3抑制引起的心脏线粒体功能障碍是盐诱导的心脏肥大背后代谢模式转换的关键促进决定因素。通过SGLT2抑制剂介导的钙处理改善SIRT3介导的线粒体功能将代表一种针对盐相关心血管事件的治疗策略。

https://cdn.ncbi.nlm.nih.gov/pmc/blobs/e295/11976408/f8d53dad7413/ga1.jpg

文献AI研究员

20分钟写一篇综述,助力文献阅读效率提升50倍。

立即体验

用中文搜PubMed

大模型驱动的PubMed中文搜索引擎

马上搜索

文档翻译

学术文献翻译模型,支持多种主流文档格式。

立即体验