Suppr超能文献

PLAG1 通过 PVT1/miR-195-5p 轴依赖性方式与 GPX4 相互作用,克服索拉非尼诱导的肝细胞癌铁死亡敏感性。

PLAG1 interacts with GPX4 to conquer vulnerability to sorafenib induced ferroptosis through a PVT1/miR-195-5p axis-dependent manner in hepatocellular carcinoma.

机构信息

Department of Hepatobiliary Surgery, the First Affiliated Hospital of Chongqing Medical University, Chongqing, 400010, China.

出版信息

J Exp Clin Cancer Res. 2024 May 14;43(1):143. doi: 10.1186/s13046-024-03061-4.

Abstract

BACKGROUND

Sorafenib is a standard first-line treatment for advanced hepatocellular carcinoma (HCC), yet its effectiveness is often constrained. Emerging studies reveal that sorafenib triggers ferroptosis, an iron-dependent regulated cell death (RCD) mechanism characterized by lipid peroxidation. Our findings isolate the principal target responsible for ferroptosis in HCC cells and outline an approach to potentially augment sorafenib's therapeutic impact on HCC.

METHODS

We investigated the gene expression alterations following sgRNA-mediated knockdown induced by erastin and sorafenib in HCC cells using CRISPR screening-based bioinformatics analysis. Gene set enrichment analysis (GSEA) and the "GDCRNATools" package facilitated the correlation studies. We employed tissue microarrays and cDNA microarrays for validation. Ubiquitination assay, Chromatin immunoprecipitation (ChIP) assay, RNA immunoprecipitation (RIP) assay, and dual-luciferase reporter assay were utilized to delineate the specific mechanisms underlying ferroptosis in HCC cells.

RESULTS

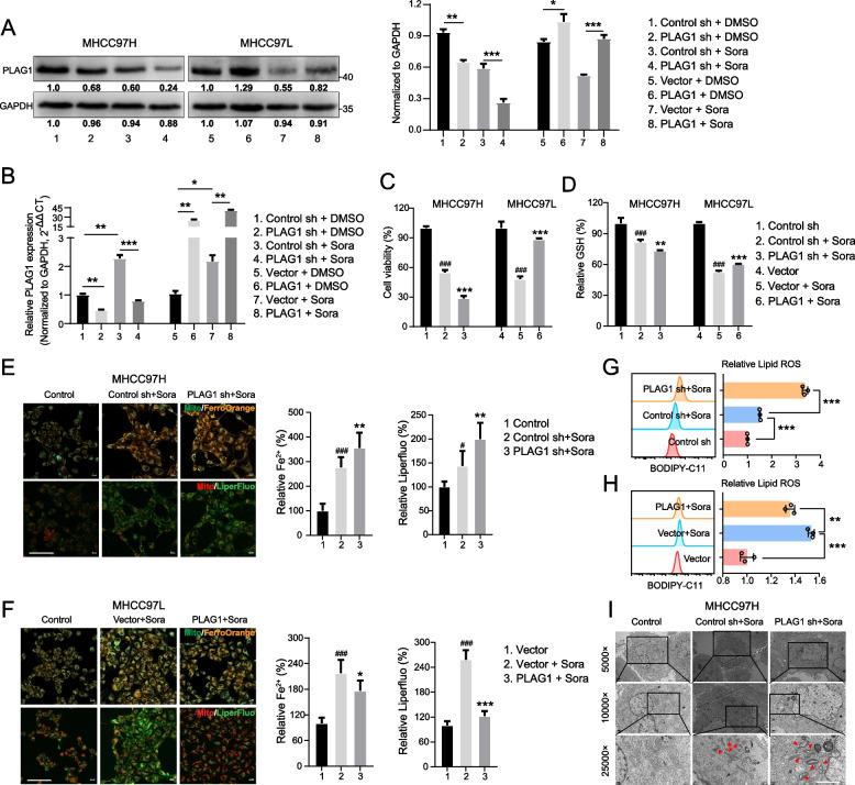
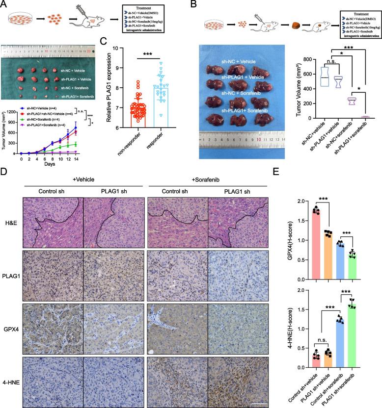
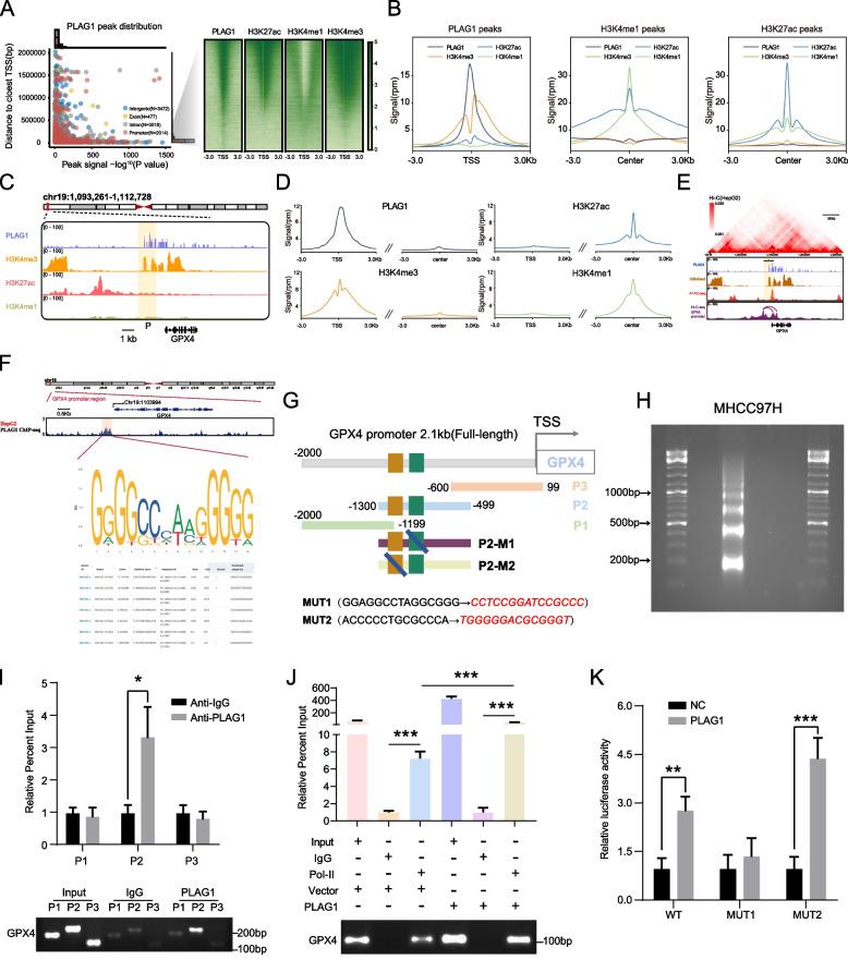
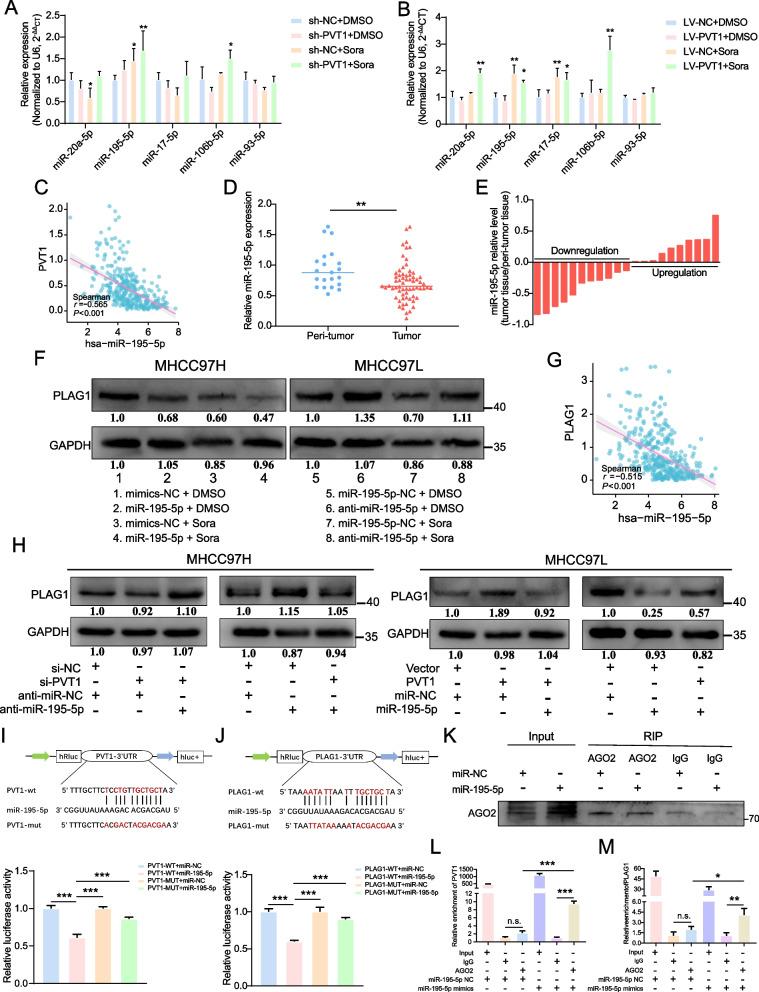
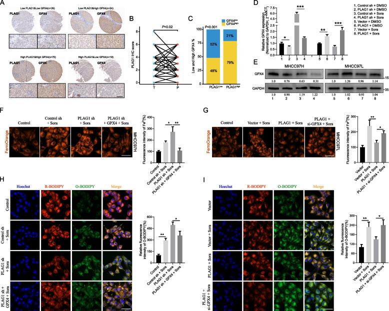
Our study has revealed that pleiomorphic adenoma gene 1 (PLAG1), a gene implicated in pleomorphic adenoma, confers resistance to ferroptosis in HCC cells treated with sorafenib. Sorafenib leads to the opposite trend of protein and mRNA levels of PLAG1, which is not caused by affecting the stability or ubiquitination of PLAG1 protein, but by the regulation of PLAG1 at the transcriptional level by its upstream competitive endogenous long non-coding RNA (lncRNA) plasmacytoma variant translocation 1 (PVT1). Data from 139 HCC patients showed a significant positive correlation between PLAG1 and GPX4 levels in tumor samples, and PLAG1 is instrumental in redox homeostasis by driving the expression of glutathione peroxidase 4 (GPX4), the enzyme that reduces lipid peroxides (LPOs), which further leads to ferroptosis inhibition.

CONCLUSIONS

Ferroptosis is a promising target for cancer therapy, especially for patients resistant to standard chemotherapy or immunotherapy. Our findings indicate that PLAG1 holds therapeutic promise and may enhance the efficacy of sorafenib in treating HCC.

摘要

背景

索拉非尼是晚期肝细胞癌(HCC)的标准一线治疗药物,但它的疗效往往受到限制。新的研究表明,索拉非尼触发铁死亡,这是一种依赖铁的调节细胞死亡(RCD)机制,其特征是脂质过氧化。我们的研究结果确定了 HCC 细胞中铁死亡的主要靶标,并提出了一种潜在的方法来增强索拉非尼对 HCC 的治疗效果。

方法

我们使用基于 CRISPR 筛选的生物信息学分析,研究了 HCC 细胞中 erastin 和索拉非尼介导的 sgRNA 敲低后基因表达的改变。基因集富集分析(GSEA)和“GDCRNATools”包促进了相关性研究。我们使用组织微阵列和 cDNA 微阵列进行验证。泛素化测定、染色质免疫沉淀(ChIP)测定、RNA 免疫沉淀(RIP)测定和双荧光素酶报告基因测定用于描绘 HCC 细胞中铁死亡的具体机制。

结果

我们的研究表明,多形性腺瘤基因 1(PLAG1),一种与多形性腺瘤有关的基因,赋予 HCC 细胞对索拉非尼诱导的铁死亡的耐药性。索拉非尼导致 PLAG1 的蛋白和 mRNA 水平呈相反的趋势,这不是由影响 PLAG1 蛋白的稳定性或泛素化引起的,而是由其上游竞争内源性长非编码 RNA(lncRNA) plasmacytoma variant translocation 1(PVT1)在转录水平上对 PLAG1 的调节引起的。来自 139 名 HCC 患者的数据显示,肿瘤样本中 PLAG1 与谷胱甘肽过氧化物酶 4(GPX4)水平之间存在显著的正相关,PLAG1 通过驱动谷胱甘肽过氧化物酶 4(GPX4)的表达来维持氧化还原平衡,GPX4 是减少脂质过氧化物(LPOs)的酶,进一步导致铁死亡抑制。

结论

铁死亡是癌症治疗的一个有前途的靶点,特别是对于对标准化疗或免疫疗法有抵抗力的患者。我们的研究结果表明,PLAG1 具有治疗潜力,并可能增强索拉非尼治疗 HCC 的疗效。

https://cdn.ncbi.nlm.nih.gov/pmc/blobs/857c/11092053/9d21fd341250/13046_2024_3061_Fig1_HTML.jpg

文献AI研究员

20分钟写一篇综述,助力文献阅读效率提升50倍。

立即体验

用中文搜PubMed

大模型驱动的PubMed中文搜索引擎

马上搜索

文档翻译

学术文献翻译模型,支持多种主流文档格式。

立即体验