Suppr超能文献

西地那非和呋塞米纳米粒作为一种治疗大鼠急性肾衰竭的新药理学方法。

Sildenafil and furosemide nanoparticles as a novel pharmacological treatment for acute renal failure in rats.

机构信息

Pharmacology Department, Faculty of Veterinary Medicine, Assiut University, Assiut, 71526, Egypt.

Department of Pharmacology and Toxicology, Faculty of Pharmacy, Assiut University, Assiut, 71526, Egypt.

出版信息

Naunyn Schmiedebergs Arch Pharmacol. 2024 Oct;397(10):7865-7879. doi: 10.1007/s00210-024-03128-1. Epub 2024 May 15.

Abstract

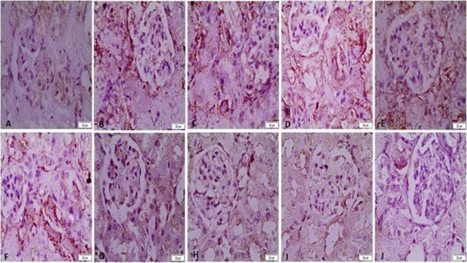
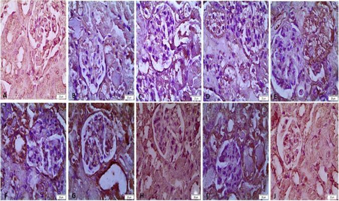
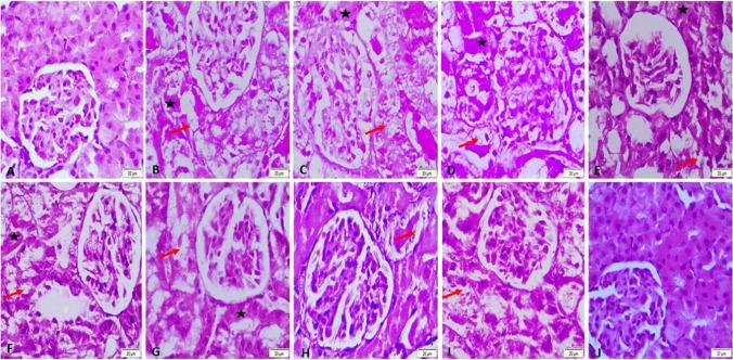
Hospitalized patients often develop acute renal failure (ARF), which causes severe morbidity and death. This research investigates the potential renoprotective benefits of sildenafil and furosemide in glycerol-induced ARF, and measures kidney function metrics in response to nanoparticle versions of these medications. Inducing ARF is commonly done by injecting 50% glycerol intramuscularly. Rats underwent a 24-h period of dehydration and starvation before slaughter for renal function testing. We investigated urine analysis, markers of oxidative stress, histology of kidney tissue, immunohistochemistry analysis of caspase-3 and interleukin-1 beta (IL-1 β), kidney injury molecule-1 (KIM-1), and neutrophil gelatinase-associated lipocalin (NGAL), which are specific indicators of kidney tissue damage. The results of our study showed that the combination of sildenafil and furosemide, using both traditional and nanoparticle formulations, had a greater protective effect on the kidneys compared to using either drug alone. The recovery of renal tissue indicators, serum markers, and urine markers, which are indicative of organ damage, provides evidence of improvement. This was also indicated by the reduction in KIM-1 and NGAL tubular expression. The immunohistochemistry tests showed that the combination therapy, especially with the nanoforms, greatly improved the damaged cellular changes in the kidneys, as shown by higher levels of caspase-3 and IL-1β. According to the findings, a glycerol-induced rat model demonstrates that sildenafil and furosemide, either alone or in combination, in conventional or nanoparticulate forms, improve ARF dysfunction. The synergistic nanoparticulate compositions show remarkable effectiveness. This observation highlights the possible therapeutic implications for ARF treatment.

摘要

住院患者常发生急性肾衰竭(ARF),这会导致严重的发病率和死亡率。本研究旨在探讨西地那非和呋塞米在甘油诱导的 ARF 中的潜在肾保护作用,并测量这些药物的纳米颗粒版本对肾功能指标的影响。通常通过肌内注射 50%甘油来诱导 ARF。大鼠在进行肾功能测试前经历了 24 小时的脱水和饥饿期。我们研究了尿分析、氧化应激标志物、肾组织学、半胱天冬酶-3 和白细胞介素-1β(IL-1β)、肾损伤分子-1(KIM-1)和中性粒细胞明胶酶相关脂质运载蛋白(NGAL)的免疫组织化学分析,这些都是肾组织损伤的特异性指标。我们的研究结果表明,与单独使用任何一种药物相比,使用传统和纳米颗粒制剂的西地那非和呋塞米联合使用对肾脏具有更大的保护作用。肾组织指标、血清标志物和尿液标志物的恢复,这些标志物表明器官损伤的改善。这也表明 KIM-1 和 NGAL 管表达减少。免疫组织化学测试表明,联合治疗,特别是纳米形式的联合治疗,极大地改善了肾脏受损的细胞变化,半胱天冬酶-3 和 IL-1β水平升高。根据这些发现,甘油诱导的大鼠模型表明,西地那非和呋塞米单独或联合使用,无论是常规形式还是纳米颗粒形式,都可以改善 ARF 功能障碍。协同的纳米颗粒组合物显示出显著的效果。这一观察结果突出了 ARF 治疗的可能治疗意义。

https://cdn.ncbi.nlm.nih.gov/pmc/blobs/b3df/11449963/46284ac7c8bb/210_2024_3128_Fig1_HTML.jpg

文献AI研究员

20分钟写一篇综述,助力文献阅读效率提升50倍。

立即体验

用中文搜PubMed

大模型驱动的PubMed中文搜索引擎

马上搜索

文档翻译

学术文献翻译模型,支持多种主流文档格式。

立即体验