Suppr超能文献

HNF4A 的下调使得肝急性期反应期间的转录组重编程成为可能。

Downregulation of HNF4A enables transcriptomic reprogramming during the hepatic acute-phase response.

机构信息

Institute of Biochemistry and Biophysics, Center for Molecular Biomedicine, Friedrich Schiller University Jena, 07745, Jena, Germany.

Marshall Laboratory of Biomedical Engineering, Department of Pathogen Biology, Shenzhen University Medical School, Shenzhen University, Shenzhen, Guangdong, 518060, China.

出版信息

Commun Biol. 2024 May 16;7(1):589. doi: 10.1038/s42003-024-06288-1.

Abstract

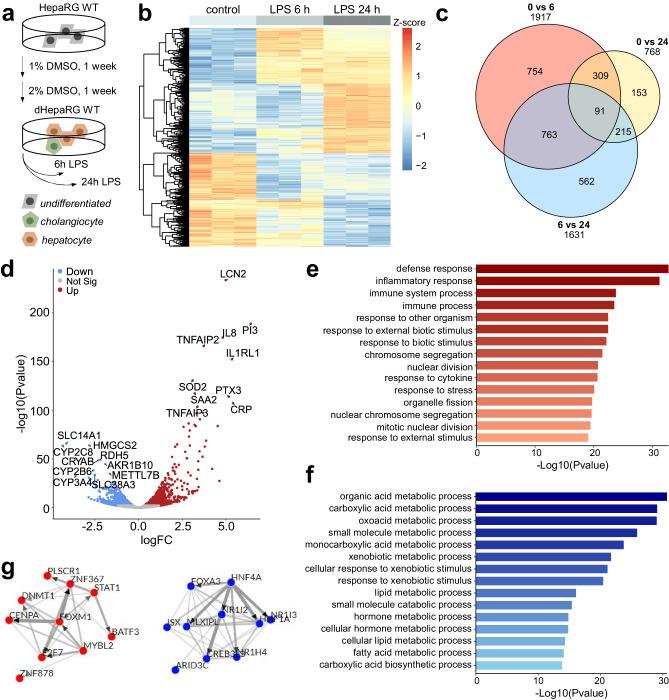
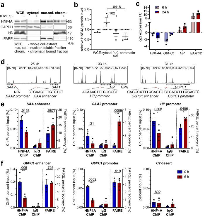
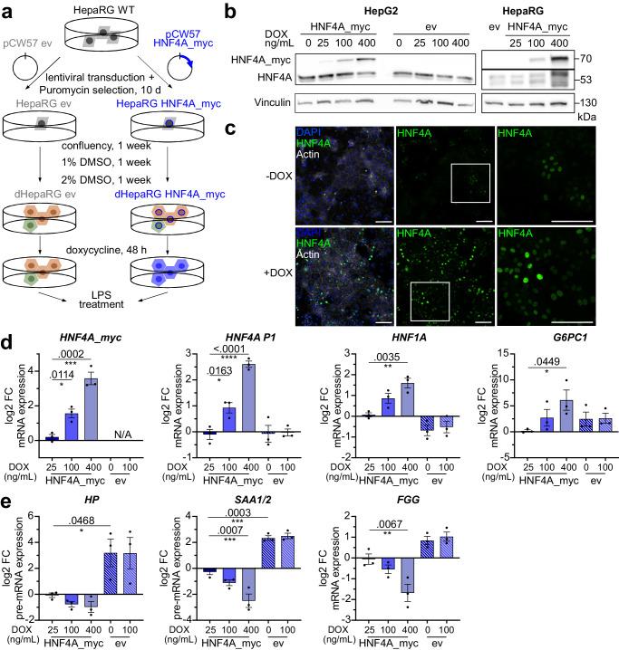
The hepatic acute-phase response is characterized by a massive upregulation of serum proteins, such as haptoglobin and serum amyloid A, at the expense of liver homeostatic functions. Although the transcription factor hepatocyte nuclear factor 4 alpha (HNF4A) has a well-established role in safeguarding liver function and its cistrome spans around 50% of liver-specific genes, its role in the acute-phase response has received little attention so far. We demonstrate that HNF4A binds to and represses acute-phase genes under basal conditions. The reprogramming of hepatic transcription during inflammation necessitates loss of HNF4A function to allow expression of acute-phase genes while liver homeostatic genes are repressed. In a pre-clinical liver organoid model overexpression of HNF4A maintained liver functionality in spite of inflammation-induced cell damage. Conversely, HNF4A overexpression potently impaired the acute-phase response by retaining chromatin at regulatory regions of acute-phase genes inaccessible to transcription. Taken together, our data extend the understanding of dual HNF4A action as transcriptional activator and repressor, establishing HNF4A as gatekeeper for the hepatic acute-phase response.

摘要

肝脏急性期反应的特征是血清蛋白(如触珠蛋白和血清淀粉样蛋白 A)大量上调,牺牲了肝脏的稳态功能。尽管转录因子肝细胞核因子 4 阿尔法(HNF4A)在保障肝功能方面具有明确的作用,其顺式作用元件跨越约 50%的肝脏特异性基因,但迄今为止,其在急性期反应中的作用还没有得到太多关注。我们证明,HNF4A 在基础条件下结合并抑制急性期基因。炎症期间肝脏转录的重新编程需要失去 HNF4A 功能,以允许急性期基因表达,同时抑制肝脏稳态基因。在临床前肝脏类器官模型中,HNF4A 的过表达尽管炎症诱导细胞损伤,但仍维持了肝脏功能。相反,HNF4A 的过表达通过将染色质保留在急性期基因的调节区域而使其无法转录,从而强烈地损害了急性期反应。总之,我们的数据扩展了 HNF4A 作为转录激活剂和抑制剂的双重作用的理解,确立了 HNF4A 作为肝脏急性期反应的守门员。

https://cdn.ncbi.nlm.nih.gov/pmc/blobs/9e64/11099168/0592d6242e75/42003_2024_6288_Fig1_HTML.jpg

文献AI研究员

20分钟写一篇综述,助力文献阅读效率提升50倍。

立即体验

用中文搜PubMed

大模型驱动的PubMed中文搜索引擎

马上搜索

文档翻译

学术文献翻译模型,支持多种主流文档格式。

立即体验