Suppr超能文献

白芍通过重塑肠道微生物群和下调 Wnt/β-连环蛋白信号通路来改善慢性肾脏病。

Radix ameliorates chronic kidney disease by reshaping gut microbiota and downregulating Wnt/β‑catenin signaling.

机构信息

Department of Urology, Nanfang Hospital, Southern Medical University, Guangzhou, Guangdong 510515, P.R. China.

NMPA Key Laboratory for Research and Evaluation of Drug Metabolism, Guangdong Provincial Key Laboratory of New Drug Screening, School of Pharmaceutical Sciences, Southern Medical University, Guangzhou, Guangdong 510515, P.R. China.

出版信息

Mol Med Rep. 2024 Jul;30(1). doi: 10.3892/mmr.2024.13241. Epub 2024 May 17.

Abstract

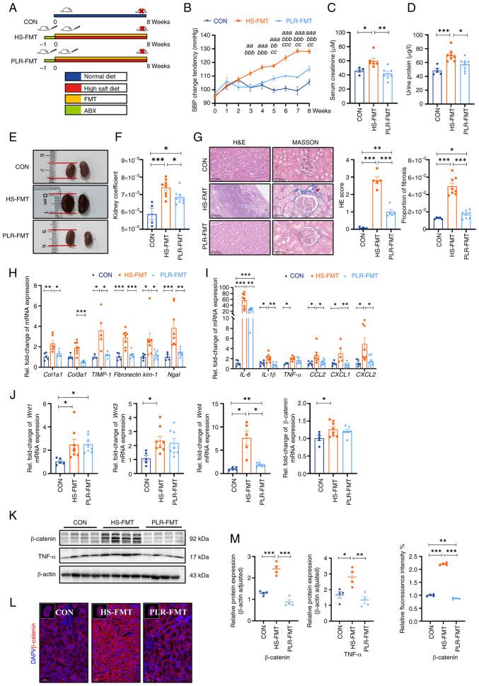
Gut microbiota dysfunction is a key factor affecting chronic kidney disease (CKD) susceptibility. Radix (PLR), a traditional Chinese medicine and food homologous herb, is known to promote the gut microbiota homeostasis; however, its role in renoprotection remains unknown. The present study aimed to investigate the efficacy and potential mechanism of PLR to alleviate CKD. An 8‑week 2% NaCl‑feeding murine model was applied to induce CKD and evaluate the therapeutic effect of PLR supplementary. After gavage for 8 weeks, The medium and high doses of PLR significantly alleviated CKD‑associated creatinine, urine protein increasement and nephritic histopathological injury. Moreover, PLR protected kidney from fibrosis by reducing inflammatory response and downregulating the canonical Wnt/β‑catenin pathway. Furthermore, PLR rescued the gut microbiota dysbiosis and protected against high salt‑induced gut barrier dysfunction. Enrichment of and was found after PLR intervention, the relative abundances of which were in positive correlation with normal maintenance of renal histology and function. Next, fecal microbiota transplantation experiment verified that the positive effect of PLR on CKD was, at least partially, exerted through gut microbiota reestablishment and downregulation of the Wnt/β‑catenin pathway. The present study provided evidence for a new function of PLR on kidney protection and put forward a potential therapeutic strategy target for CKD.

摘要

肠道微生物群功能障碍是影响慢性肾脏病(CKD)易感性的关键因素。党参(PLR)是一种传统的中药和同源草药,已知可促进肠道微生物群的动态平衡;然而,其在肾脏保护中的作用尚不清楚。本研究旨在探讨 PLR 缓解 CKD 的功效和潜在机制。应用 8 周 2%NaCl 喂养的小鼠模型诱导 CKD,并评估 PLR 补充的治疗效果。灌胃 8 周后,中、高剂量的 PLR 可显著缓解 CKD 相关的肌酐、尿蛋白增加和肾炎组织病理学损伤。此外,PLR 通过减少炎症反应和下调经典 Wnt/β-连环蛋白通路来保护肾脏免受纤维化。PLR 还挽救了肠道微生物群失调,并防止高盐诱导的肠道屏障功能障碍。PLR 干预后发现 和 富集,其相对丰度与肾脏组织学和功能的正常维持呈正相关。接下来,粪便微生物群移植实验验证了 PLR 对 CKD 的积极作用至少部分是通过重建肠道微生物群和下调 Wnt/β-连环蛋白通路来发挥的。本研究为 PLR 对肾脏保护的新功能提供了证据,并提出了 CKD 的潜在治疗策略靶点。

https://cdn.ncbi.nlm.nih.gov/pmc/blobs/5a9a/11129539/264e7ea12981/mmr-30-01-13241-g00.jpg

文献AI研究员

20分钟写一篇综述,助力文献阅读效率提升50倍。

立即体验

用中文搜PubMed

大模型驱动的PubMed中文搜索引擎

马上搜索

文档翻译

学术文献翻译模型,支持多种主流文档格式。

立即体验