Suppr超能文献

利用与不同亚麻(Linum usitatissimum L.)基因型抗白粉病相关的分子和生化标记物研究遗传多样性。

Investigation of genetic diversity using molecular and biochemical markers associated with powdery mildew resistance in different flax (Linum usitatissimum L.) genotypes.

机构信息

Cell Study Research Department, Agriculture Research Center, Field Crops Research Institute, Giza, Egypt.

Plant Pathology Research Institute, Agricultural Research Center, Giza, Egypt.

出版信息

BMC Plant Biol. 2024 May 17;24(1):412. doi: 10.1186/s12870-024-05113-5.

Abstract

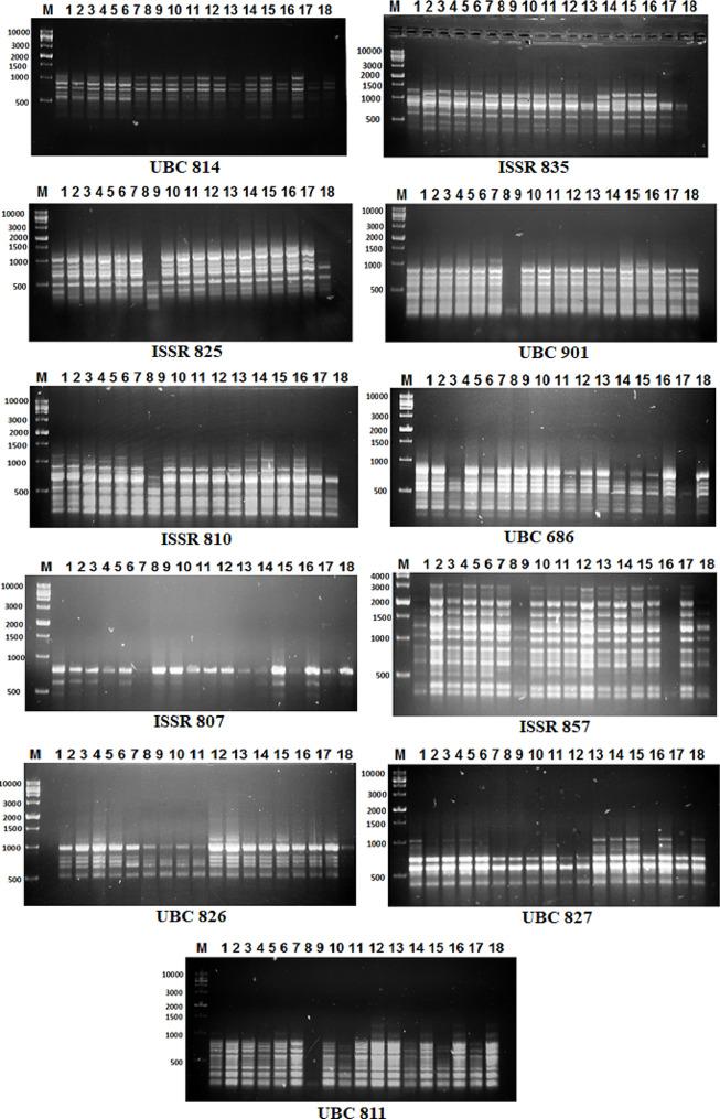
Under greenhouse conditions, the resistance of 18 different genotypes of flax to powdery mildew was evaluated. To investigate genetic diversity and identify the molecular and biochemical markers linked to powdery mildew resistance in the tested genotypes, two molecular marker systems-start codon targeted (SCoT) and inter-simple sequence repeat (ISSR)-as well as a biochemical marker (protein profiles, antioxidant enzyme activity, and secondary metabolites) were used. Based on the results, the genotypes were classified into four categories: highly susceptible, susceptible, moderately susceptible, and moderately resistant. The genotypes differed significantly in powdery mildew severity: Polk had a severity of 92.03% and Leona had a severity of 18.10%. Compared to the other genotypes, the moderately resistant genotypes had higher levels of flavonoids, antioxidant enzymes, phenolics, and straw yield; nevertheless, their hydrogen peroxide and malondialdehyde levels were lower. Protein profiles revealed 93.75% polymorphism, although the ISSR marker displayed more polymorphism (78.4%) than the SCoT marker (59.7%). Specific molecular and biochemical markers associated with powdery mildew resistance were identified. The 18 genotypes of flax were divided into two major clusters by the dendrogram based on the combined data of molecular markers. The first main cluster included Leona (genotype number 7), considered moderate resistance to powdery mildew and a separate phenetic line. The second main cluster included the other 17 genotypes, which are grouped together in a sub-cluster. This means that, besides SCoT, ISSR markers can be a useful supplementary technique for molecular flax characterization and for identifying genetic associations between flax genotypes under powdery mildew infection.

摘要

在温室条件下,评估了 18 种不同亚麻基因型对白粉病的抗性。为了研究遗传多样性,并鉴定与测试基因型白粉病抗性相关的分子和生化标记,使用了两种分子标记系统 - 起始密码子靶向(SCoT)和简单重复间序列(ISSR) - 以及生化标记(蛋白质谱、抗氧化酶活性和次生代谢物)。根据结果,将基因型分为四类:高度敏感、敏感、中度敏感和中度抗性。基因型在白粉病严重程度上存在显著差异:Polk 的严重程度为 92.03%,Leona 的严重程度为 18.10%。与其他基因型相比,中度抗性基因型的类黄酮、抗氧化酶、酚类和秸秆产量较高;然而,它们的过氧化氢和丙二醛水平较低。蛋白质谱显示出 93.75%的多态性,尽管 ISSR 标记比 SCoT 标记(59.7%)显示出更高的多态性(78.4%)。鉴定出与白粉病抗性相关的特定分子和生化标记。根据分子标记的综合数据,18 个亚麻基因型分为两个主要聚类。第一个主要聚类包括 Leona(基因型 7),被认为对白粉病具有中度抗性,是一个单独的表型线。第二个主要聚类包括其他 17 个基因型,它们聚集在一个亚聚类中。这意味着,除了 SCoT,ISSR 标记可以成为分子亚麻特征描述和鉴定白粉病感染下亚麻基因型遗传关联的有用补充技术。

https://cdn.ncbi.nlm.nih.gov/pmc/blobs/9c4a/11100107/044011fa3008/12870_2024_5113_Fig1_HTML.jpg

文献AI研究员

20分钟写一篇综述,助力文献阅读效率提升50倍。

立即体验

用中文搜PubMed

大模型驱动的PubMed中文搜索引擎

马上搜索

文档翻译

学术文献翻译模型,支持多种主流文档格式。

立即体验