Suppr超能文献

抑制 HDAC2 通过促进 NLRP3/GSDMD 介导热激细胞死亡在结直肠癌中增强抗肿瘤治疗。

Inhibition of HDAC2 sensitises antitumour therapy by promoting NLRP3/GSDMD-mediated pyroptosis in colorectal cancer.

机构信息

Department of Gastrointestinal Medical Oncology, Harbin Medical University Cancer Hospital, Harbin, China.

Key Laboratory of Tumor Immunology in Heilongjiang, Harbin, China.

出版信息

Clin Transl Med. 2024 Jun;14(6):e1692. doi: 10.1002/ctm2.1692.

Abstract

BACKGROUND

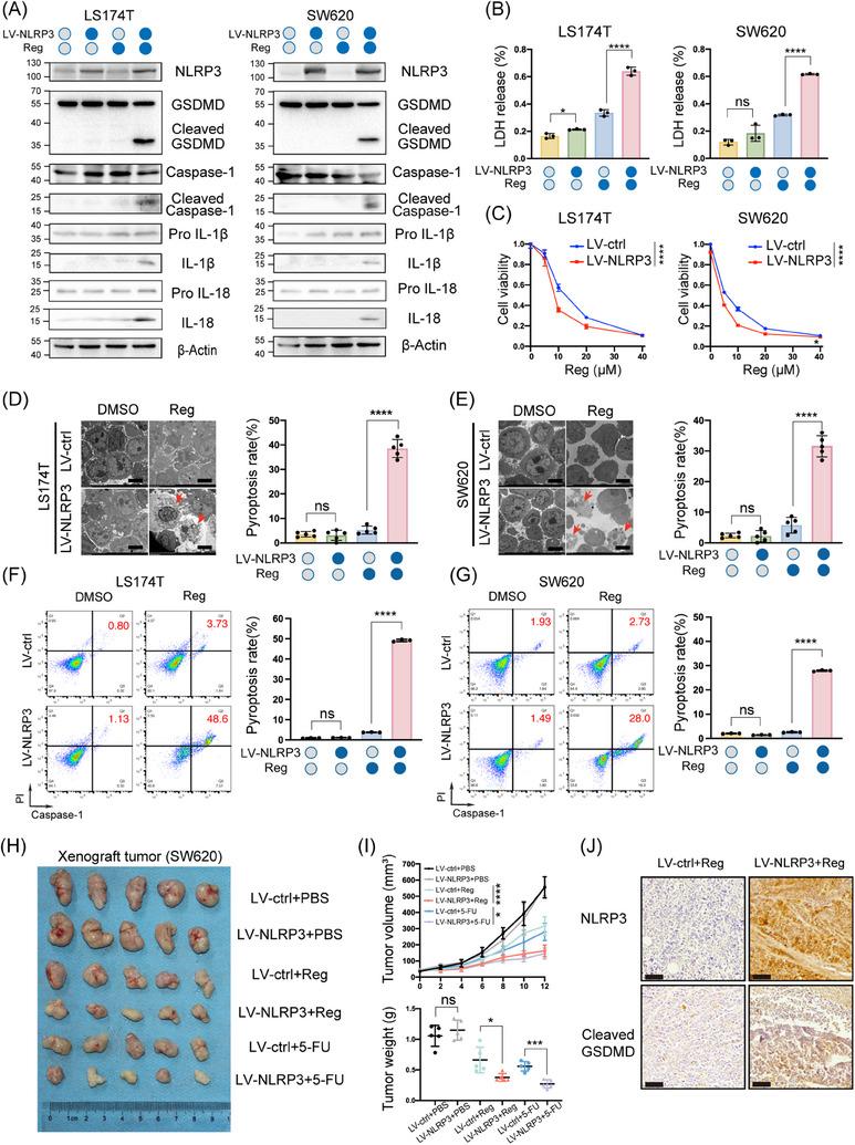
Although numerous studies have indicated that activated pyroptosis can enhance the efficacy of antitumour therapy in several tumours, the precise mechanism of pyroptosis in colorectal cancer (CRC) remains unclear.

METHODS

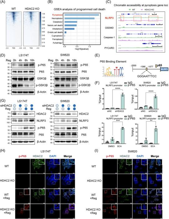
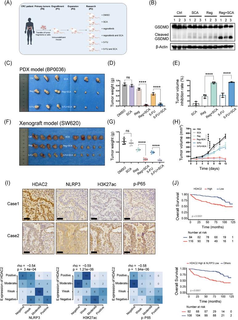
Pyroptosis in CRC cells treated with antitumour agents was assessed using various techniques, including Western blotting, lactate dehydrogenase release assay and microscopy analysis. To uncover the epigenetic mechanisms that regulate NLRP3, chromatin changes and NLRP3 promoter histone modifications were assessed using Assay for Transposase-Accessible Chromatin using sequencing and RNA sequencing. Chromatin immunoprecipitation‒quantitative polymerase chain reaction was used to investigate the NLRP3 transcriptional regulatory mechanism. Additionally, xenograft and patient-derived xenograft models were constructed to validate the effects of the drug combinations.

RESULTS

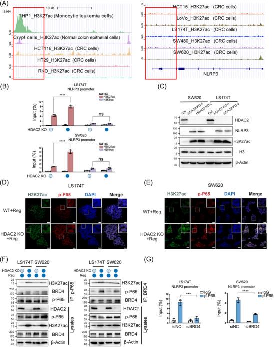
As the core molecule of the inflammasome, NLRP3 expression was silenced in CRC, thereby limiting gasdermin D (GSDMD)-mediated pyroptosis. Supplementation with NLRP3 can rescue pyroptosis induced by antitumour therapy. Overexpression of HDAC2 in CRC silences NLRP3 via epigenetic regulation. Mechanistically, HDAC2 suppressed chromatin accessibility by eliminating H3K27 acetylation. HDAC2 knockout promotes H3K27ac-mediated recruitment of the BRD4-p-P65 complex to enhance NLRP3 transcription. Inhibiting HDAC2 by Santacruzamate A in combination with classic antitumour agents (5-fluorouracil or regorafenib) in CRC xenograft-bearing animals markedly activated pyroptosis and achieved a significant therapeutic effect. Clinically, HDAC2 is inversely correlated with H3K27ac/p-P65/NLRP3 and is a prognostic factor for CRC patients.

CONCLUSION

Collectively, our data revealed a crucial role for HDAC2 in inhibiting NLRP3/GSDMD-mediated pyroptosis in CRC cells and highlighted HDAC2 as a potential therapeutic target for antitumour therapy.

HIGHLIGHTS

Silencing of NLRP3 limits the GSDMD-dependent pyroptosis in colorectal cancer. HDAC2-mediated histone deacetylation leads to epigenetic silencing of NLRP3. HDAC2 suppresses the NLRP3 transcription by inhibiting the formation of H3K27ac/BRD4/p-P65 complex. Targeting HDAC2 activates pyroptosis and enhances therapeutic effect.

摘要

背景

尽管许多研究表明,激活细胞焦亡可以增强几种肿瘤的抗肿瘤治疗效果,但细胞焦亡在结直肠癌(CRC)中的确切机制仍不清楚。

方法

采用 Western blot、乳酸脱氢酶释放试验和显微镜分析等多种技术评估抗肿瘤药物作用下 CRC 细胞的细胞焦亡。采用染色质免疫共沉淀-定量聚合酶链反应(ChIP-qPCR)技术研究 NLRP3 的转录调控机制。此外,构建了异种移植和患者来源的异种移植模型,以验证药物组合的效果。

结果

作为炎性小体的核心分子,NLRP3 在 CRC 中被沉默,从而限制了 GSDMD 介导的细胞焦亡。补充 NLRP3 可以挽救抗肿瘤治疗诱导的细胞焦亡。CRC 中 HDAC2 的过表达通过表观遗传调控沉默 NLRP3。机制上,HDAC2 通过消除 H3K27 乙酰化来抑制染色质可及性。HDAC2 敲除促进 BRD4-p-P65 复合物募集到 H3K27ac 上,增强 NLRP3 转录。Santacruzamate A 抑制 HDAC2 与经典抗肿瘤药物(5-氟尿嘧啶或regorafenib)联合应用于 CRC 荷瘤动物,显著激活细胞焦亡,达到显著的治疗效果。临床上,HDAC2 与 H3K27ac/p-P65/NLRP3 呈负相关,是 CRC 患者的预后因素。

结论

综上所述,我们的数据揭示了 HDAC2 在抑制 CRC 细胞中 NLRP3/GSDMD 介导的细胞焦亡中的关键作用,并强调了 HDAC2 作为抗肿瘤治疗的潜在治疗靶点。

重点

NLRP3 沉默限制了结直肠癌中 GSDMD 依赖性细胞焦亡。HDAC2 介导的组蛋白去乙酰化导致 NLRP3 的表观遗传沉默。HDAC2 通过抑制 H3K27ac/BRD4/p-P65 复合物的形成抑制 NLRP3 转录。靶向 HDAC2 激活细胞焦亡并增强治疗效果。

https://cdn.ncbi.nlm.nih.gov/pmc/blobs/9c50/11131357/893033a6c669/CTM2-14-e1692-g008.jpg

文献AI研究员

20分钟写一篇综述,助力文献阅读效率提升50倍。

立即体验

用中文搜PubMed

大模型驱动的PubMed中文搜索引擎

马上搜索

文档翻译

学术文献翻译模型,支持多种主流文档格式。

立即体验