Suppr超能文献

TET2-STAT3-CXCL5 轴促进中性粒细胞脂质转移以支持肺腺鳞转化。

TET2-STAT3-CXCL5 nexus promotes neutrophil lipid transfer to fuel lung adeno-to-squamous transition.

机构信息

Key Laboratory of Systems Health Science of Zhejiang Province, School of Life Science, Hangzhou Institute for Advanced Study, University of Chinese Academy of Sciences , Hangzhou, China.

Key Laboratory of Multi-Cell Systems, Shanghai Institute of Biochemistry and Cell Biology, Center for Excellence in Molecular Cell Science, Chinese Academy of Sciences , Shanghai, China.

出版信息

J Exp Med. 2024 Jul 1;221(7). doi: 10.1084/jem.20240111. Epub 2024 May 28.

Abstract

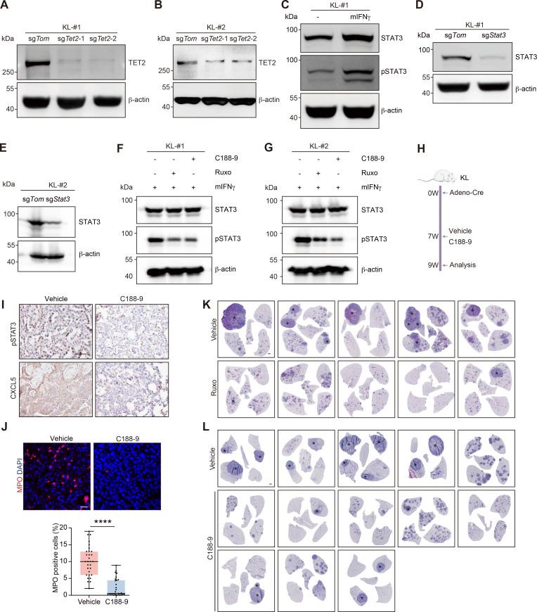
Phenotypic plasticity is a rising cancer hallmark, and lung adeno-to-squamous transition (AST) triggered by LKB1 inactivation is significantly associated with drug resistance. Mechanistic insights into AST are urgently needed to identify therapeutic vulnerability in LKB1-deficient lung cancer. Here, we find that ten-eleven translocation (TET)-mediated DNA demethylation is elevated during AST in KrasLSL-G12D/+; Lkb1L/L (KL) mice, and knockout of individual Tet genes reveals that Tet2 is required for squamous transition. TET2 promotes neutrophil infiltration through STAT3-mediated CXCL5 expression. Targeting the STAT3-CXCL5 nexus effectively inhibits squamous transition through reducing neutrophil infiltration. Interestingly, tumor-infiltrating neutrophils are laden with triglycerides and can transfer the lipid to tumor cells to promote cell proliferation and squamous transition. Pharmacological inhibition of macropinocytosis dramatically inhibits neutrophil-to-cancer cell lipid transfer and blocks squamous transition. These data uncover an epigenetic mechanism orchestrating phenotypic plasticity through regulating immune microenvironment and metabolic communication, and identify therapeutic strategies to inhibit AST.

摘要

表型可塑性是癌症的一个新兴标志,LKB1 失活引发的肺腺癌到鳞癌的转变(AST)与耐药性显著相关。为了确定 LKB1 缺陷型肺癌的治疗弱点,迫切需要深入了解 AST 的机制。在这里,我们发现,在 KrasLSL-G12D/+; Lkb1L/L (KL) 小鼠中,AST 期间 TEN-ELEVEN TRANSLOCATION(TET)介导的 DNA 去甲基化水平升高,敲除单个 Tet 基因表明 Tet2 是鳞状转化所必需的。TET2 通过 STAT3 介导的 CXCL5 表达促进中性粒细胞浸润。靶向 STAT3-CXCL5 连接有效地抑制鳞状转化,减少中性粒细胞浸润。有趣的是,肿瘤浸润的中性粒细胞富含甘油三酯,并可将脂质转移至肿瘤细胞,促进细胞增殖和鳞状转化。巨胞饮的药理学抑制可显著抑制中性粒细胞向癌细胞的脂质转移并阻断鳞状转化。这些数据揭示了一种通过调节免疫微环境和代谢通讯来协调表型可塑性的表观遗传机制,并确定了抑制 AST 的治疗策略。

https://cdn.ncbi.nlm.nih.gov/pmc/blobs/61d4/11129275/267404e17f7a/JEM_20240111_Fig1.jpg

文献AI研究员

20分钟写一篇综述,助力文献阅读效率提升50倍。

立即体验

用中文搜PubMed

大模型驱动的PubMed中文搜索引擎

马上搜索

文档翻译

学术文献翻译模型,支持多种主流文档格式。

立即体验