Suppr超能文献

靶向致癌性m6A去甲基化酶FTO可抑制肝细胞癌的肿瘤发生并增强免疫反应。

Targeting the oncogenic m6A demethylase FTO suppresses tumourigenesis and potentiates immune response in hepatocellular carcinoma.

作者信息

Chen Ao, Zhang Vanilla Xin, Zhang Qingyang, Sze Karen Man-Fong, Tian Lu, Huang Hongyang, Wang Xia, Lee Eva, Lu Jingyi, Lyu Xueying, Lee Man-Fong Joyce, Wong Chun Ming, Ho Daniel Wai-Hung, Ng Irene Oi-Lin

机构信息

Department of Pathology, The University of Hong Kong, Hong Kong, Hong Kong.

State Key Laboratory of Liver Research, The University of Hong Kong, Hong Kong, Hong Kong.

出版信息

Gut. 2024 Dec 10;74(1):90-102. doi: 10.1136/gutjnl-2024-331903.

Abstract

OBJECTIVE

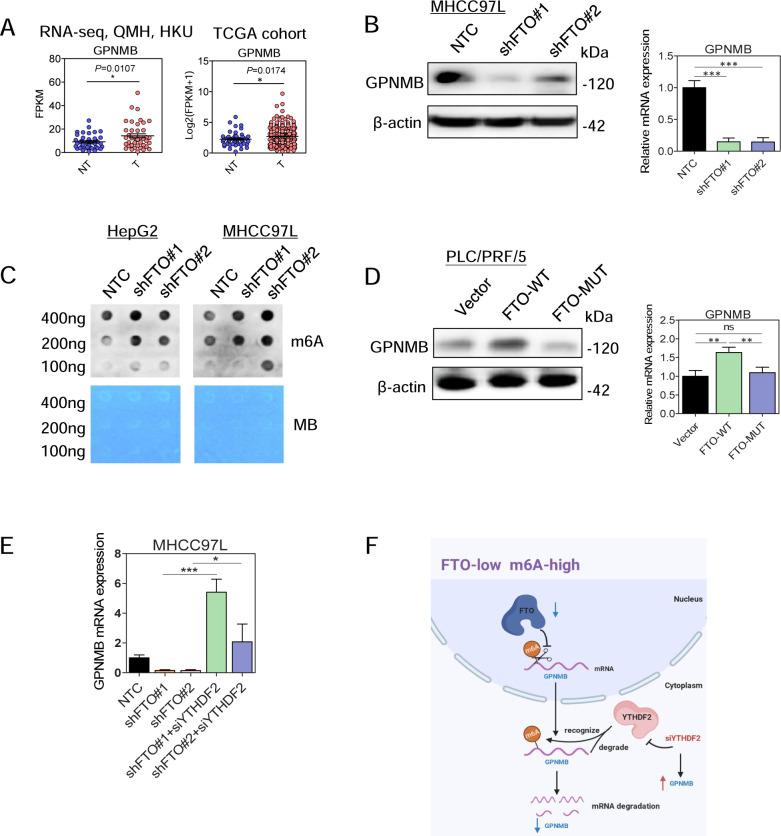
Fat mass and obesity-associated protein (FTO), an eraser of -methyadenosine (m6A), plays oncogenic roles in various cancers. However, its role in hepatocellular carcinoma (HCC) is unclear. Furthermore, small extracellular vesicles (sEVs, or exosomes) are critical mediators of tumourigenesis and metastasis, but the relationship between FTO-mediated m6A modification and sEVs in HCC is unknown.

DESIGN

The functions and mechanisms of FTO and glycoprotein non-metastatic melanoma protein B (GPNMB) in HCC progression were investigated in vitro and in vivo. Neutralising antibody of syndecan-4 (SDC4) was used to assess the significance of sEV-GPNMB. FTO inhibitor CS2 was used to examine the effects on anti-PD-1 and sorafenib treatment.

RESULTS

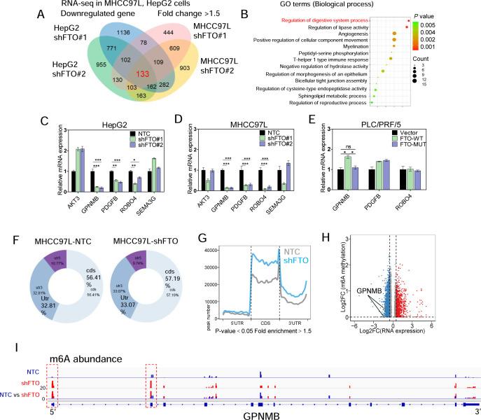
FTO expression was upregulated in patient HCC tumours. Functionally, FTO promoted HCC cell proliferation, migration and invasion in vitro, and tumour growth and metastasis in vivo. FTO knockdown enhanced the activation and recruitment of tumour-infiltrating CD8 T cells. Furthermore, we identified GPNMB to be a downstream target of FTO, which reduced the m6A abundance of GPNMB, hence, stabilising it from degradation by YTH -methyladenosine RNA binding protein F2. Of note, GPNMB was packaged into sEVs derived from HCC cells and bound to the surface receptor SDC4 of CD8 T cells, resulting in the inhibition of CD8 T cell activation. A potential FTO inhibitor, CS2, suppresses the oncogenic functions of HCC cells and enhances the sensitivity of anti-PD-1 and sorafenib treatment.

CONCLUSION

Targeting the FTO/m6A/GPNMB axis could significantly suppress tumour growth and metastasis, and enhance immune activation, highlighting the potential of targeting FTO signalling with effective inhibitors for HCC therapy.

摘要

目的

脂肪量与肥胖相关蛋白(FTO)是一种N6-甲基腺苷(m6A)去甲基化酶,在多种癌症中发挥致癌作用。然而,其在肝细胞癌(HCC)中的作用尚不清楚。此外,小细胞外囊泡(sEVs,即外泌体)是肿瘤发生和转移的关键介质,但HCC中FTO介导的m6A修饰与sEVs之间的关系尚不清楚。

设计

在体外和体内研究FTO和糖蛋白非转移性黑色素瘤蛋白B(GPNMB)在HCC进展中的功能和机制。使用syndecan-4(SDC4)中和抗体评估sEV-GPNMB的意义。使用FTO抑制剂CS2检测其对抗程序性死亡蛋白1(anti-PD-1)和索拉非尼治疗的影响。

结果

FTO在患者HCC肿瘤中表达上调。在功能上,FTO促进体外HCC细胞增殖、迁移和侵袭,以及体内肿瘤生长和转移。FTO基因敲低增强了肿瘤浸润性CD8+T细胞的活化和募集。此外,我们确定GPNMB是FTO的下游靶点,FTO降低了GPNMB的m6A丰度,从而使其免受YTH N6-甲基腺苷RNA结合蛋白F2介导的降解。值得注意的是,GPNMB被包装到源自HCC细胞的sEVs中,并与CD8+T细胞的表面受体SDC4结合,导致CD8+T细胞活化受到抑制。一种潜在的FTO抑制剂CS2可抑制HCC细胞的致癌功能,并增强anti-PD-1和索拉非尼治疗的敏感性。

结论

靶向FTO/m6A/GPNMB轴可显著抑制肿瘤生长和转移,并增强免疫激活,凸显了用有效抑制剂靶向FTO信号通路用于HCC治疗的潜力。

https://cdn.ncbi.nlm.nih.gov/pmc/blobs/db96/11672076/1fb137da3d12/gutjnl-74-1-g001.jpg

文献AI研究员

20分钟写一篇综述,助力文献阅读效率提升50倍。

立即体验

用中文搜PubMed

大模型驱动的PubMed中文搜索引擎

马上搜索

文档翻译

学术文献翻译模型,支持多种主流文档格式。

立即体验