Suppr超能文献

NSUN2/YBX1 通过 mC 甲基化增强 HGH1 mRNA 稳定性促进乳腺癌的进展。

NSUN2/YBX1 promotes the progression of breast cancer by enhancing HGH1 mRNA stability through mC methylation.

机构信息

Department of Pharmacy, The First Affiliated Hospital of Zhengzhou University, No.1 Jianshedong Rd, Zhengzhou, Henan, 450052, China.

Henan Key Laboratory of Precision Clinical Pharmacy, Zhengzhou University, Zhengzhou, Henan, 450052, China.

出版信息

Breast Cancer Res. 2024 Jun 6;26(1):94. doi: 10.1186/s13058-024-01847-0.

Abstract

BACKGROUND

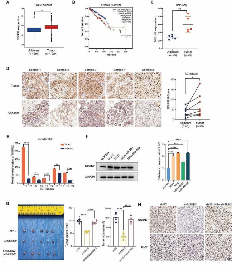
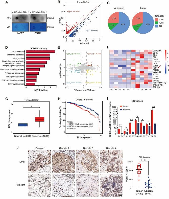
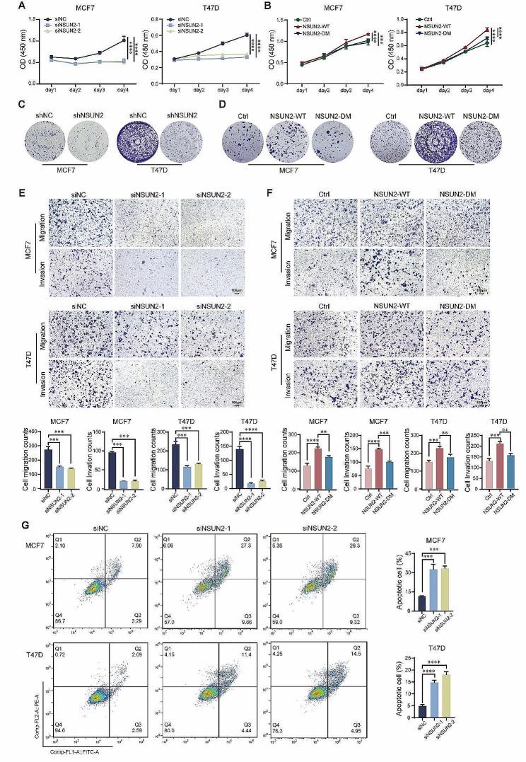
RNA mC methylation has been extensively implicated in the occurrence and development of tumors. As the main methyltransferase, NSUN2 plays a crucial regulatory role across diverse tumor types. However, the precise impact of NSUN2-mediated mC modification on breast cancer (BC) remains unclear. Our study aims to elucidate the molecular mechanism underlying how NSUN2 regulates the target gene HGH1 (also known as FAM203) through mC modification, thereby promoting BC progression. Additionally, this study targets at preliminarily clarifying the biological roles of NSUN2 and HGH1 in BC.

METHODS

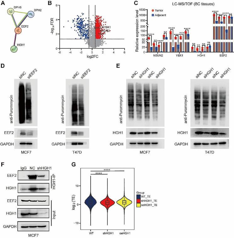
Tumor and adjacent tissues from 5 BC patients were collected, and the mC modification target HGH1 in BC was screened through RNA sequencing (RNA-seq) and single-base resolution mC methylation sequencing (RNA-BisSeq). Methylation RNA immunoprecipitation-qPCR (MeRIP-qPCR) and RNA-binding protein immunoprecipitation-qPCR (RIP-qPCR) confirmed that the methylation molecules NSUN2 and YBX1 specifically recognized and bound to HGH1 through mC modification. In addition, proteomics, co-immunoprecipitation (co-IP), and Ribosome sequencing (Ribo-Seq) were used to explore the biological role of HGH1 in BC.

RESULTS

As the main mC methylation molecule, NSUN2 is abnormally overexpressed in BC and increases the overall level of RNA mC. Knocking down NSUN2 can inhibit BC progression in vitro or in vivo. Combined RNA-seq and RNA-BisSeq analysis identified HGH1 as a potential target of abnormal mC modifications. We clarified the mechanism by which NSUN2 regulates HGH1 expression through mC modification, a process that involves interactions with the YBX1 protein, which collectively impacts mRNA stability and protein synthesis. Furthermore, this study is the first to reveal the binding interaction between HGH1 and the translation elongation factor EEF2, providing a comprehensive understanding of its ability to regulate transcript translation efficiency and protein synthesis in BC cells.

CONCLUSIONS

This study preliminarily clarifies the regulatory role of the NSUN2-YBX1-mC-HGH1 axis from post-transcriptional modification to protein translation, revealing the key role of abnormal RNA mC modification in BC and suggesting that HGH1 may be a new epigenetic biomarker and potential therapeutic target for BC.

摘要

背景

RNA mC 甲基化广泛参与肿瘤的发生和发展。作为主要的甲基转移酶,NSUN2 在多种肿瘤类型中发挥着关键的调节作用。然而,NSUN2 介导的 mC 修饰对乳腺癌(BC)的具体影响尚不清楚。本研究旨在阐明 NSUN2 通过 mC 修饰调控靶基因 HGH1(也称为 FAM203)的分子机制,从而促进 BC 的进展。此外,本研究旨在初步阐明 NSUN2 和 HGH1 在 BC 中的生物学作用。

方法

收集 5 例 BC 患者的肿瘤和相邻组织,通过 RNA 测序(RNA-seq)和单碱基分辨率 mC 甲基化测序(RNA-BisSeq)筛选 BC 中的 mC 修饰靶基因 HGH1。甲基化 RNA 免疫沉淀-qPCR(MeRIP-qPCR)和 RNA 结合蛋白免疫沉淀-qPCR(RIP-qPCR)证实,甲基化分子 NSUN2 和 YBX1 通过 mC 修饰特异性识别和结合 HGH1。此外,蛋白质组学、共免疫沉淀(co-IP)和核糖体测序(Ribo-Seq)用于探索 HGH1 在 BC 中的生物学作用。

结果

作为主要的 mC 甲基化分子,NSUN2 在 BC 中异常过表达,增加了 RNA mC 的整体水平。敲低 NSUN2 可抑制体外或体内 BC 的进展。结合 RNA-seq 和 RNA-BisSeq 分析,鉴定出 HGH1 是异常 mC 修饰的潜在靶基因。我们阐明了 NSUN2 通过 mC 修饰调节 HGH1 表达的机制,该过程涉及与 YBX1 蛋白的相互作用,共同影响 mRNA 稳定性和蛋白质合成。此外,本研究首次揭示了 HGH1 与翻译延伸因子 EEF2 的结合相互作用,全面了解其调节 BC 细胞中转录物翻译效率和蛋白质合成的能力。

结论

本研究初步阐明了 NSUN2-YBX1-mC-HGH1 轴从转录后修饰到蛋白质翻译的调控作用,揭示了异常 RNA mC 修饰在 BC 中的关键作用,并表明 HGH1 可能是 BC 的新表观遗传生物标志物和潜在治疗靶点。

https://cdn.ncbi.nlm.nih.gov/pmc/blobs/4646/11155144/1237582343fd/13058_2024_1847_Fig1_HTML.jpg

文献AI研究员

20分钟写一篇综述,助力文献阅读效率提升50倍。

立即体验

用中文搜PubMed

大模型驱动的PubMed中文搜索引擎

马上搜索

文档翻译

学术文献翻译模型,支持多种主流文档格式。

立即体验