Suppr超能文献

中国一种新型高致病性肾病变型 QX 样传染性支气管炎病毒源于 GI-13 和 GI-19 基因型毒株的重组。

A novel highly virulent nephropathogenic QX-like infectious bronchitis virus originating from recombination of GI-13 and GI-19 genotype strains in China.

机构信息

College of Animal Science and Technology, Guangxi University, Nanning 530004, PR China.

College of Animal Science and Technology, Guangxi University, Nanning 530004, PR China; Guangxi Zhuang Autonomous Region Engineering Research Center of Veterinary Biologics, Nanning 530004, PR China; Guangxi Key Laboratory of Animal Reproduction, Breeding and Disease Control, Nanning 530004, PR China.

出版信息

Poult Sci. 2024 Aug;103(8):103881. doi: 10.1016/j.psj.2024.103881. Epub 2024 May 23.

Abstract

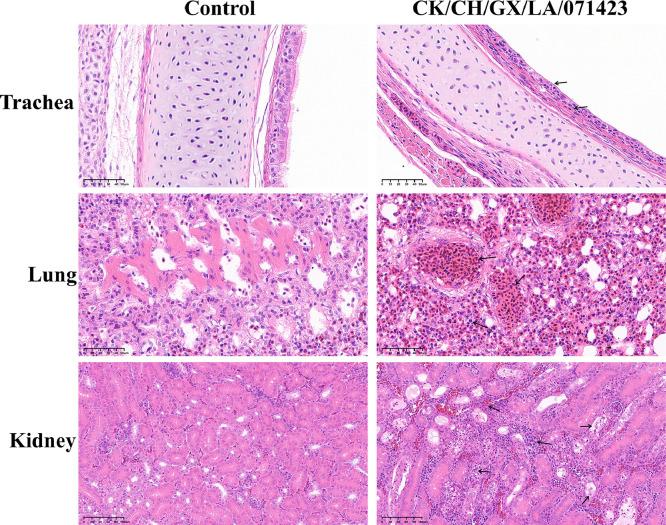
Infectious bronchitis virus (IBV) is one of the most widely spread RNA viruses, causing respiratory, renal, and intestinal damage, as well as decreased reproductive performance in hens, leading to significant economic losses in the poultry industry. In this study, a new IBV strain designated as CK/CH/GX/LA/071423 was successfully isolated from the 60-day-old Three-Yellow chicken vaccinated with H120 and QXL87 vaccines. The complete genome sequence analysis revealed that the CK/CH/GX/LA/071423 strain shared a high similarity of 96.7% with the YX10 strain belonging to the GI-19 genotype. Genetic evolution analysis based on the IBV S1 gene showed that the CK/CH/GX/LA/071423 isolate belonged to the GI-19 genotype. Recombination analysis of the virus genome using RDP and Simplot software indicated that CK/CH/GX/LA/071423 was derived from recombination events between the YX10 and 4/91 vaccine strains, which was supported by phylogenetic analysis using gene sequences from the 3 regions. Furthermore, the S1 protein tertiary structure differences were observed between the CK/CH/GX/LA/071423 and the QXL87 and H120 vaccine strains. Pathogenicity studies revealed that the CK/CH/GX/LA/071423 caused death and led to pale and enlarged kidneys with abundant urate deposits, indicative of a nephropathogenic IBV strain. High virus titers were detected in the trachea, kidneys, and cecal tonsils, demonstrating broad tissue tropism. Throughout the experimental period, the virus positive rate in throat swabs of the infected group reached to 100%. These findings highlight the continued predominance of the QX genotype IBV in Guangxi of China and the ongoing evolution of different genotypes through genetic recombination, raising concerns about the efficacy of current IBV vaccines in providing effective protection to poultry.

摘要

传染性支气管炎病毒(IBV)是一种广泛传播的 RNA 病毒,可导致呼吸、肾脏和肠道损伤,以及母鸡繁殖性能下降,给家禽业造成重大经济损失。在这项研究中,从接种 H120 和 QXL87 疫苗的 60 日龄三黄鸡中成功分离到一株新的 IBV 株,命名为 CK/CH/GX/LA/071423。全基因组序列分析表明,CK/CH/GX/LA/071423 株与 GI-19 基因型的 YX10 株同源性高达 96.7%。基于 IBV S1 基因的遗传进化分析表明,CK/CH/GX/LA/071423 分离株属于 GI-19 基因型。使用 RDP 和 Simplot 软件对病毒基因组进行重组分析表明,CK/CH/GX/LA/071423 是由 YX10 和 4/91 疫苗株之间的重组事件产生的,这一结果得到了来自 3 个区域基因序列的系统进化分析的支持。此外,还观察到 CK/CH/GX/LA/071423 与 QXL87 和 H120 疫苗株之间 S1 蛋白三级结构的差异。致病性研究表明,CK/CH/GX/LA/071423 引起死亡,并导致肾脏苍白肿大,尿酸盐沉积丰富,表明这是一株肾致病性 IBV 株。在气管、肾脏和盲肠扁桃体中检测到高病毒滴度,表明具有广泛的组织嗜性。在整个实验期间,感染组的咽喉拭子病毒阳性率达到 100%。这些发现突显了 QX 基因型 IBV 在中国广西的持续优势,以及不同基因型通过遗传重组不断进化,这引起了人们对当前 IBV 疫苗在为家禽提供有效保护方面的效力的关注。

https://cdn.ncbi.nlm.nih.gov/pmc/blobs/fdf7/11223121/d798dd8213d9/gr1.jpg

文献AI研究员

20分钟写一篇综述,助力文献阅读效率提升50倍。

立即体验

用中文搜PubMed

大模型驱动的PubMed中文搜索引擎

马上搜索

文档翻译

学术文献翻译模型,支持多种主流文档格式。

立即体验