Suppr超能文献

胃 SMARCA4 缺陷未分化肿瘤(SMARCA4-UT):四例罕见病例的临床病理分析。

Gastric SMARCA4-deficient undifferentiated tumor (SMARCA4-UT): a clinicopathological analysis of four rare cases.

机构信息

Department of Pathology, West China Hospital, Sichuan University, No. 37 Guo Xue Xiang, Chengdu, 610041, Sichuan, P.R. China.

出版信息

Orphanet J Rare Dis. 2024 Jun 14;19(1):237. doi: 10.1186/s13023-024-03244-4.

Abstract

BACKGROUND

SMARCA4, as one of the subunits of the SWI/SNF chromatin remodeling complex, drives SMARCA4-deficient tumors. Gastric SMARCA4-deficient tumors may include gastric SMARCA4-deficient carcinoma and gastric SMARCA4-deficient undifferentiated tumor (SMARCA4-UT). Gastric SMARCA4-UT is rare and challenging to diagnose in clinical practice. The present report aims to provide insight into the clinicopathological characteristics and genetic alterations of gastric SMARCA4-UTs.

RESULTS

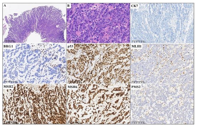
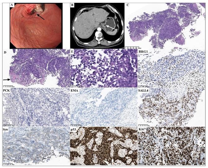
We retrospectively reported four rare cases of gastric SMARCA4-UTs. All four cases were male, aged between 61 and 82 years. These tumors presented as ulcerated and transmural masses with infiltration, staged as TNM IV in cases 1, 2 and 4, and TNM IIIA in case 3. Pathologically, four cases presented solid architecture with undifferentiated morphology. Cases 2 and 3 showed focal necrosis and focal rhabdoid morphology. Immunohistochemical staining showed negative expression of epithelial markers and deficient expression of SMARCA4. Furthermore, positivity for Syn (cases 1, 2 and 3) and SALL4 (cases 1 and 2) were observed. Mutant p53 expression occurred in four cases, resulting in strong and diffuse staining of p53 expression in cases 1, 2 and 4, and complete loss in case 3. The Ki67 proliferative index exceeded 80%. 25% (1/4, case 4) of cases had mismatch repair deficiency (dMMR). Two available cases (cases 1 and 3) were detected with SMRACA4 gene alterations. The response to neoadjuvant therapy was ineffective in case 1.

CONCLUSIONS

Gastric SMARCA4-UT is a rare entity of gastric cancer with a poor prognosis, predominantly occurs in male patients. The tumors are typically diagnosed at advanced stages and shows a solid architecture with undifferentiated morphology. Negative expression of epithelial markers and complete loss of SMARCA4 immunoexpression are emerging as a useful diagnostic tool for rare gastric SMARCA4-UTs.

摘要

背景

SMARCA4 作为 SWI/SNF 染色质重塑复合物的一个亚基,驱动了 SMARCA4 缺陷型肿瘤的发生。胃 SMARCA4 缺陷型肿瘤可能包括胃 SMARCA4 缺陷型癌和胃 SMARCA4 缺陷型未分化肿瘤(SMARCA4-UT)。胃 SMARCA4-UT 较为罕见,临床诊断极具挑战性。本研究旨在深入探讨胃 SMARCA4-UT 的临床病理特征和基因改变。

结果

我们回顾性报道了 4 例罕见的胃 SMARCA4-UT 病例。4 例患者均为男性,年龄 61-82 岁。这些肿瘤表现为溃疡型、穿透性生长的肿块,伴有浸润,病例 1、2 和 4 的分期为 TNM IV 期,病例 3 的分期为 TNM IIIA 期。病理上,4 例肿瘤呈实性结构,形态未分化。病例 2 和 3 显示局灶性坏死和局灶性横纹肌样形态。免疫组化染色显示上皮标志物阴性表达和 SMARCA4 表达缺失。此外,Syn(病例 1、2 和 3)和 SALL4(病例 1 和 2)阳性。4 例均有突变型 p53 表达,导致病例 1、2 和 4 的 p53 表达强阳性且弥漫性染色,病例 3 则完全缺失。Ki67 增殖指数>80%。4 例中有 25%(1/4,病例 4)存在错配修复缺陷(dMMR)。2 例可检测的病例(病例 1 和 3)存在 SMRACA4 基因改变。病例 1 的新辅助治疗反应无效。

结论

胃 SMARCA4-UT 是一种罕见的胃癌实体瘤,预后不良,主要发生于男性患者。肿瘤通常在晚期诊断,呈实性结构,形态未分化。上皮标志物阴性表达和 SMARCA4 免疫表达缺失可作为诊断罕见胃 SMARCA4-UT 的有用工具。

https://cdn.ncbi.nlm.nih.gov/pmc/blobs/6594/11179226/840c8be483ca/13023_2024_3244_Fig1_HTML.jpg

文献AI研究员

20分钟写一篇综述,助力文献阅读效率提升50倍。

立即体验

用中文搜PubMed

大模型驱动的PubMed中文搜索引擎

马上搜索

文档翻译

学术文献翻译模型,支持多种主流文档格式。

立即体验