Suppr超能文献

探索硅量子点在小鼠体内的肺和脾毒性特征

Exploring In Vivo Pulmonary and Splenic Toxicity Profiles of Silicon Quantum Dots in Mice.

作者信息

Cristian Roxana-Elena, Balta Cornel, Herman Hildegard, Ciceu Alina, Trica Bogdan, Sbarcea Beatrice G, Miutescu Eftimie, Hermenean Anca, Dinischiotu Anca, Stan Miruna S

机构信息

Department of Biochemistry and Molecular Biology, Faculty of Biology, University of Bucharest, 91-95 Splaiul Independentei, 050095 Bucharest, Romania.

DANUBIUS Department, National Institute of Research and Development for Biological Sciences, Splaiul Independentei 296, 060031 Bucharest, Romania.

出版信息

Materials (Basel). 2024 Jun 6;17(11):2778. doi: 10.3390/ma17112778.

Abstract

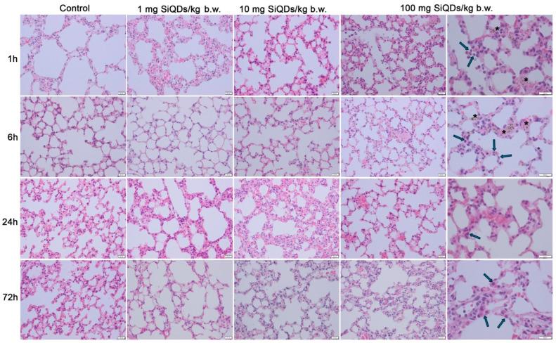
Silicon-based quantum dots (SiQDs) represent a special class of nanoparticles due to their low toxicity and easily modifiable surface properties. For this reason, they are used in applications such as bioimaging, fluorescent labeling, drug delivery, protein detection techniques, and tissue engineering despite a serious lack of information on possible in vivo effects. The present study aimed to characterize and evaluate the in vivo toxicity of SiQDs obtained by laser ablation in the lung and spleen of mice. The particles were administered in three different doses (1, 10, and 100 mg QDs/kg of body weight) by intravenous injection into the caudal vein of Swiss mice. After 1, 6, 24, and 72 h, the animals were euthanized, and the lung and spleen tissues were harvested for the evaluation of antioxidant enzyme activity, lipid peroxidation, protein expression, and epigenetic and morphological changes. The obtained results highlighted a low toxicity in pulmonary and splenic tissues for concentrations up to 10 mg SiQDs/kg body, demonstrated by biochemical and histopathological analysis. Therefore, our study brings new experimental evidence on the biocompatibility of this type of QD, suggesting the possibility of expanding research on the biomedical applications of SiQDs.

摘要

硅基量子点(SiQDs)由于其低毒性和易于修饰的表面性质,代表了一类特殊的纳米颗粒。因此,尽管关于其可能的体内效应的信息严重不足,但它们仍被用于生物成像、荧光标记、药物递送、蛋白质检测技术和组织工程等应用中。本研究旨在表征和评估通过激光烧蚀获得的SiQDs在小鼠肺和脾中的体内毒性。通过静脉注射将颗粒以三种不同剂量(1、10和100 mg QDs/kg体重)注入瑞士小鼠的尾静脉。在1、6、24和72小时后,对动物实施安乐死,并采集肺和脾组织以评估抗氧化酶活性、脂质过氧化、蛋白质表达以及表观遗传和形态学变化。生化和组织病理学分析表明,对于浓度高达10 mg SiQDs/kg体重的情况,所获得的结果突出显示了肺和脾组织中的低毒性。因此,我们的研究为这类量子点的生物相容性带来了新的实验证据,表明有可能扩大对SiQDs生物医学应用的研究。

https://cdn.ncbi.nlm.nih.gov/pmc/blobs/ae5f/11173407/97e9b0a668a3/materials-17-02778-g001.jpg

文献AI研究员

20分钟写一篇综述,助力文献阅读效率提升50倍。

立即体验

用中文搜PubMed

大模型驱动的PubMed中文搜索引擎

马上搜索

文档翻译

学术文献翻译模型,支持多种主流文档格式。

立即体验