Suppr超能文献

氨基酸透明质酸片段对抗面部皮肤衰老的功效:超声和组织学研究。

The efficacy of hyaluronic acid fragments with amino acid in combating facial skin aging: an ultrasound and histological study.

机构信息

Department of Medical, Oral and Biotechnological Sciences, University of Chieti-Pescara, Strada Marcello Mucci 38/B, 66100, Chieti, Italy.

Department of Dentistry, Faculty of Medical Sciences, Albanian University, 1001, Tirana, Albania.

出版信息

J Ultrasound. 2024 Sep;27(3):689-697. doi: 10.1007/s40477-024-00925-5. Epub 2024 Jun 24.

Abstract

BACKGROUND

Various techniques have been employed in aesthetic medicine to combat skin aging, in particular that of the facial region. Hyaluronic acid is utilized to enhance moisture levels and extracellular matrix molecules. This study aims to histologically assess the effects of low molecular weight hyaluronic acid fragments combined with amino acids (HAAM) on facial skin rejuvenation through intradermal microinjections.

METHODS

A total of twenty women, with an average age of 45 and ranging from 35 to 64 years old, participated in the study, including 8 in menopause and 12 in the childbearing age group. Mesotherapy was used to administer HAAM to the patients. Prior to and three months after the treatment, each patient underwent small circular punch biopsies. Ultrasound examinations were conducted using B-mode, capturing 2D images in longitudinal or transverse orientations with frequencies ranging from 5 to 13 Mega-hertz (MY LAB X8, ESAOTE, Genova, Italy). A total of 60 ultrasound examinations were taken, with 30 collected before treatment and 30 after treatment.

RESULTS

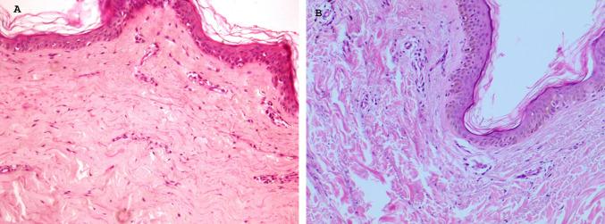
The histological analysis demonstrates an increase in fibroblast activity resulting in the production of Type III reticular collagen, as well as an increased number of blood vessels and epidermal thickness. However, the analysis of ultrasound data before and after treatment showed no statistical difference in skin thickness in malar area, chin and mandibular angle.

CONCLUSIONS

Histological assessments indicate that subcutaneous infiltration of HAAM has a substantial impact on the dermis of facial skin.

摘要

背景

各种技术已被应用于美容医学以对抗皮肤老化,特别是面部区域。透明质酸被用于提高水分水平和细胞外基质分子。本研究旨在通过皮内微注射评估低分子量透明质酸片段与氨基酸(HAAM)联合用于面部皮肤年轻化的组织学效果。

方法

共有 20 名女性参与了这项研究,平均年龄为 45 岁,年龄在 35 至 64 岁之间,包括 8 名处于绝经期和 12 名生育期。使用中胚层疗法将 HAAM 施用于患者。在治疗前和治疗后三个月,每位患者均接受了小圆形打孔活检。使用 B 模式进行超声检查,以 5 至 13 兆赫(MY LAB X8, ESAOTE, Genova,意大利)的频率获取纵向或横向的 2D 图像。总共进行了 60 次超声检查,其中 30 次在治疗前采集,30 次在治疗后采集。

结果

组织学分析表明成纤维细胞活性增加,导致 III 型网状胶原的产生,以及血管和表皮厚度的增加。然而,治疗前后的超声数据分析显示,在颧骨、下巴和下颌角区域的皮肤厚度没有统计学差异。

结论

组织学评估表明,HAAM 的皮下渗透对面部皮肤的真皮有很大影响。

https://cdn.ncbi.nlm.nih.gov/pmc/blobs/a271/11333785/3d447f8fd0a5/40477_2024_925_Fig1_HTML.jpg

文献AI研究员

20分钟写一篇综述,助力文献阅读效率提升50倍。

立即体验

用中文搜PubMed

大模型驱动的PubMed中文搜索引擎

马上搜索

文档翻译

学术文献翻译模型,支持多种主流文档格式。

立即体验