Suppr超能文献

缺失 Kmt2c 或 Kmt2d 通过依赖于 KDM6A 的 MMP3 上调驱动脑转移。

Loss of Kmt2c or Kmt2d drives brain metastasis via KDM6A-dependent upregulation of MMP3.

机构信息

Department of Medical Oncology, Dana-Farber Cancer Institute, Boston, MA, USA.

Department of Medicine, Brigham and Women's Hospital, Boston, MA, USA.

出版信息

Nat Cell Biol. 2024 Jul;26(7):1165-1175. doi: 10.1038/s41556-024-01446-3. Epub 2024 Jun 26.

Abstract

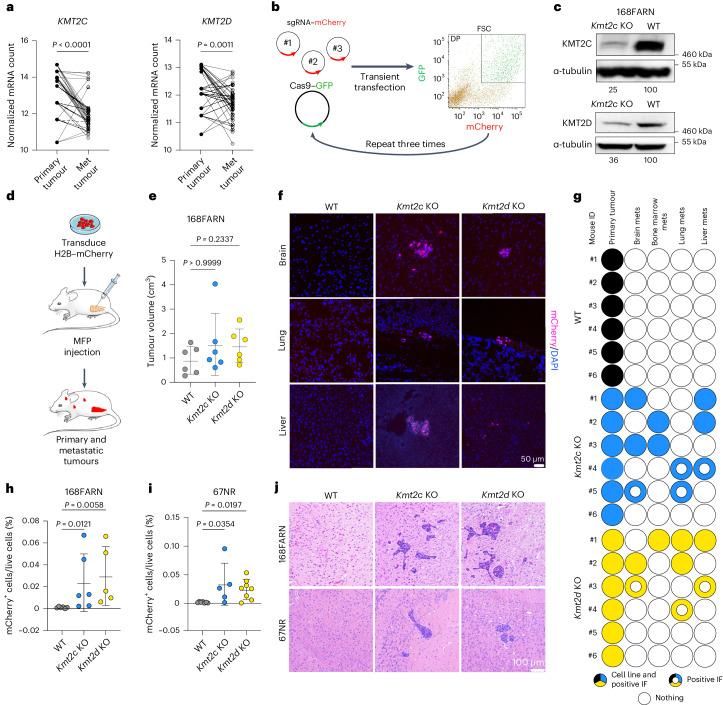
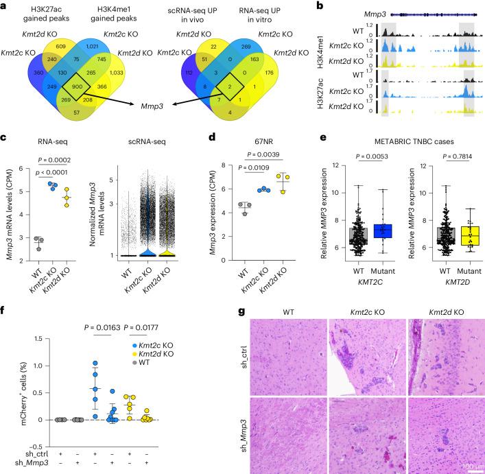
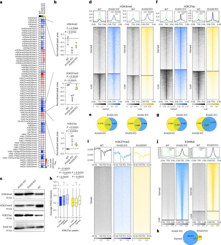
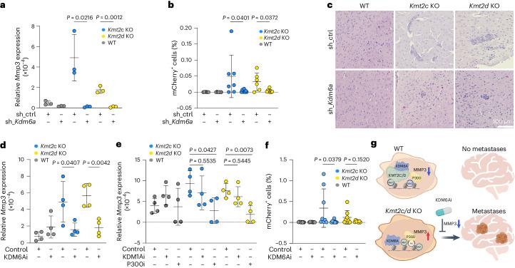
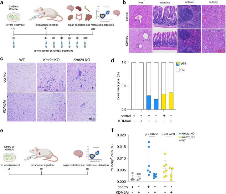
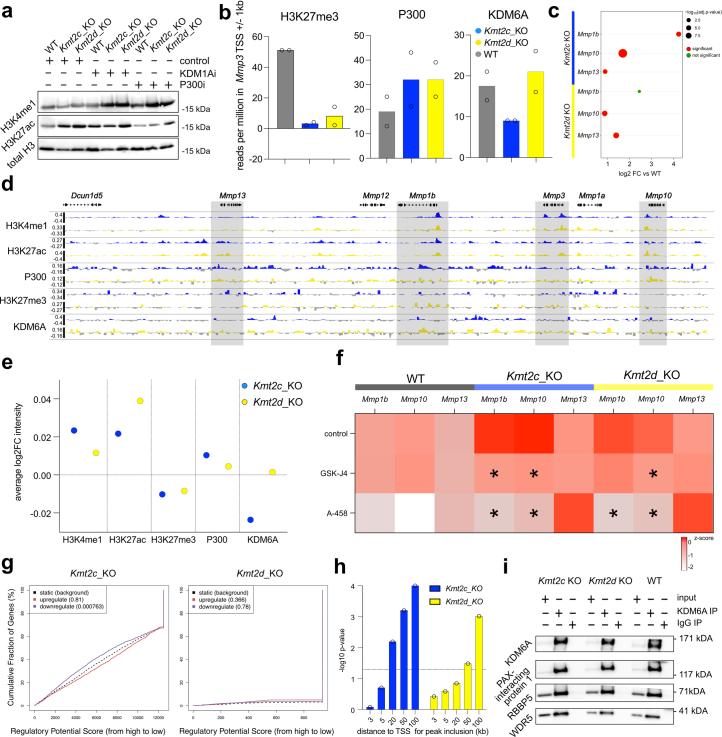
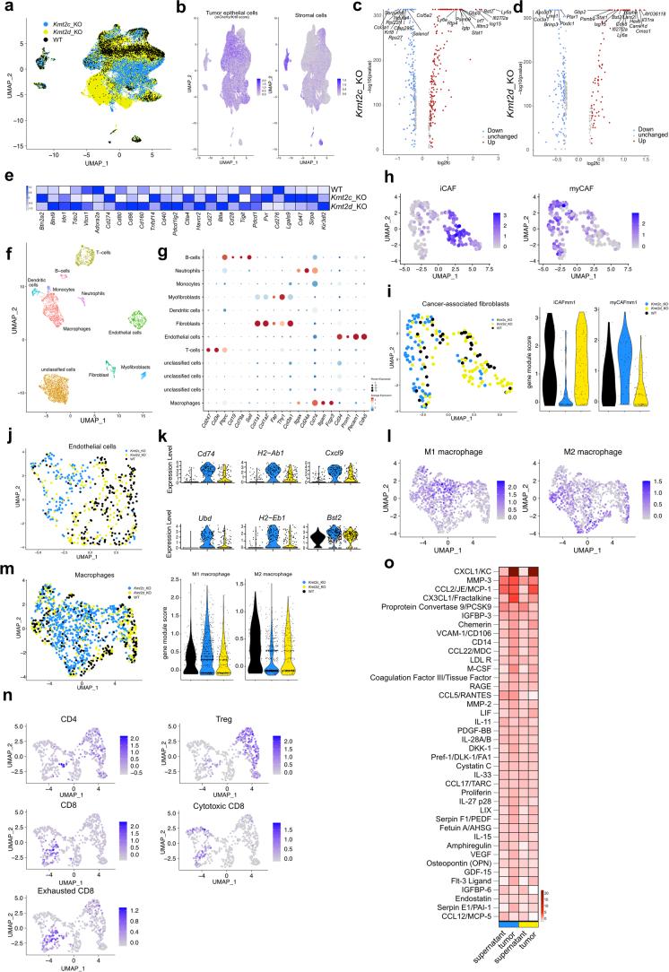
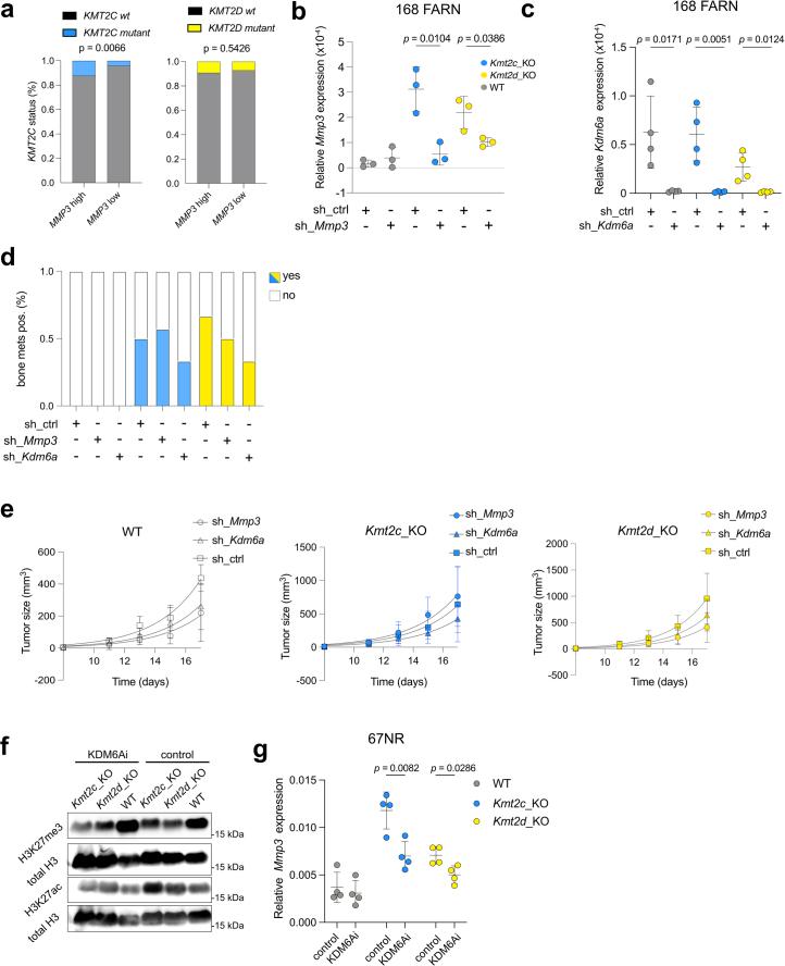
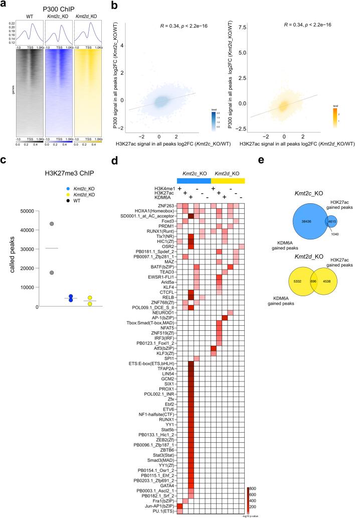
KMT2C and KMT2D, encoding histone H3 lysine 4 methyltransferases, are among the most commonly mutated genes in triple-negative breast cancer (TNBC). However, how these mutations may shape epigenomic and transcriptomic landscapes to promote tumorigenesis is largely unknown. Here we describe that deletion of Kmt2c or Kmt2d in non-metastatic murine models of TNBC drives metastasis, especially to the brain. Global chromatin profiling and chromatin immunoprecipitation followed by sequencing revealed altered H3K4me1, H3K27ac and H3K27me3 chromatin marks in knockout cells and demonstrated enhanced binding of the H3K27me3 lysine demethylase KDM6A, which significantly correlated with gene expression. We identified Mmp3 as being commonly upregulated via epigenetic mechanisms in both knockout models. Consistent with these findings, samples from patients with KMT2C-mutant TNBC have higher MMP3 levels. Downregulation or pharmacological inhibition of KDM6A diminished Mmp3 upregulation induced by the loss of histone-lysine N-methyltransferase 2 (KMT2) and prevented brain metastasis similar to direct downregulation of Mmp3. Taken together, we identified the KDM6A-matrix metalloproteinase 3 axis as a key mediator of KMT2C/D loss-driven metastasis in TNBC.

摘要

KMT2C 和 KMT2D 编码组蛋白 H3 赖氨酸 4 甲基转移酶,是三阴性乳腺癌(TNBC)中最常突变的基因之一。然而,这些突变如何塑造表观基因组和转录组景观以促进肿瘤发生在很大程度上是未知的。在这里,我们描述了 Kmt2c 或 Kmt2d 在非转移性 TNBC 小鼠模型中的缺失会驱动转移,特别是向大脑转移。全基因组染色质分析和染色质免疫沉淀测序显示,敲除细胞中的 H3K4me1、H3K27ac 和 H3K27me3 染色质标记发生改变,并证明 H3K27me3 赖氨酸去甲基酶 KDM6A 的结合增强,这与基因表达显著相关。我们发现 Mmp3 是通过两种敲除模型中的表观遗传机制共同上调的。与这些发现一致,KMT2C 突变型 TNBC 患者的样本中 MMP3 水平更高。下调或药理学抑制 KDM6A 可减弱组蛋白赖氨酸 N-甲基转移酶 2(KMT2)缺失诱导的 Mmp3 上调,并阻止脑转移,类似于直接下调 Mmp3。总之,我们确定了 KDM6A-基质金属蛋白酶 3 轴作为 KMT2C/D 缺失驱动 TNBC 转移的关键介质。

https://cdn.ncbi.nlm.nih.gov/pmc/blobs/c956/11251985/94221e08f742/41556_2024_1446_Fig1_HTML.jpg

文献AI研究员

20分钟写一篇综述,助力文献阅读效率提升50倍。

立即体验

用中文搜PubMed

大模型驱动的PubMed中文搜索引擎

马上搜索

文档翻译

学术文献翻译模型,支持多种主流文档格式。

立即体验