Suppr超能文献

低强度脉冲超声通过迁移小体介导的有丝分裂促进心肌缺血再灌注损伤。

Low-intensity pulsed ultrasound improves myocardial ischaemia‒reperfusion injury via migrasome-mediated mitocytosis.

机构信息

Department of Ultrasound, The Second Affiliated Hospital of Harbin Medical University, Harbin, China.

Ultrasound Molecular Imaging Joint Laboratory of Heilongjiang Province, Harbin, China.

出版信息

Clin Transl Med. 2024 Jul;14(7):e1749. doi: 10.1002/ctm2.1749.

Abstract

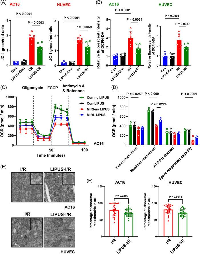
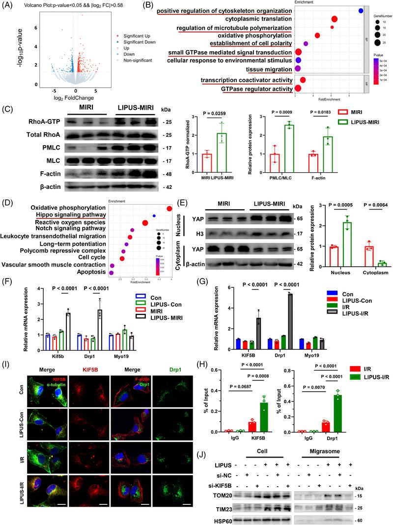
During myocardial ischaemia‒reperfusion injury (MIRI), the accumulation of damaged mitochondria could pose serious threats to the heart. The migrasomes, newly discovered mitocytosis-mediating organelles, selectively remove damaged mitochondria to provide mitochondrial quality control. Here, we utilised low-intensity pulsed ultrasound (LIPUS) on MIRI mice model and demonstrated that LIPUS reduced the infarcted area and improved cardiac dysfunction. Additionally, we found that LIPUS alleviated MIRI-induced mitochondrial dysfunction. We provided new evidence that LIPUS mechanical stimulation facilitated damaged mitochondrial excretion via migrasome-dependent mitocytosis. Inhibition the formation of migrasomes abolished the protective effect of LIPUS on MIRI. Mechanistically, LIPUS induced the formation of migrasomes by evoking the RhoA/Myosin II/F-actin pathway. Meanwhile, F-actin activated YAP nuclear translocation to transcriptionally activate the mitochondrial motor protein KIF5B and Drp1, which are indispensable for LIPUS-induced mitocytosis. These results revealed that LIPUS activates mitocytosis, a migrasome-dependent mitochondrial quality control mechanism, to protect against MIRI, underlining LIPUS as a safe and potentially non-invasive treatment for MIRI.

摘要

在心肌缺血再灌注损伤(MIRI)期间,受损线粒体的积累可能对心脏造成严重威胁。新发现的介导有丝分裂的细胞器迁移体,选择性地去除受损的线粒体,以提供线粒体质量控制。在这里,我们利用低强度脉冲超声(LIPUS)对 MIRI 小鼠模型进行了研究,结果表明 LIPUS 可减少梗死面积并改善心脏功能障碍。此外,我们发现 LIPUS 减轻了 MIRI 引起的线粒体功能障碍。我们提供了新的证据表明,LIPUS 的机械刺激通过迁移体依赖性有丝分裂促进受损线粒体的排出。抑制迁移体的形成会消除 LIPUS 对 MIRI 的保护作用。在机制上,LIPUS 通过引发 RhoA/肌球蛋白 II/F-肌动蛋白途径来诱导迁移体的形成。同时,F-肌动蛋白激活 YAP 的核转位,从而转录激活线粒体动力蛋白 KIF5B 和 Drp1,这对于 LIPUS 诱导的有丝分裂是必不可少的。这些结果表明,LIPUS 通过激活迁移体依赖的线粒体质量控制机制有丝分裂来保护 MIRI,强调了 LIPUS 作为一种安全且具有潜在非侵入性的 MIRI 治疗方法的潜力。

https://cdn.ncbi.nlm.nih.gov/pmc/blobs/f184/11216834/08a806407880/CTM2-14-e1749-g002.jpg

文献AI研究员

20分钟写一篇综述,助力文献阅读效率提升50倍。

立即体验

用中文搜PubMed

大模型驱动的PubMed中文搜索引擎

马上搜索

文档翻译

学术文献翻译模型,支持多种主流文档格式。

立即体验