Suppr超能文献

从 Caralluma Arabica 中分离得到的阿拉伯糖苷 B 增强了大鼠模型中的伤口愈合潜力;在兽医实践中可能成为一种敷料。

Enhanced wound healing potential of arabincoside B isolated from Caralluma Arabica in rat model; a possible dressing in veterinary practice.

机构信息

Department of Pathology, Faculty of Veterinary Medicine, Cairo University, Giza, 12211, Egypt.

Department of Pharmacognosy, Faculty of Pharmacy, Cairo University, Cairo, 11562, Egypt.

出版信息

BMC Vet Res. 2024 Jun 29;20(1):282. doi: 10.1186/s12917-024-04128-2.

Abstract

BACKGROUND

Wound management is a critical procedure in veterinary practice. A wound is an injury that requires the body's cells' alignment to break down due to external assault, such as trauma, burns, accidents, and diseases. Re-epithelization, extracellular matrix deposition, especially collagen, inflammatory cell infiltration, and development of new blood capillaries are the four features that are used to evaluate the healing process. Using a natural extract for wound management is preferred to avoid the side effects of synthetic drugs. The current study aimed to assess the effect of major pregnane glycoside arabincoside B (AR-B) isolated from Caralluma arabica (C. arabica) for the wound healing process.

METHOD

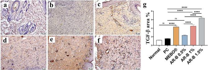
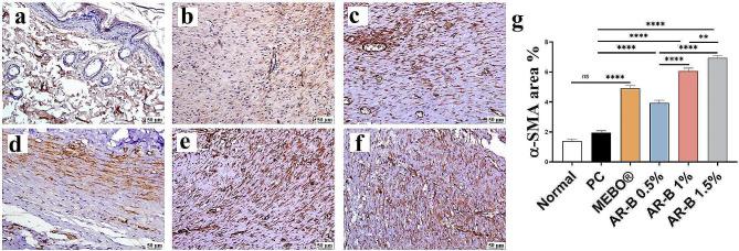
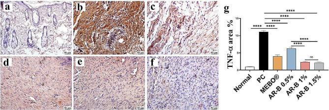
AR-B was loaded on a gel for wound application. Rats were randomly distributed into six groups: normal, positive control (PC), MEBO®, AR-B 0.5%, AR-B 1%, and AR-B 1.5%, to be 6 animals in each group. Wounds were initiated under anesthesia with a 1 cm diameter tissue needle, and treatments were applied daily for 14 days. The collected samples were tested for SOD, NO, and MDA. Gene expression of VEGF and Caspase-3. Histopathological evaluation was performed at two-time intervals (7 and 14 days), and immunohistochemistry was done to evaluate α -SMA, TGF-β, and TNF-α.

RESULT

It was found that AR-B treatment enhanced the wound healing process. AR-B treated groups showed reduced MDA and NO in tissue, and SOD activity was increased. Re-epithelization and extracellular matrix deposition were significantly improved, which was confirmed by the increase in TGF-β and α -SMA as well as increased collagen deposition. TNF-α was reduced, which indicated the subsiding of inflammation. VEGF and Caspase-3 expression were reduced.

CONCLUSION

Our findings confirmed the efficiency of AR-B in enhancing the process of wound healing and its potential use as a topical wound dressing in veterinary practice.

摘要

背景

伤口管理是兽医实践中的一个关键程序。伤口是一种由于外部攻击(如创伤、烧伤、事故和疾病)导致身体细胞排列解体的损伤。再上皮化、细胞外基质沉积,特别是胶原蛋白、炎症细胞浸润和新毛细血管的形成是评估愈合过程的四个特征。使用天然提取物进行伤口管理是首选,以避免合成药物的副作用。本研究旨在评估从 Caralluma arabica(C. arabica)中分离出的主要孕烷糖苷阿拉伯糖苷 B(AR-B)对伤口愈合过程的影响。

方法

将 AR-B 加载到用于伤口应用的凝胶上。将大鼠随机分为六组:正常组、阳性对照组(PC)、MEBO®、AR-B 0.5%、AR-B 1%和 AR-B 1.5%,每组 6 只动物。在麻醉下用 1cm 直径的组织针起始伤口,每天应用治疗 14 天。收集的样本用于测试 SOD、NO 和 MDA。检测 VEGF 和 Caspase-3 的基因表达。在两个时间间隔(7 天和 14 天)进行组织学评估,并进行免疫组织化学以评估α-SMA、TGF-β 和 TNF-α。

结果

发现 AR-B 治疗增强了伤口愈合过程。AR-B 治疗组的组织中 MDA 和 NO 减少,SOD 活性增加。再上皮化和细胞外基质沉积显著改善,这通过 TGF-β和α-SMA的增加以及胶原蛋白沉积的增加得到证实。TNF-α减少,表明炎症消退。VEGF 和 Caspase-3 的表达减少。

结论

我们的研究结果证实了 AR-B 增强伤口愈合过程的效率及其作为兽医实践中局部伤口敷料的潜在用途。

https://cdn.ncbi.nlm.nih.gov/pmc/blobs/5251/11218188/071a5aabfdf6/12917_2024_4128_Fig1_HTML.jpg

文献AI研究员

20分钟写一篇综述,助力文献阅读效率提升50倍。

立即体验

用中文搜PubMed

大模型驱动的PubMed中文搜索引擎

马上搜索

文档翻译

学术文献翻译模型,支持多种主流文档格式。

立即体验