Suppr超能文献

信号蛋白 Semaphorin 3C(Sema3C)重塑基质微环境以促进肝癌进展。

Semaphorin 3C (Sema3C) reshapes stromal microenvironment to promote hepatocellular carcinoma progression.

机构信息

Medical School, Southeast University, Nanjing, 210009, China.

Department of Ultrasound, State Key Laboratory of Complex Severe and Rare Diseases, Peking Union Medical College Hospital, Chinese Academy of Medical. Sciences, Peking Union Medical College, Beijing, 100730, China.

出版信息

Signal Transduct Target Ther. 2024 Jul 3;9(1):169. doi: 10.1038/s41392-024-01887-0.

Abstract

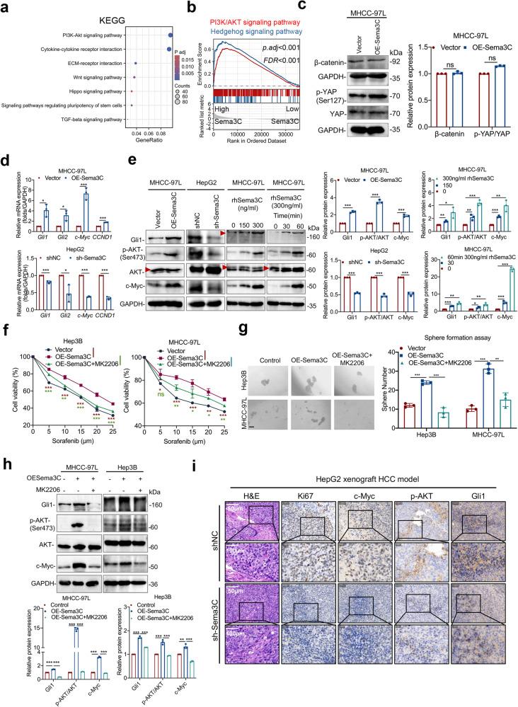
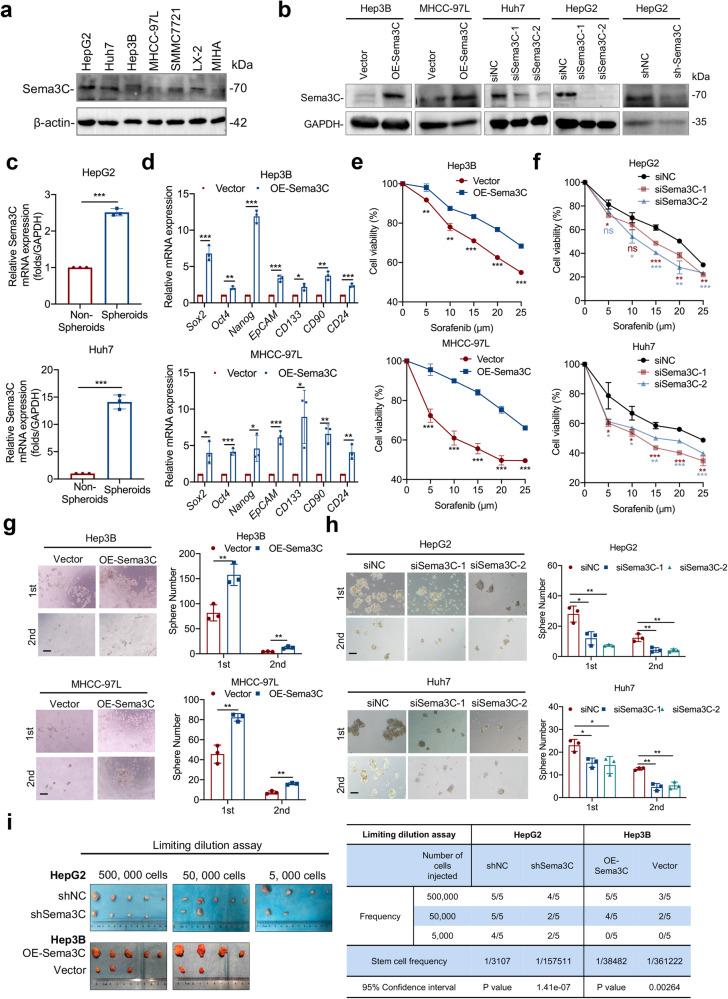
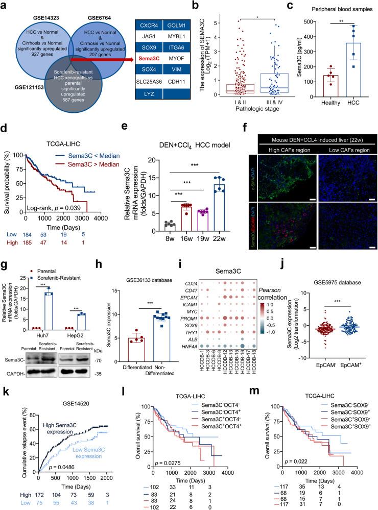
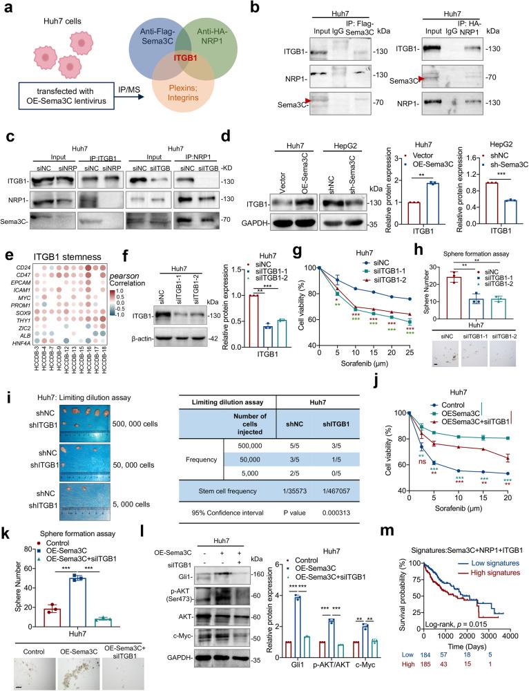
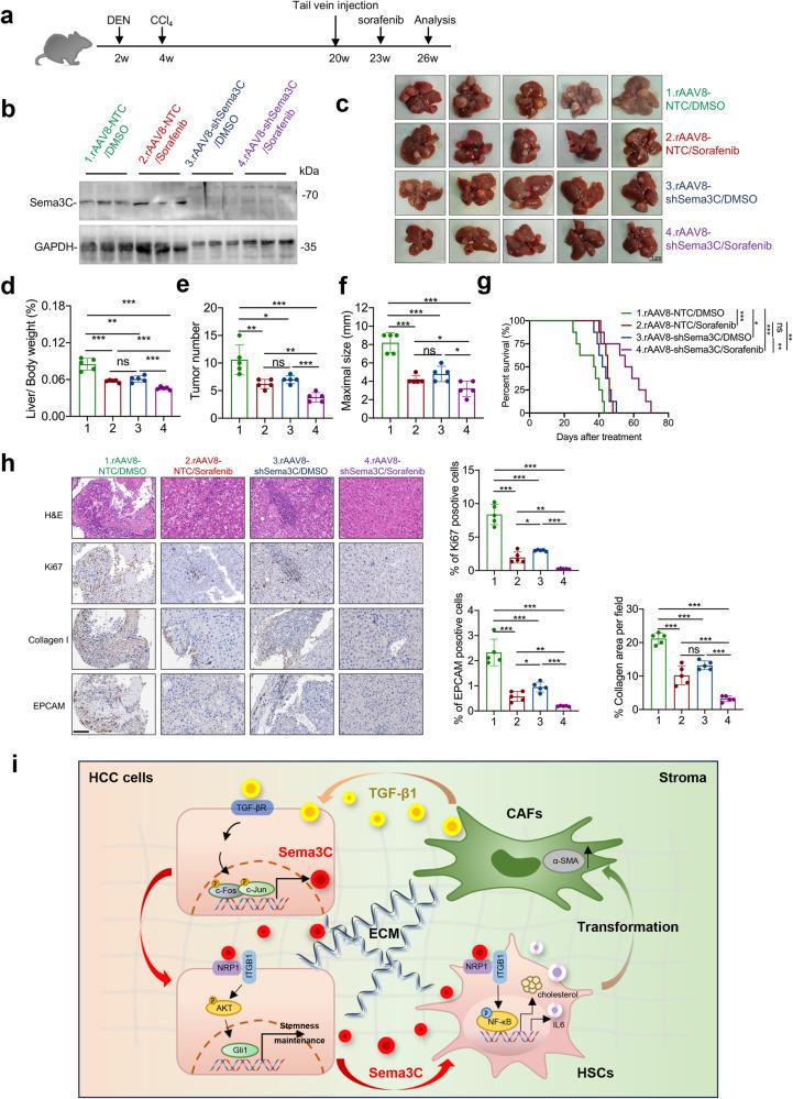
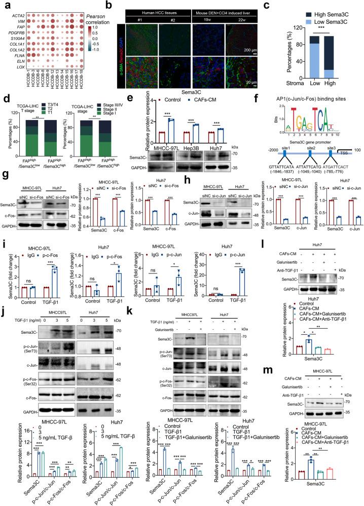
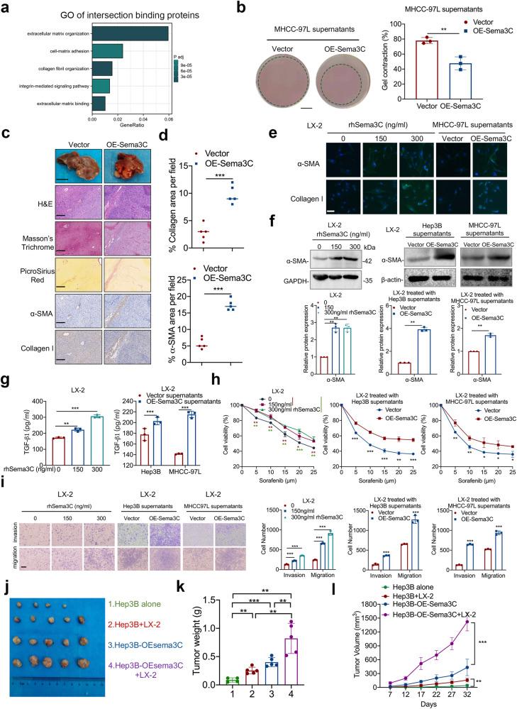
More than 90% of hepatocellular carcinoma (HCC) cases develop in the presence of fibrosis or cirrhosis, making the tumor microenvironment (TME) of HCC distinctive due to the intricate interplay between cancer-associated fibroblasts (CAFs) and cancer stem cells (CSCs), which collectively regulate HCC progression. However, the mechanisms through which CSCs orchestrate the dynamics of the tumor stroma during HCC development remain elusive. Our study unveils a significant upregulation of Sema3C in fibrotic liver, HCC tissues, peripheral blood of HCC patients, as well as sorafenib-resistant tissues and cells, with its overexpression correlating with the acquisition of stemness properties in HCC. We further identify NRP1 and ITGB1 as pivotal functional receptors of Sema3C, activating downstream AKT/Gli1/c-Myc signaling pathways to bolster HCC self-renewal and tumor initiation. Additionally, HCC cells-derived Sema3C facilitated extracellular matrix (ECM) contraction and collagen deposition in vivo, while also promoting the proliferation and activation of hepatic stellate cells (HSCs). Mechanistically, Sema3C interacted with NRP1 and ITGB1 in HSCs, activating downstream NF-kB signaling, thereby stimulating the release of IL-6 and upregulating HMGCR expression, consequently enhancing cholesterol synthesis in HSCs. Furthermore, CAF-secreted TGF-β1 activates AP1 signaling to augment Sema3C expression in HCC cells, establishing a positive feedback loop that accelerates HCC progression. Notably, blockade of Sema3C effectively inhibits tumor growth and sensitizes HCC cells to sorafenib in vivo. In sum, our findings spotlight Sema3C as a novel biomarker facilitating the crosstalk between CSCs and stroma during hepatocarcinogenesis, thereby offering a promising avenue for enhancing treatment efficacy and overcoming drug resistance in HCC.

摘要

超过 90%的肝细胞癌 (HCC) 发生在纤维化或肝硬化的基础上,由于癌相关成纤维细胞 (CAFs) 和癌症干细胞 (CSCs) 之间的复杂相互作用,共同调节 HCC 的进展,因此 HCC 的肿瘤微环境 (TME) 具有独特性。然而,CSCs 如何协调 HCC 发展过程中肿瘤基质的动态变化的机制仍不清楚。我们的研究揭示了 Sema3C 在纤维化肝脏、HCC 组织、HCC 患者外周血以及索拉非尼耐药组织和细胞中显著上调,其过表达与 HCC 获得干性特征相关。我们进一步确定了 NRP1 和 ITGB1 是 Sema3C 的关键功能受体,激活下游 AKT/Gli1/c-Myc 信号通路,以增强 HCC 自我更新和肿瘤起始。此外,HCC 细胞衍生的 Sema3C 促进了细胞外基质 (ECM) 在体内的收缩和胶原沉积,同时促进了肝星状细胞 (HSCs) 的增殖和激活。在机制上,Sema3C 在 HSCs 中与 NRP1 和 ITGB1 相互作用,激活下游 NF-κB 信号通路,从而刺激 IL-6 的释放并上调 HMGCR 表达,进而增强 HSCs 中的胆固醇合成。此外,CAF 分泌的 TGF-β1 激活 AP1 信号通路,增强 HCC 细胞中 Sema3C 的表达,建立一个正反馈环,加速 HCC 的进展。值得注意的是,阻断 Sema3C 可有效抑制肿瘤生长,并在体内增强 HCC 细胞对索拉非尼的敏感性。总之,我们的研究结果突显了 Sema3C 作为一种新的生物标志物,促进了 HCC 发生过程中 CSCs 与基质之间的串扰,为提高 HCC 的治疗效果和克服耐药性提供了一个有前途的途径。

https://cdn.ncbi.nlm.nih.gov/pmc/blobs/8d49/11220018/38f8a06d3229/41392_2024_1887_Fig1_HTML.jpg

文献AI研究员

20分钟写一篇综述,助力文献阅读效率提升50倍。

立即体验

用中文搜PubMed

大模型驱动的PubMed中文搜索引擎

马上搜索

文档翻译

学术文献翻译模型,支持多种主流文档格式。

立即体验