Suppr超能文献

一例耐多药引起的肺部感染的治疗病例

A case of treatment for pulmonary infection caused by multidrug-resistant .

作者信息

Guo Chenxia, Xu Shaohua, Yan Wei

机构信息

Respiratory Medicine PeKing University Third Hospital Beijing China.

出版信息

Respirol Case Rep. 2024 Jul 1;12(7):e01420. doi: 10.1002/rcr2.1420. eCollection 2024 Jul.

Abstract

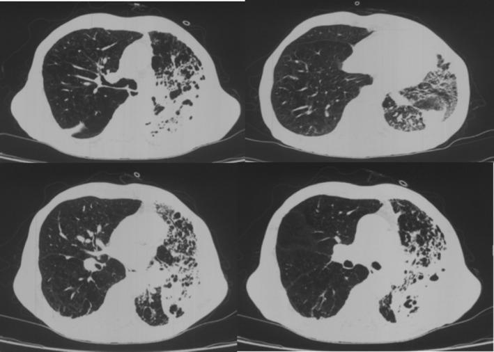
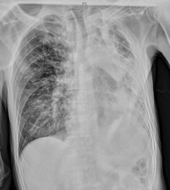
is a major pathogen in hospital-acquired infections notorious for its strong acquired resistance and complex drug resistance mechanisms. Owing to the lack of effective drugs, the mortality rate of extensively drug-resistant pneumonia can reach as high as 65%. This article analyzes a case where a combination of cefoperazone-sulbactam, polymyxin B, and minocycline with rifampicin successfully treated XDR-AB pulmonary infection. Combination therapy is effective and has a particular clinical value.

摘要

是医院获得性感染中的主要病原体,以其强大的获得性耐药性和复杂的耐药机制而臭名昭著。由于缺乏有效的药物,广泛耐药性肺炎的死亡率可高达65%。本文分析了一例头孢哌酮-舒巴坦、多粘菌素B、米诺环素联合利福平成功治疗XDR-AB肺部感染的病例。联合治疗有效,具有特殊的临床价值。

https://cdn.ncbi.nlm.nih.gov/pmc/blobs/1fb8/11217549/cb8f1b07a7a8/RCR2-12-e01420-g004.jpg

文献AI研究员

20分钟写一篇综述,助力文献阅读效率提升50倍。

立即体验

用中文搜PubMed

大模型驱动的PubMed中文搜索引擎

马上搜索

文档翻译

学术文献翻译模型,支持多种主流文档格式。

立即体验