Suppr超能文献

功能性多细胞器单位控制巨噬细胞的炎症脂质代谢。

Functional multi-organelle units control inflammatory lipid metabolism of macrophages.

机构信息

Max Planck Institute of Immunobiology and Epigenetics, Freiburg, Germany.

Center of Chronic Immunodeficiency, Medical Center University of Freiburg, Freiburg, Germany.

出版信息

Nat Cell Biol. 2024 Aug;26(8):1261-1273. doi: 10.1038/s41556-024-01457-0. Epub 2024 Jul 5.

Abstract

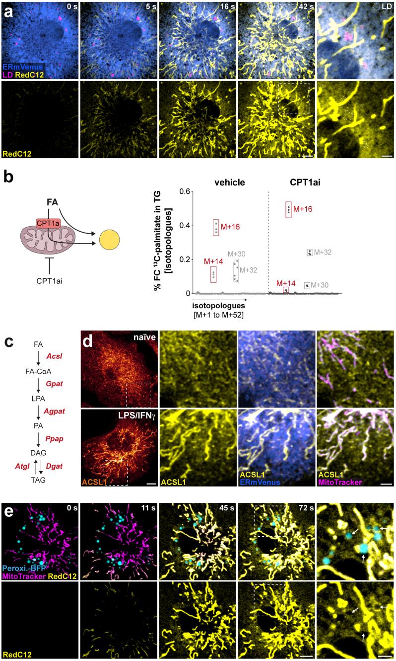
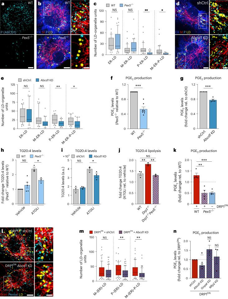
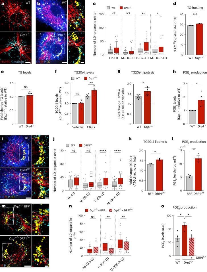
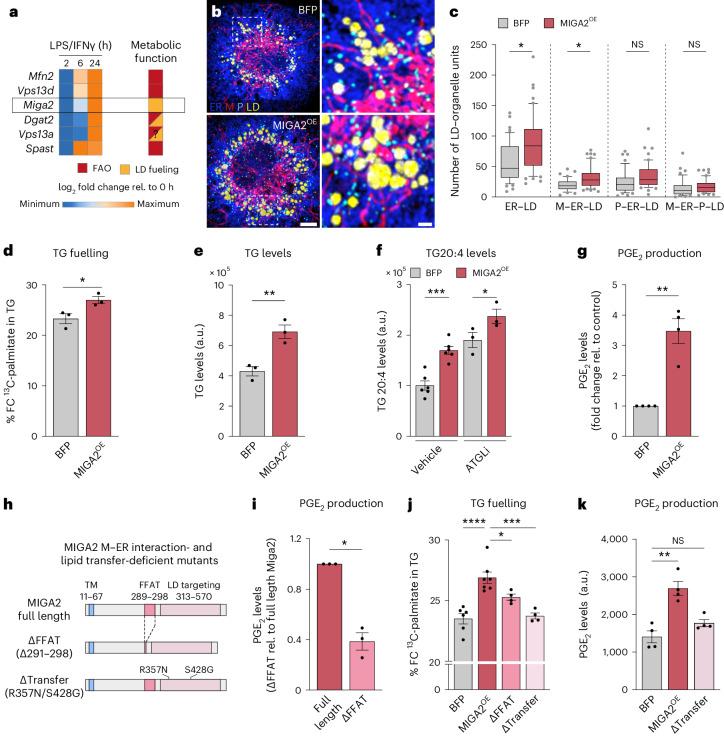
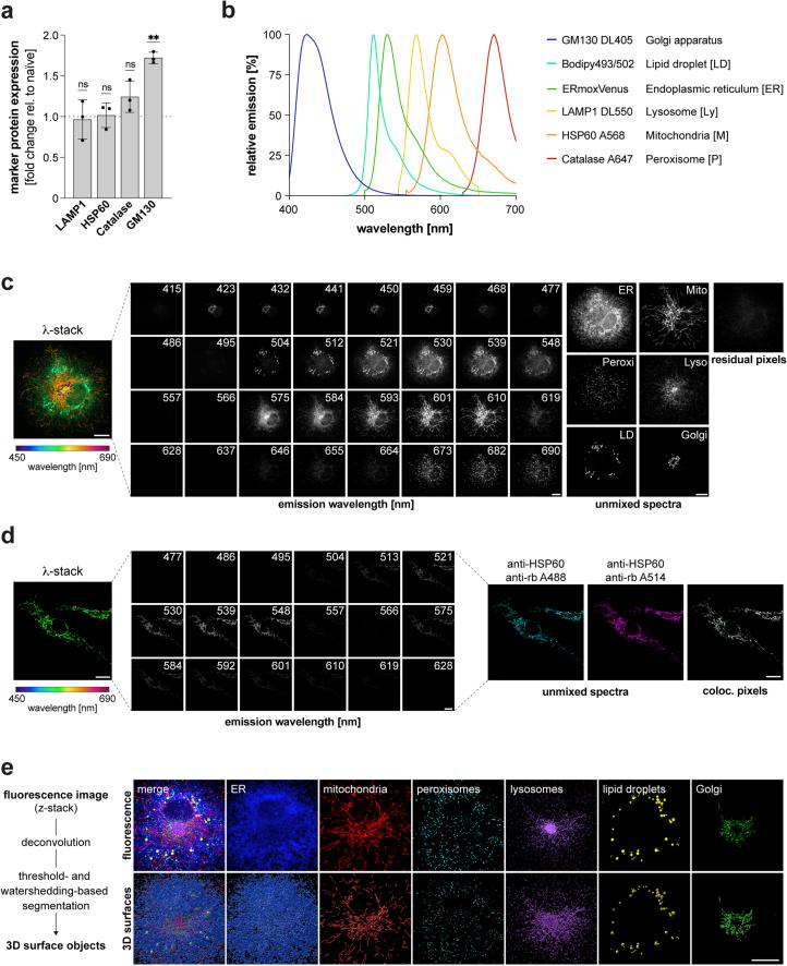
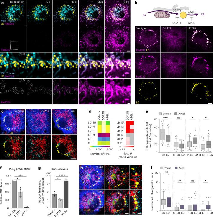
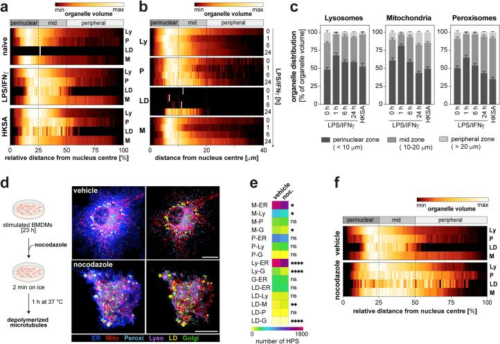
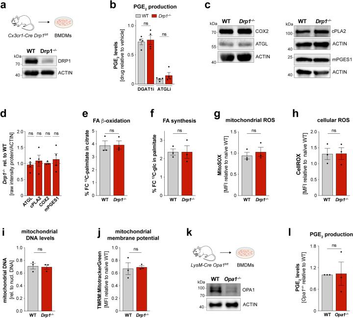
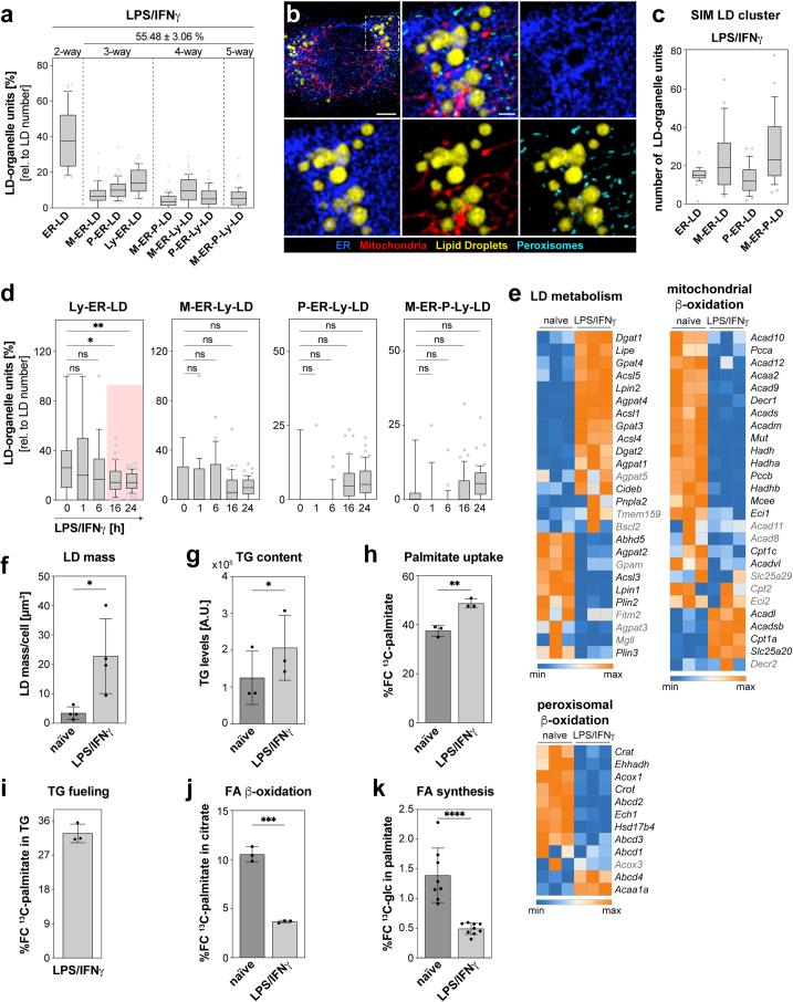
Eukaryotic cells contain several membrane-separated organelles to compartmentalize distinct metabolic reactions. However, it has remained unclear how these organelle systems are coordinated when cells adapt metabolic pathways to support their development, survival or effector functions. Here we present OrgaPlexing, a multi-spectral organelle imaging approach for the comprehensive mapping of six key metabolic organelles and their interactions. We use this analysis on macrophages, immune cells that undergo rapid metabolic switches upon sensing bacterial and inflammatory stimuli. Our results identify lipid droplets (LDs) as primary inflammatory responder organelle, which forms three- and four-way interactions with other organelles. While clusters with endoplasmic reticulum (ER) and mitochondria (mitochondria-ER-LD unit) help supply fatty acids for LD growth, the additional recruitment of peroxisomes (mitochondria-ER-peroxisome-LD unit) supports fatty acid efflux from LDs. Interference with individual components of these units has direct functional consequences for inflammatory lipid mediator synthesis. Together, we show that macrophages form functional multi-organellar units to support metabolic adaptation and provide an experimental strategy to identify organelle-metabolic signalling hubs.

摘要

真核细胞含有几种膜分离的细胞器,以分隔不同的代谢反应。然而,当细胞适应代谢途径以支持其发育、存活或效应功能时,这些细胞器系统是如何协调的,这一点仍不清楚。在这里,我们提出了 OrgaPlexing,这是一种多光谱细胞器成像方法,用于全面绘制六个关键代谢细胞器及其相互作用。我们在巨噬细胞上使用这种分析方法,巨噬细胞是一种免疫细胞,在感知细菌和炎症刺激时会发生快速的代谢转变。我们的结果确定脂滴 (LDs) 为主要的炎症反应细胞器,它与其他细胞器形成三向和四向相互作用。虽然与内质网 (ER) 和线粒体 (线粒体-ER-LD 单元) 的簇有助于为 LD 生长提供脂肪酸,但过氧化物酶体的额外募集 (线粒体-ER-过氧化物酶体-LD 单元) 有助于从 LD 中排出脂肪酸。干扰这些单元的单个成分对炎症脂质介质合成有直接的功能后果。总之,我们表明巨噬细胞形成功能性多细胞器单元以支持代谢适应,并提供了一种识别细胞器-代谢信号枢纽的实验策略。

https://cdn.ncbi.nlm.nih.gov/pmc/blobs/2ff1/11321999/3ec2f156a4a5/41556_2024_1457_Fig1_HTML.jpg

文献AI研究员

20分钟写一篇综述,助力文献阅读效率提升50倍。

立即体验

用中文搜PubMed

大模型驱动的PubMed中文搜索引擎

马上搜索

文档翻译

学术文献翻译模型,支持多种主流文档格式。

立即体验