Suppr超能文献

PKM2 聚集体在衰老过程中驱动代谢重编程。

PKM2 aggregation drives metabolism reprograming during aging process.

机构信息

Department of Medical Genetics, Center for Medical Genetics, Peking University Health Science Center, Beijing, 100191, China.

Medical Innovation Center (Taizhou) of Peking University, Taizhou, 225316, China.

出版信息

Nat Commun. 2024 Jul 9;15(1):5761. doi: 10.1038/s41467-024-50242-y.

Abstract

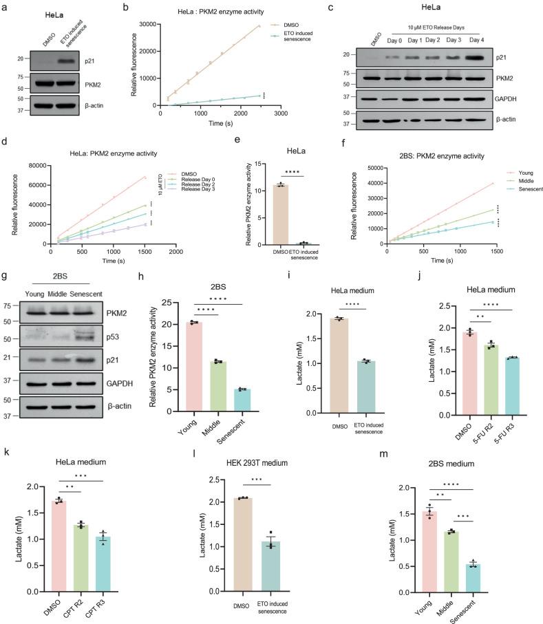
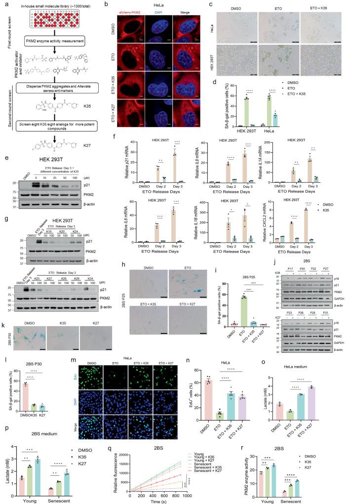
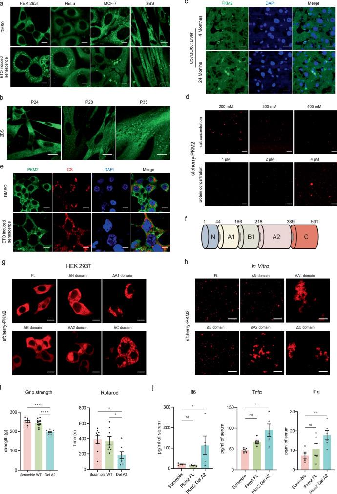
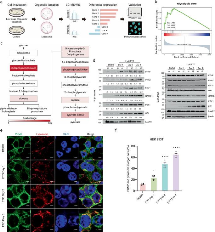
While protein aggregation's association with aging and age-related diseases is well-established, the specific proteins involved and whether dissolving them could alleviate aging remain unclear. Our research addresses this gap by uncovering the role of PKM2 aggregates in aging. We find that PKM2 forms aggregates in senescent cells and organs from aged mice, impairing its enzymatic activity and glycolytic flux, thereby driving cells into senescence. Through a rigorous two-step small molecule library screening, we identify two compounds, K35 and its analog K27, capable of dissolving PKM2 aggregates and alleviating senescence. Further experiments show that treatment with K35 and K27 not only alleviate aging-associated signatures but also extend the lifespan of naturally and prematurely aged mice. These findings provide compelling evidence for the involvement of PKM2 aggregates in inducing cellular senescence and aging phenotypes, and suggest that targeting these aggregates could be a promising strategy for anti-aging drug discovery.

摘要

虽然蛋白质聚集与衰老和与衰老相关的疾病有关已经得到充分证实,但涉及的具体蛋白质以及溶解它们是否可以缓解衰老仍然不清楚。我们的研究通过揭示 PKM2 聚集体在衰老中的作用来填补这一空白。我们发现 PKM2 在衰老细胞和老年小鼠的器官中形成聚集体,损害其酶活性和糖酵解通量,从而导致细胞衰老。通过严格的两步小分子文库筛选,我们鉴定出两种化合物 K35 和其类似物 K27,能够溶解 PKM2 聚集体并缓解衰老。进一步的实验表明,用 K35 和 K27 治疗不仅可以减轻与衰老相关的特征,还可以延长自然和过早衰老的小鼠的寿命。这些发现为 PKM2 聚集体在诱导细胞衰老和衰老表型中的作用提供了有力证据,并表明靶向这些聚集体可能是抗衰老药物发现的有前途的策略。

https://cdn.ncbi.nlm.nih.gov/pmc/blobs/9e7e/11233639/b0d1bcd45b1d/41467_2024_50242_Fig1_HTML.jpg

文献AI研究员

20分钟写一篇综述,助力文献阅读效率提升50倍。

立即体验

用中文搜PubMed

大模型驱动的PubMed中文搜索引擎

马上搜索

文档翻译

学术文献翻译模型,支持多种主流文档格式。

立即体验