Suppr超能文献

生物活性杂化聚乳酸/聚甲基丙烯酸甲酯(PLA/PMMA)电纺纤维的制备及其纳米玻璃粒子功能化用于骨组织工程应用。

Development of Bioactive Hybrid Poly(lactic acid)/Poly(methyl methacrylate) (PLA/PMMA) Electrospun Fibers Functionalized with Bioglass Nanoparticles for Bone Tissue Engineering Applications.

机构信息

Laboratorio de Biomecánica y Biomateriales, Departamento de Ingeniería Mecánica, Facultad de Ingeniería, Universidad de Santiago de Chile, Santiago 9160000, Chile.

Facultad de Ingeniería, Arquitectura y Diseño, Universidad San Sebastián, Santiago 8420524, Chile.

出版信息

Int J Mol Sci. 2024 Jun 21;25(13):6843. doi: 10.3390/ijms25136843.

Abstract

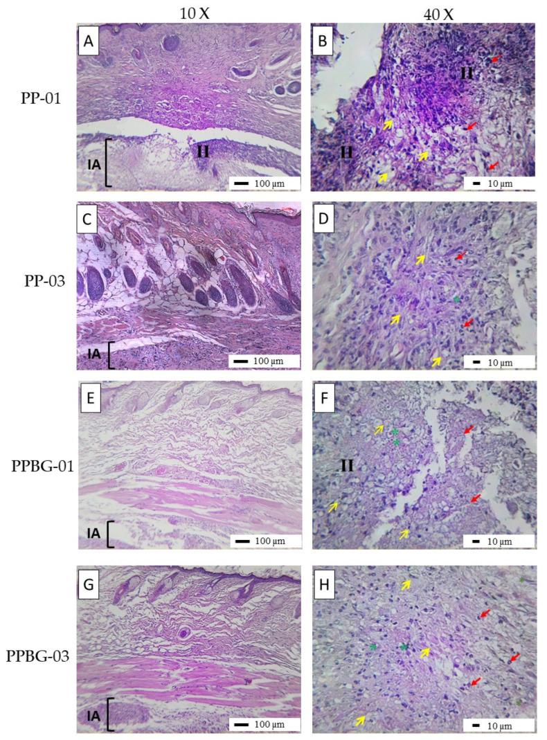
Hybrid scaffolds that are based on PLA and PLA/PMMA with 75/25, 50/50, and 25/75 weight ratios and functionalized with 10 wt.% of bioglass nanoparticles (n-BG) were developed using an electrospinning technique with a chloroform/dimethylformamide mixture in a 9:1 ratio for bone tissue engineering applications. Neat PLA and PLA/PMMA hybrid scaffolds were developed successfully through a (CF/DMF) solvent system, obtaining a random fiber deposition that generated a porous structure with pore interconnectivity. However, with the solvent system used, it was not possible to generate fibers in the case of the neat PMMA sample. With the increase in the amount of PMMA in PLA/PMMA ratios, the fiber diameter of hybrid scaffolds decreases, and the defects (beads) in the fiber structure increase; these beads are associated with a nanoparticle agglomeration, that could be related to a low interaction between n-BG and the polymer matrix. The Young's modulus of PLA/PMMA/n-BG decreases by 34 and 80%, indicating more flexible behavior compared to neat PLA. The PLA/PMMA/n-BG scaffolds showed a bioactive property related to the presence of hydroxyapatite crystals in the fiber surface after 28 days of immersion in a Simulated Body Fluids solution (SBF). In addition, the hydrolytic degradation process of PLA/PMMA/n-BG, analyzed after 35 days of immersion in a phosphate-buffered saline solution (PBS), was less than that of the pure PLA. The in vitro analysis using an HBOF-1.19 cell line indicated that the PLA/PMMA/n-BG scaffold showed good cell viability and was able to promote cell proliferation after 7 days. On the other hand, the in vivo biocompatibility evaluated via a subdermal model in BALC male mice corroborated the good behavior of the scaffolds in avoiding the generation of a cytotoxic effect and being able to enhance the healing process, suggesting that the materials are suitable for potential applications in tissue engineering.

摘要

采用氯仿/二甲基甲酰胺(CF/DMF)混合溶剂(体积比为 9:1),成功制备了基于 PLA 和 PLA/PMMA(质量比为 75/25、50/50 和 25/75)的杂化支架,并对其进行了功能化,其中添加了 10wt.%的生物玻璃纳米粒子(n-BG),用于骨组织工程应用。通过(CF/DMF)溶剂系统成功制备了纯 PLA 和 PLA/PMMA 杂化支架,得到了随机纤维沉积,生成了具有孔连通性的多孔结构。然而,对于纯 PMMA 样品,使用该溶剂系统无法生成纤维。随着 PLA/PMMA 比例中 PMMA 含量的增加,杂化支架的纤维直径减小,纤维结构中的缺陷(珠粒)增加;这些珠粒与纳米粒子团聚有关,这可能与 n-BG 与聚合物基质之间的低相互作用有关。与纯 PLA 相比,PLA/PMMA/n-BG 的杨氏模量降低了 34%和 80%,表明其具有更灵活的行为。PLA/PMMA/n-BG 支架在浸入模拟体液(SBF)溶液 28 天后表现出与纤维表面存在羟基磷灰石晶体有关的生物活性。此外,在浸入磷酸盐缓冲盐水(PBS)溶液 35 天后分析 PLA/PMMA/n-BG 的水解降解过程发现,其降解速度低于纯 PLA。通过 HBOF-1.19 细胞系进行的体外分析表明,PLA/PMMA/n-BG 支架具有良好的细胞活力,在 7 天后能够促进细胞增殖。另一方面,通过 BALC 雄性小鼠的皮下模型评估的体内生物相容性证实了支架具有良好的行为,能够避免产生细胞毒性,并能够促进愈合过程,表明这些材料适用于组织工程的潜在应用。

https://cdn.ncbi.nlm.nih.gov/pmc/blobs/5c1d/11241163/661ee22cb2bc/ijms-25-06843-g001.jpg

文献AI研究员

20分钟写一篇综述,助力文献阅读效率提升50倍。

立即体验

用中文搜PubMed

大模型驱动的PubMed中文搜索引擎

马上搜索

文档翻译

学术文献翻译模型,支持多种主流文档格式。

立即体验