Suppr超能文献

通过白细胞介素-8 引导 B7-H3 嵌合抗原受体 T 细胞归巢,引发针对儿科肉瘤的强大抗肿瘤活性。

Directing B7-H3 chimeric antigen receptor T cell homing through IL-8 induces potent antitumor activity against pediatric sarcoma.

机构信息

Department of Pediatric Hematology, Oncology, BMT, University of Colorado Anschutz Medical Campus, Aurora, Colorado, USA.

Department of Pediatric Hematology, Oncology, BMT, University of Colorado Anschutz Medical Campus, Aurora, Colorado, USA

出版信息

J Immunother Cancer. 2024 Jul 23;12(7):e009221. doi: 10.1136/jitc-2024-009221.

Abstract

BACKGROUND

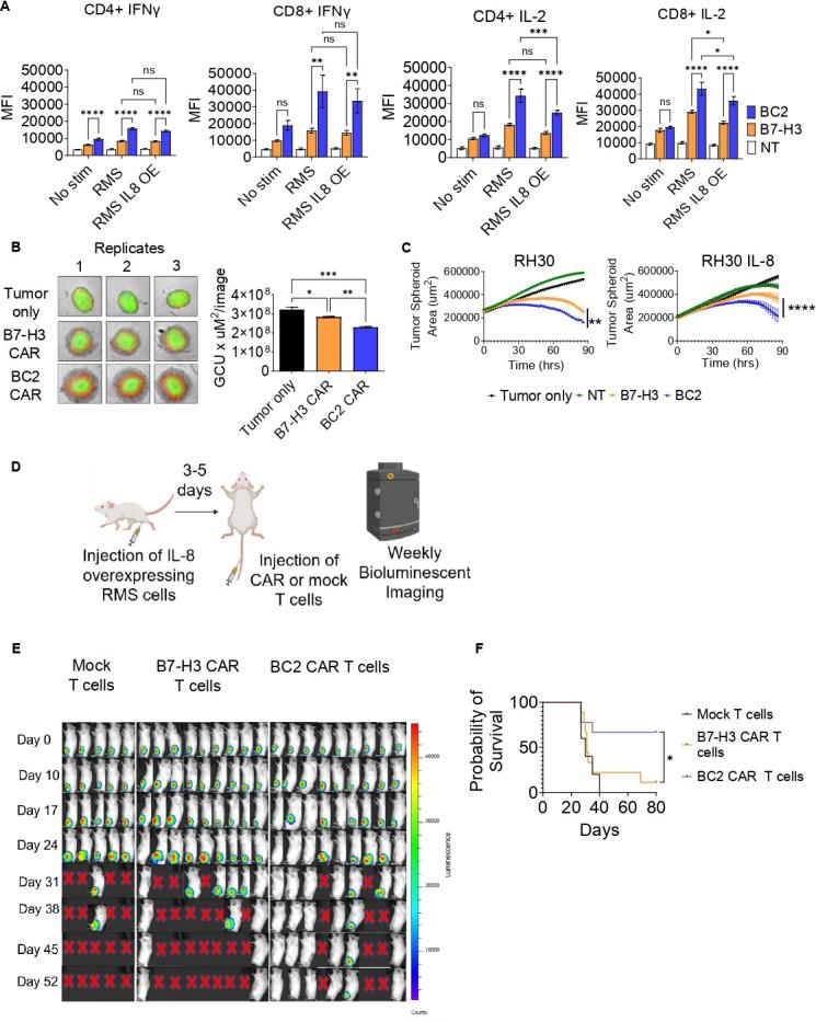
Advances in pediatric oncology have occurred for some cancers; however, new therapies for sarcoma have been inadequate. Cellular immunotherapy using chimeric antigen receptor (CAR) T cells has shown dramatic benefits in leukemia, lymphoma, and multiple myeloma but has been far less successful in pediatric solid tumors such as rhabdomyosarcoma (RMS) and osteosarcoma (OS). Balancing issues of "on-target, off-tumor toxicity", investigators have identified B7-H3 as a broadly expressed tumor antigen with otherwise restricted expression on normal tissues. We hypothesized that rapid homing via a chemokine receptor and CAR engagement through B7-H3 would enhance CAR T cell efficacy in solid tumors.

METHODS

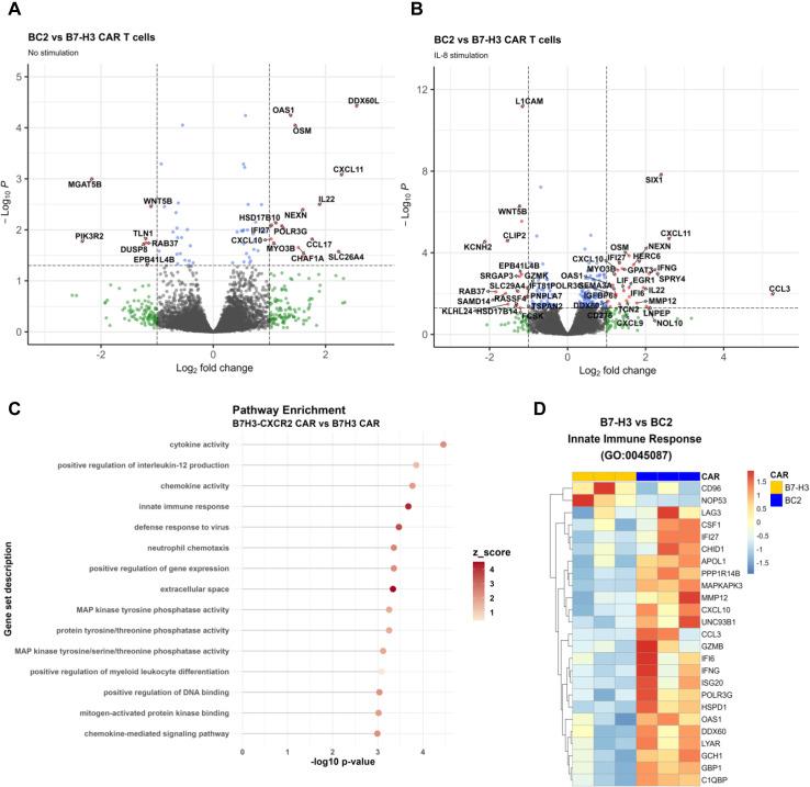
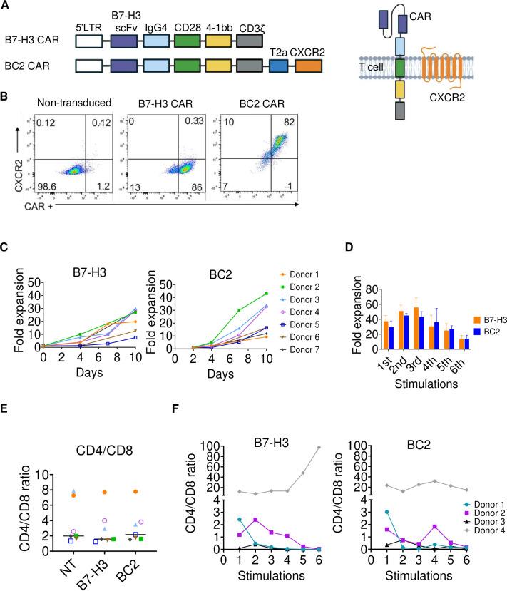
We generated B7-H3 CAR T cells that also express the Interleukin-8 (IL-8) receptor, CXCR2. Cytokine production, flow cytometry, Seahorse assays and RNA sequencing were used to compare the B7-H3 CXCR2 (BC2) CAR T cells with B7-H3 CAR T cells. We developed an IL-8 overexpressing human RMS mouse model to test homing and cytotoxicity in vivo.

RESULTS

We demonstrate that IL-8 is expressed by RMS and OS and expression significantly increases after radiation. Overexpression of an IL-8 receptor, CXCR2, on B7-H3 CAR T cells enhances homing into IL-8 expressing tumors, augments T cell metabolism and leads to significant tumor regression.

CONCLUSION

These findings warrant further investigation into the use of BC2 CAR T cells as a treatment for patients with RMS, OS and other B7-H3-expressing, IL-8 producing solid tumors.

摘要

背景

儿科肿瘤学在某些癌症方面取得了进展;然而,肉瘤的新疗法一直不足。嵌合抗原受体 (CAR) T 细胞的细胞免疫疗法在白血病、淋巴瘤和多发性骨髓瘤中显示出显著的疗效,但在儿科实体瘤(如横纹肌肉瘤 (RMS) 和骨肉瘤 (OS))中的应用效果要差得多。在平衡“靶向、脱靶毒性”问题的同时,研究人员已经确定 B7-H3 是一种广泛表达的肿瘤抗原,在正常组织中表达受限。我们假设通过趋化因子受体的快速归巢和通过 B7-H3 进行 CAR 结合,将增强 CAR T 细胞在实体瘤中的疗效。

方法

我们生成了也表达白细胞介素-8 (IL-8) 受体 CXCR2 的 B7-H3 CAR T 细胞。我们使用细胞因子产生、流式细胞术、 Seahorse 测定和 RNA 测序来比较 B7-H3 CXCR2 (BC2) CAR T 细胞与 B7-H3 CAR T 细胞。我们开发了一种过表达 IL-8 的人 RMS 小鼠模型,以测试体内归巢和细胞毒性。

结果

我们证明 RMS 和 OS 表达 IL-8,并且在放疗后表达显著增加。在 B7-H3 CAR T 细胞上过表达 IL-8 受体 CXCR2 可增强对表达 IL-8 的肿瘤的归巢,增强 T 细胞代谢,并导致肿瘤明显消退。

结论

这些发现证明 BC2 CAR T 细胞作为 RMS、OS 和其他表达 B7-H3、产生 IL-8 的实体瘤患者的治疗方法值得进一步研究。

https://cdn.ncbi.nlm.nih.gov/pmc/blobs/5b09/11268054/df80e2cf47d4/jitc-12-7-g001.jpg

文献AI研究员

20分钟写一篇综述,助力文献阅读效率提升50倍。

立即体验

用中文搜PubMed

大模型驱动的PubMed中文搜索引擎

马上搜索

文档翻译

学术文献翻译模型,支持多种主流文档格式。

立即体验